You are here

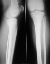
Кости голени + коленный сустав (Мальчика 12 лет сбила машина)

Пол пациента: 
Тип патологии: 
Область исследования: 
Методы исследования: 

Мальчик, 12 лет, шел по пешеходному переходу на зеленый свет, его сбила машина..

получил перелом ключицы, там классика, не интересно. 

а что вы скажете по данному снимку?

ID:25174
Любовь С.'s picture
Offline
Last seen: 9 years 10 months ago
Joined: 23.12.2010 - 01:58
Posts: 2324

Если боль в средней трети, то косой перелом ср/3 диафиза б/б кости практически без смещения. Если подозрение на артефакт, но есть клиника, то контактный снимок с диафрагмированием может помочь.

"Предоставляя весь смысл и совершенство в распоряжение одного только Бога, вы избавляете себя от бездны хлопот." Джон Уитборн.

helenmar's picture
Offline
Last seen: 8 years 11 months ago
Joined: 23.03.2008 - 12:27
Posts: 291

Косой перелом б/берцовой кости на границе с/3 и н/3 диафиза + перелом в/3 диафиза м/берцовой кости без смещения..

Делай, что должно, и будь, что будет.

Special.K's picture
Offline
Last seen: 9 years 3 months ago
Joined: 09.08.2012 - 23:08
Posts: 479

про малоберцовую кость соглашусь, перелом без смещения можно заподозрить, а вот в большеберцовой кости диафиз в норме (это артефакт на пленке).

Проксимальный эпифиз ББК не смущает ?

helenmar's picture
Offline
Last seen: 8 years 11 months ago
Joined: 23.03.2008 - 12:27
Posts: 291

Артефакт очень подозрительный, я бы пересняла, но спорить не буду. В проксимальном отделе б/берцовой убедительных данных за повреждение не вижу. Важна клиника, зона роста не закрыта.

Делай, что должно, и будь, что будет.

maker4ik's picture
Offline
Last seen: 9 years 1 week ago
Joined: 19.10.2011 - 17:49
Posts: 2682

Малоберцовая сломана.

Андрей Юрьевич's picture
Offline
Last seen: 3 weeks 2 days ago
Joined: 16.11.2008 - 22:16
Posts: 18106

Предположим, что перелом диафиза большеберцовой кости есть (стрелка). Но где все видят перелом малоберцовой?

Приложения: 
12_20121217_.jpg

Андрей Юрьевич

И.Бондаренко's picture
Offline
Last seen: 5 days 8 hours ago
Joined: 13.09.2011 - 22:55
Posts: 9213

Андрей Юрьевич wrote:

Предположим, что перелом диафиза большеберцовой кости есть (стрелка). Но где все видят перелом малоберцовой?

На вашем изображении увидел и перелом м/б. Есть костное тело в проекции верхнего заворота, возможно хондроматоз. Только вот вопрос : у детей он встречается?

Андрей Юрьевич's picture
Offline
Last seen: 3 weeks 2 days ago
Joined: 16.11.2008 - 22:16
Posts: 18106

И.Бондаренко wrote:

Андрей Юрьевич wrote:

Предположим, что перелом диафиза большеберцовой кости есть (стрелка). Но где все видят перелом малоберцовой?

На вашем изображении увидел и перелом м/б. ...


Ткните, плз

Андрей Юрьевич

Ola-la's picture
Offline
Last seen: 1 year 3 months ago
Joined: 06.12.2008 - 09:33
Posts: 1786

Я тоже в упор не вижу перелома малоберцовой кости.

Vega's picture
Offline
Last seen: 5 months 4 days ago
Joined: 22.01.2009 - 19:16
Posts: 1087

Андрей Юрьевич wrote:

Ткните, плз

Тык :-)

Приложения: 
1.jpg
Андрей Юрьевич's picture
Offline
Last seen: 3 weeks 2 days ago
Joined: 16.11.2008 - 22:16
Posts: 18106

Vega wrote:

Андрей Юрьевич wrote:

Ткните, плз

Тык :-)


Ну, что ж, дело судебное, посему - либо МСКТ, либо контрольный рентген через 7-10 дн. без гипса.

Андрей Юрьевич

maker4ik's picture
Offline
Last seen: 9 years 1 week ago
Joined: 19.10.2011 - 17:49
Posts: 2682

Vega wrote:

Тык :-)

Да, я тоже это имела в виду. 

А по поводу "артефакта" на большеберцовой - пересняла бы. Может, и с малоберцовой пояснее столо бы.

Special.K's picture
Offline
Last seen: 9 years 3 months ago
Joined: 09.08.2012 - 23:08
Posts: 479

с удовольствием бы переснял, да только мальчонка на второй день переведен в областную детскую больницу.

По поводу малоберцовой - травматологи тоже согласны, что скорее всего есть. тем более как раз на этом уровне огромная гематома была.

алкс's picture
Offline
Last seen: 10 years 5 months ago
Joined: 24.10.2012 - 22:55
Posts: 2915

Не типичный бампер

Катенёв Валентин Львович's picture
Offline
Last seen: 7 years 5 months ago
Joined: 22.03.2008 - 22:15
Posts: 54876

А, надколенник на месте?

Special.K's picture
Offline
Last seen: 9 years 3 months ago
Joined: 09.08.2012 - 23:08
Posts: 479

Валентин Львович, по данным снимкам положение надколенника, как Вы сами понимаете, оценивать неправильно, а других снимков нет. даже боковой снимок выполнен с нарушением установки.

чисто клинически, травматологов коленный сустав и надколенник вообще не особенно интересовали.