You are here

Затяжная пневмония?

Пол пациента: 
Тип патологии: 

В  терапевтическое отделени поступил мужчина 1975 г.р. с жалобами на кашель и повышение температуры тела, на рентгенограмме от 26.12.12г.

После курса антибактериальной терапии изменения сохраняются:

Интересует ваше мнение уважаемые коллеги.
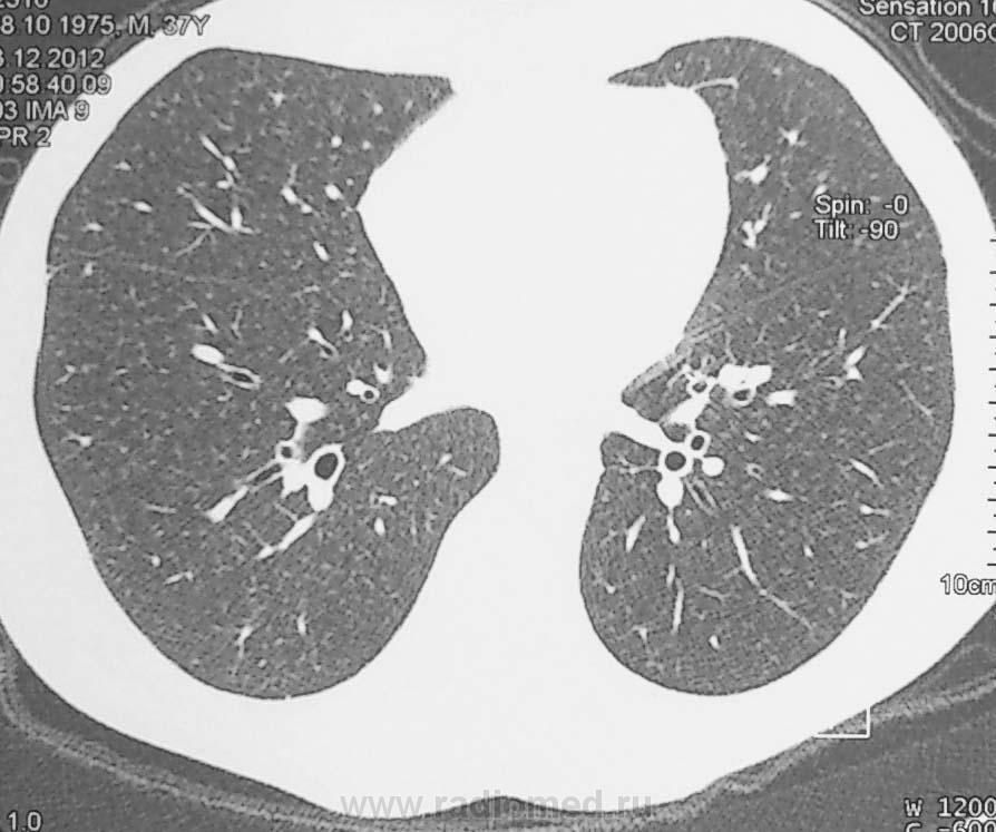
Добавлены томограммы...



Добавлены изображения КТ.
 

  • https://radiomed.ru/sites/default/files/styles/case_slider_image/public/user/16807/2_4.jpg?itok=bS-EGzqN
  • https://radiomed.ru/sites/default/files/styles/case_slider_image/public/user/16807/3_2.jpg?itok=jOAWU1KF
  • https://radiomed.ru/sites/default/files/styles/case_slider_image/public/user/16807/19-4.jpg?itok=pf2chCP4
  • https://radiomed.ru/sites/default/files/styles/case_slider_image/public/user/16807/19-5.jpg?itok=DlAtUaAL
  • https://radiomed.ru/sites/default/files/styles/case_slider_image/public/user/16807/19-5i.jpg?itok=mv5o7e5t
  • https://radiomed.ru/sites/default/files/styles/case_slider_image/public/user/16807/19-7.jpg?itok=28AKFsKh
  • https://radiomed.ru/sites/default/files/styles/case_slider_image/public/user/16807/4_0.jpg?itok=uxVKfio2
  • https://radiomed.ru/sites/default/files/styles/case_slider_image/public/user/16807/7_0.jpg?itok=OzFCrsfB
  • https://radiomed.ru/sites/default/files/styles/case_slider_image/public/user/16807/8_0.jpg?itok=Qe8_hMLK
  • https://radiomed.ru/sites/default/files/styles/case_slider_image/public/user/16807/9_0.jpg?itok=YNpeLxRC
  • https://radiomed.ru/sites/default/files/styles/case_slider_image/public/user/16807/10.jpg?itok=9TUrZ5cI
  • https://radiomed.ru/sites/default/files/styles/case_slider_image/public/user/16807/11.jpg?itok=hgtlBp_7
  • https://radiomed.ru/sites/default/files/styles/case_slider_image/public/user/16807/12.jpg?itok=kC0sCOBI
  • https://radiomed.ru/sites/default/files/styles/case_slider_image/public/user/16807/13.jpg?itok=dJ0NTQSi
  • https://radiomed.ru/sites/default/files/styles/case_slider_image/public/user/16807/14.jpg?itok=r72xyOcj
  • https://radiomed.ru/sites/default/files/styles/case_slider_image/public/user/16807/15.jpg?itok=IQRcUiGK
  • https://radiomed.ru/sites/default/files/styles/case_slider_image/public/user/16807/16.jpg?itok=w4E7lP2n
  • https://radiomed.ru/sites/default/files/styles/case_slider_image/public/user/16807/17.jpg?itok=y3__oB1o
  • https://radiomed.ru/sites/default/files/styles/case_slider_image/public/user/16807/18.jpg?itok=H1Zy-pOg
ID:25148
арти's picture
Offline
Last seen: 12 years 6 months ago
Joined: 26.02.2012 - 11:23
Posts: 490

...Ввели в заблуждение даты...

Dima's picture
Offline
Last seen: 7 years 7 months ago
Joined: 05.08.2012 - 17:39
Posts: 2467

арти wrote:

...Ввели в заблуждение даты...

Приношу извинения, даты исправлены, добавлены томограммы.

Терпимость - это когда прощают чужие ошибки; такт - когда не замечают их. (Артур Шницлер)

maker4ik's picture
Offline
Last seen: 8 years 12 months ago
Joined: 19.10.2011 - 17:49
Posts: 2682

Пневмонии с такими контурами ровными бывают?

Андрей Юрьевич's picture
Offline
Last seen: 2 weeks 14 hours ago
Joined: 16.11.2008 - 22:16
Posts: 18106

На среднюю долю томограммы, все-таки, желательно делать косые или боковые. Видно лучше. Вот наблюдение 25-летней давности.

Приложения: 
12_srednedol.jpg12_srednedol-2.jpg

Андрей Юрьевич

Катенёв Валентин Львович's picture
Offline
Last seen: 7 years 5 months ago
Joined: 22.03.2008 - 22:15
Posts: 54876

На мой взгляд, выставленные изменения автором ветки, мало похожи на "изменения" лёгочной ткани...

Dima's picture
Offline
Last seen: 7 years 7 months ago
Joined: 05.08.2012 - 17:39
Posts: 2467

Андрей Юрьевич wrote:

На среднюю долю томограммы, все-таки, желательно делать косые или боковые. Видно лучше. Вот наблюдение 25-летней давности.

Так изменения в нижней доле.

Терпимость - это когда прощают чужие ошибки; такт - когда не замечают их. (Артур Шницлер)

Dima's picture
Offline
Last seen: 7 years 7 months ago
Joined: 05.08.2012 - 17:39
Posts: 2467

Катенёв Валентин Львович wrote:

На мой взгляд, выставленные изменения автором ветки, мало похожи на "изменения" лёгочной ткани...

А на что похоже?

Терпимость - это когда прощают чужие ошибки; такт - когда не замечают их. (Артур Шницлер)

Андрей Юрьевич's picture
Offline
Last seen: 2 weeks 14 hours ago
Joined: 16.11.2008 - 22:16
Posts: 18106

Dima wrote:

Андрей Юрьевич wrote:

На среднюю долю томограммы, все-таки, желательно делать косые или боковые. Видно лучше. Вот наблюдение 25-летней давности.

Так изменения в нижней доле.


На нижнюю долю тоже лучше боковые томограммы.

Андрей Юрьевич

Катенёв Валентин Львович's picture
Offline
Last seen: 7 years 5 months ago
Joined: 22.03.2008 - 22:15
Posts: 54876

На мой взгляд, эта "хрень" имеет отношение к рёбрам.

Приложения: 
1.hren_.19-4.jpg
алкс's picture
Offline
Last seen: 10 years 5 months ago
Joined: 24.10.2012 - 22:55
Posts: 2915

[/quote]А на что похоже?

[/quote]

 На участок фиброза в легочной ткани.

Приложения: 
01.jpg
Dima's picture
Offline
Last seen: 7 years 7 months ago
Joined: 05.08.2012 - 17:39
Posts: 2467

Добавлены изображения КТ.

Терпимость - это когда прощают чужие ошибки; такт - когда не замечают их. (Артур Шницлер)

Катенёв Валентин Львович's picture
Offline
Last seen: 7 years 5 months ago
Joined: 22.03.2008 - 22:15
Posts: 54876

Похоже?

Приложения: 
21._pohozhe..jpg22._pohozhe..jpg
Dima's picture
Offline
Last seen: 7 years 7 months ago
Joined: 05.08.2012 - 17:39
Posts: 2467

Катенёв Валентин Львович wrote:

Похоже?

Очень...

Терпимость - это когда прощают чужие ошибки; такт - когда не замечают их. (Артур Шницлер)

И.Бондаренко's picture
Offline
Last seen: 13 hours 6 min ago
Joined: 13.09.2011 - 22:55
Posts: 9213

Сразу предположил ретенционную кисту. Посмотрев КТ и увидел связь с бронхососудистым пучком, думаю, что мальформация. Контраст вводили?

Nikolas's picture
Offline
Last seen: 1 month 3 weeks ago
Joined: 21.12.2010 - 20:37
Posts: 4560

в этом же участке была представлена на сайте ранее. Однако сосудистая патология протекает без клинических проявления со стороны ОГК.  Архив мог бы помочь.

ЛГ's picture
Offline
Last seen: 9 years 3 months ago
Joined: 06.01.2010 - 12:31
Posts: 3523

А вот тут контрастное КТ-исследование необходимо, чтоб отличить сосудистую мальформацию. И послушать под лопаткой, соотнести клинику и картинку. Возможно, что лёгочные жалобы - банальное ОРВИ, не имеющее отношение к патологии нижней доли. Мне понятнее не стало, хочется dicom КТ-исследования  с контрастом.

Бородулин М.А.'s picture
Offline
Last seen: 1 year 2 months ago
Joined: 17.02.2011 - 01:10
Posts: 1409

Подобная картинка , с той же локализацией оказалась сливкообразным гноем.

Dima's picture
Offline
Last seen: 7 years 7 months ago
Joined: 05.08.2012 - 17:39
Posts: 2467

На предыдущих флюорограммах (дату не помню) изменений не было.
КТ, проводили в частной клинике, контраст не вводили, на диск не записали.
Из заключения по КТ: Характер выявленных изменений в нижней доле правого легкого неясен, наиболее вероятно объемное образование перефирического характера. Рекомендуется проведение бронхоскопии и морфологическая верификация. 

Терпимость - это когда прощают чужие ошибки; такт - когда не замечают их. (Артур Шницлер)

ЛГ's picture
Offline
Last seen: 9 years 3 months ago
Joined: 06.01.2010 - 12:31
Posts: 3523

Ага... характер неясен. Тогда: 1) иглами тыкать, рискуя либо кровотечением (сосудистая мальформация), либо эмпиемой (сливочный гной - интересный диагноз)); 2) либо ждать. Когда созреет во всей красе что бы то ни было периферическое. 

Бородулин М.А.'s picture
Offline
Last seen: 1 year 2 months ago
Joined: 17.02.2011 - 01:10
Posts: 1409

ЛГ wrote:

Ага... характер неясен. Тогда: 1) иглами тыкать, рискуя либо кровотечением (сосудистая мальформация), либо эмпиемой (сливочный гной - интересный диагноз)); 2) либо ждать. Когда созреет во всей красе что бы то ни было периферическое. 

Сливкообразный гной. А диагноз звучал несколько иначе. )

Nikolas's picture
Offline
Last seen: 1 month 3 weeks ago
Joined: 21.12.2010 - 20:37
Posts: 4560

о проведении КТ - исследовании, я всегда думаю о наших предшественниках. Как же они диагностировали артериовенозные аневризмы легких, ретенционные кисты и другую патологию? 

Андрей Юрьевич's picture
Offline
Last seen: 2 weeks 14 hours ago
Joined: 16.11.2008 - 22:16
Posts: 18106

Nikolas wrote:
Когда ставят вопрос о проведении КТ - исследовании, я всегда думаю о наших предшественниках. Как же они диагностировали артериовенозные аневризмы легких, ретенционные кисты и другую патологию? 

Я тоже.

Андрей Юрьевич

Андрей Юрьевич's picture
Offline
Last seen: 2 weeks 14 hours ago
Joined: 16.11.2008 - 22:16
Posts: 18106

Dima wrote:

КТ, проводили в частной клинике, ..., на диск не записали.

Тем более можно запросить диск.

Андрей Юрьевич

brainmodel's picture
Offline
Last seen: 7 months 2 weeks ago
Joined: 18.03.2010 - 22:04
Posts: 2881

Нагноившиеся (?) ретенционные кисты S 10 справа. Д/диагностика с мальформацией, гипоплазией сегмента, локальными буллами. Туб никто не отменял.

Verum plus uno esse non potest.

Бородулин М.А.'s picture
Offline
Last seen: 1 year 2 months ago
Joined: 17.02.2011 - 01:10
Posts: 1409

brainmodel wrote:

Нагноившиеся (?) ретенционные кисты S 10 справа. Д/диагностика с мальформацией, гипоплазией сегмента, локальными буллами. Туб никто не отменял.

yes

Dima's picture
Offline
Last seen: 7 years 7 months ago
Joined: 05.08.2012 - 17:39
Posts: 2467

Спасибо за советы и мнения, больной направлен в вышестоящую клинику, постораюсь отследить судьбу.

Терпимость - это когда прощают чужие ошибки; такт - когда не замечают их. (Артур Шницлер)