Пол пациента:
Тип патологии:
Область исследования:
Методы исследования:
- https://radiomed.ru/sites/default/files/styles/case_slider_image/public/user/17529/2.jpg?itok=wzfOXN9I
- https://radiomed.ru/sites/default/files/styles/case_slider_image/public/user/17529/3.jpg?itok=z58G47Nv
- https://radiomed.ru/sites/default/files/styles/case_slider_image/public/user/17529/4.jpg?itok=kYbRh6IP
- https://radiomed.ru/sites/default/files/styles/case_slider_image/public/user/17529/5.jpg?itok=k_imSI5n
- https://radiomed.ru/sites/default/files/styles/case_slider_image/public/user/17529/6.jpg?itok=8Y8tkUnZ
- https://radiomed.ru/sites/default/files/styles/case_slider_image/public/user/17529/7.jpg?itok=0D1fppQg
- https://radiomed.ru/sites/default/files/styles/case_slider_image/public/user/17529/8.jpg?itok=1OSbyvzN
- https://radiomed.ru/sites/default/files/styles/case_slider_image/public/user/17529/9.jpg?itok=j5pfGE2c
- https://radiomed.ru/sites/default/files/styles/case_slider_image/public/user/17529/10.jpg?itok=bbCyb_s6
- https://radiomed.ru/sites/default/files/styles/case_slider_image/public/user/17529/11.jpg?itok=fZ1XpoYF
- https://radiomed.ru/sites/default/files/styles/case_slider_image/public/user/17529/12.jpg?itok=MoJnPf7l
- https://radiomed.ru/sites/default/files/styles/case_slider_image/public/user/17529/13.jpg?itok=rfJ-zpfC
ID:25345
Образование правого надпочечника еще к тому же . На счет ворот печени не совсем понятно ,а реконструкции есть. Объемное образование головки подж железы подтверждено ?
Реконструкция почему - то не получается. У него еще подкообразная почка. Образов. еще не подтвердилься.
Попробйте сделать реконструкции (фронтальные срезы), или добавьте все аксиальные срезы, которые имеются. Аномалию развития почек тоже хочется увидеть.
Опухоль Клацкина не похожа?
добавляйте срезы и посмотрим
все остальные снимки
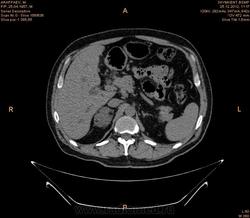
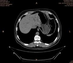
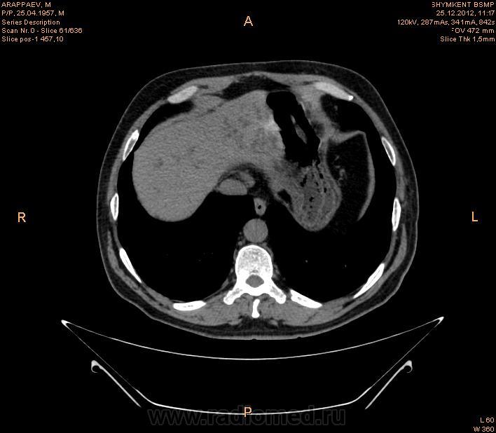
Подковообразная почка, с кистами слева, образование надпочечника. К тому же имеет место внутрипеченочная гипертензия. Гепатоспленомегалия. Инфильтрация парапанкреатической клетчатки (не точно). Лимфоузлы в воротах печени (неточно). Холедох я так и не разглядела, если честно.Необходимо дообследование, я думаю. КТ с внутривенным контрастированием хотя бы. Дождемся других мнений....
холедах не расширен.Слева я думаю гидронефотич. трансфорамация.М.б. Опухоль Клацкина как вы думаете?????
Если можно покажите пожалуйста инфильтрацию
я ж говорю не точно , скорее всего нет ее. Опухоль Клацкина достаточно серьезный диагноз, по одному КТ, тем более без внутривенного контрастирования трудно сказать.
увеличение лимфатических узлов парапанкреатической зоны ,парааортальных ,в области ворот печени,вирсунгов проток расширен,внутри панкреатическую часть холедоха не проследить (возможно на срезах он резко сужен),увеличение головки и крючковидного отростка поджелудочной железы(изоинтенсивна относительно паренхимы поджелудочной железы ),с участками пониженной плотности в структуре ,с отсутствием жировой прослойки с нисходящей горизонтальной частью 12 перстной кишки,высокая вероятность инвазии как забрюшинного жира (переднее параренальное пространство). так и самого органа(рекомендуется контрастное усиление с применением негативного контраста),увеличением размеров левого надпочечника(вероятнее всего метастаз) ,изоинтенсивного исходному органу по плотности с гиподенсивными участками округлой формы в структуре ,участком повышенной плотности,линейной формы по медиальному контуру (вероятнее всего кровоизлияние ),на одном из срезов между увеличенным надпочечником и верхним полюсом правой почки определяется линейная структура изоинтенсивная ткани почки и надпочечника ?(инвазия в периренальное пространство или объемный эффект не скажу точно),гипоинтенсивные относительно печени участки округлой формы с преймущественной локализацией в левой доле (возможно мтс,рекомендуется контрастное усиление ),подковообразная почка ,слева расширенная чашечнолоханочная система ,расширенный верхний сегмент мочеточника (для более подробной информации кт с контрастом -для определения природы обструкции),расширенные внутрипеченочные желчные протоки
Коллега, Вы можете поставить еще больше восклицательных знаков, но, если исследование проведено без контрастирования, подтвердить/опрвергнуть опухоль невозможно.
Андрей Юрьевич
КТ исследования органов брюшной полости, забрюшинного пространства без контрастного усиления, особенно при подозрении на онкопатологию, малоэффективны, приводящие к диагностическим ошибкам до 40% (Профессор А. Л. Юдин, журнал "Медицинская визуализация, 1997 г".).
Анатолий Петрович
Если холедох не раширен, значит, блок высокий. Что еще может давать билиарную гипертензию? Это не папиллит, не холедохолитиаз, не рак фат сосочка. Значит, вероятна опухоль печени, ворота чем-то заняты. Нужен контраст.
Н.Б.
Спасибо большое.Я начинаюший врач КТ кабинета.Вы мне здорово помогли.Я утром заклюячение отдала не дождавший ваши мнение.Гепатоспленомегалия.Внутипеченочная гипертензия Образование правого надпочечника.Подковобразн.почка гидронефротич.трансформаций левой половины.Образование головки поджелудочн.железы? Рек -но КТ с контрастиров или МРТ исследов.
Может я что-то не дописала, подскажите.Я всегда нашим врачам говорю что КТ без контраста без полезно что- то диффернц-ть, пусть лучше ограничивается УЗИ исследов. чем 10 кр.облучаться .Они как всегда отвечает что у больного денег нет... У нас стоит 75 тыс рубль по вашему курсу.
75 тыщ ???? или 7,5 тыщ ?
Да дороговато. А вы говорите пациентам , чтоб при себе имели необходимую сумму для контраста, для таких вот случаев.
"Гепатоспленомегалия" Вы из УЗИ пришли в рентген?
.Я всегда нашим врачам говорю что КТ без контраста бесполезно...
26.12.2012 КТ брюшной полости. Верующим в святость бесконтрастного КТ посвящается.
Анатолий Петрович
6тыс руб я извиняюсь
Я рентгенолог