You are here

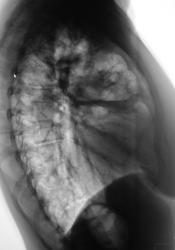
Cito! Назначена рентгенография грудной клетки.

Пол пациента: 
Методы исследования: 

Звонит коллега терапевт. Не может разобраться с пациентом. Срочно назначена рентгенография ОГК. Коллега! Святое дело! Сделали бегом.

1.CITO_.JPG
1.CITO_.JPG
3.CITO_.JPG
3.CITO_.JPG

 

 

 

 

 

 

 

 

 

Но смутила конфигурация сердечной тени. Глянул в "сиаре" архив. 6 месяцев тому производили пациентке снимки - "состоит на учете" у кардиолога по поводу открытого боталлова протока и дефекта межпредсердной перегородки.

2.CITO_..JPG
2.CITO_..JPG

 

 

 

 

 

 

 

 

Ваше мнение уважаемые коллеги.

Ниже представлены фрагменты рентгенограмм с увеличением и томограммы, произведенные в прямой проекции.

4.CITO_.JPG
4.CITO_.JPG
5.CITO_.JPG
5.CITO_.JPG
6.CITO_.JPG
6.CITO_.JPG

 

 

 

 

 

 

 

 

 

 

 

 

 

7.CITO_.JPG
7.CITO_.JPG
8.CITO_..JPG
8.CITO_..JPG

 

 

 

 

 

 

 

 

 

 

 

 

Ниже представлены томограммы правого лёгкого в боковой проекции.

9.CITO_..JPG
9.CITO_..JPG
10.CITO_.JPG
10.CITO_.JPG
11.CITO_.JPG
11.CITO_.JPG

 

 

AttachmentSize
Image icon 1.CITO_.JPG73.88 KB
Image icon 3.CITO_.JPG85.38 KB
Image icon 2.CITO_..JPG74.62 KB
Image icon 4.CITO_.JPG67.32 KB
Image icon 5.CITO_.JPG78.52 KB
Image icon 6.CITO_.JPG73.68 KB
Image icon 7.CITO_.JPG50.16 KB
Image icon 8.CITO_..JPG51.95 KB
Image icon 9.CITO_..JPG76.58 KB
Image icon 10.CITO_.JPG71.04 KB
Image icon 11.CITO_.JPG80.14 KB
Almo's picture
Offline
Last seen: 11 hours 20 min ago
Joined: 28.09.2008 - 18:50
Posts: 8280

Создаёться впечатление, о пневмонии в S4 справа;дефигурация сердца.

Анатолий Владимирович Шумаков's picture
Offline
Last seen: 7 years 10 months ago
Joined: 16.10.2009 - 21:16
Posts: 1941

Огромная полость в передних отделах верхней доли правого легкого с тонкими стенками и мениском жидкости, хорошо дренированная - возможно ВСЁ  :)

Катенёв Валентин Львович's picture
Offline
Last seen: 7 years 1 month ago
Joined: 22.03.2008 - 22:15
Posts: 54876

Выставлены все имеющиеся снимки по данному случаю.

Анатолий Владимирович Шумаков's picture
Offline
Last seen: 7 years 10 months ago
Joined: 16.10.2009 - 21:16
Posts: 1941

Все равно сомнения: рак с распадом?, твс каверна с аспергилломой?, абсцесс с секвестром? Тут кавалерийским наскоком боюсь у нас  не получится. Дальше по кругу, вернее - "Бермудский треугольник" онко пульмо и твс диспансеры... Есть огромный риск легочного кровотечения - гипертензия в малом круге, необходимо предупредить лечащего врача...

Катенёв Валентин Львович's picture
Offline
Last seen: 7 years 1 month ago
Joined: 22.03.2008 - 22:15
Posts: 54876

Уже вызвали консультантов из области. Сами с учетом предыдущих рентгенограмм, кстати, были и томограммы, предположили, что имеется абсцедирование, возможно несколько полостей, которые слились между собой. "Запашок" помог в проведении "предварительной" дифференциальной диагности. "Запашок", как при "хорошем" абсцессе или гангрене лёгкого. Конечно, больная затяжелела, наслоилось все "друг на друга" и сердечная симптоматика (пороки) и сосудистая, ну и легочная.

Анатолий Владимирович Шумаков's picture
Offline
Last seen: 7 years 10 months ago
Joined: 16.10.2009 - 21:16
Posts: 1941

А раз клиника гангрены - это наверное позволяет уменьшить вероятность твс, но рак дренирующего бронха не исключаем... Прогноз в любом случае печален... :(

Almo's picture
Offline
Last seen: 11 hours 20 min ago
Joined: 28.09.2008 - 18:50
Posts: 8280

Картина (полость с экссудативным компонентом) характерна для пневмонии, вероятно стафилококковой природы.

Анатолий Владимирович Шумаков's picture
Offline
Last seen: 7 years 10 months ago
Joined: 16.10.2009 - 21:16
Posts: 1941

Я глубоко убежден, что даже если это пневмония, рентгенологически серотипировать разновидность инфекционного агента мы не сможем. Нет "наших" признаков позволяющих это сделать. Все подобные попытки обречены на провал, кроме косвенных призаков тбс. А еще сейчас нет "чистых" штаммов, всегда работает бригада возбудителей самой разной природы...

Almo's picture
Offline
Last seen: 11 hours 20 min ago
Joined: 28.09.2008 - 18:50
Posts: 8280

Обижаться нет оснований.Но, есть достаточно характиерные признаки, например деструкция лёгочной ткани с экссудативным компонентом, характена для неспицефической пневмонии, а дестукция,чаще всего бывает при стафилококковой пневмонии.Это придумал не я, посмотрите книги Л.С. Розенштрауха "Рентгенодиагностика заболеваний лёгких", Линденбратена "Рентгенологические симтомы и сидндромы заболеваний лёгких", П.В. Власова " Лучевая диагностика заболеваний  органов грудной клетки" .