You are here

КТ органов брюшной полости. Печальная картина.

 

Пациентка 47 лет, состояние после оперативного лечения рака толстой кишки. Случай коллеги. 

 

dicom тут: http://files.mail.ru/AFF2365978C448D0A6B63CEFEC85DC92  - 84,9 МВ (артериальная)

             

  

 

  • https://radiomed.ru/sites/default/files/styles/case_slider_image/public/user/2841/kor0-01a.jpg?itok=lwyDu9so
  • https://radiomed.ru/sites/default/files/styles/case_slider_image/public/user/2841/kor0-02.jpg?itok=FAa4Rezc
  • https://radiomed.ru/sites/default/files/styles/case_slider_image/public/user/2841/09-01.jpg?itok=aLD7Is9r
  • https://radiomed.ru/sites/default/files/styles/case_slider_image/public/user/2841/09-02.jpg?itok=kqhqKucu
  • https://radiomed.ru/sites/default/files/styles/case_slider_image/public/user/2841/09-03.jpg?itok=de2vGQqG
  • https://radiomed.ru/sites/default/files/styles/case_slider_image/public/user/2841/09-04.jpg?itok=r7DVGti2
  • https://radiomed.ru/sites/default/files/styles/case_slider_image/public/user/2841/09-05.jpg?itok=zHMNTeZL
  • https://radiomed.ru/sites/default/files/styles/case_slider_image/public/user/2841/09-06.jpg?itok=Sz444wHw
  • https://radiomed.ru/sites/default/files/styles/case_slider_image/public/user/2841/09-07.jpg?itok=yuyqQsGY
  • https://radiomed.ru/sites/default/files/styles/case_slider_image/public/user/2841/09-08.jpg?itok=irrwnWvR
  • https://radiomed.ru/sites/default/files/styles/case_slider_image/public/user/2841/09-09.jpg?itok=dgdxtgI1
  • https://radiomed.ru/sites/default/files/styles/case_slider_image/public/user/2841/09-10.jpg?itok=vx5krHdH
  • https://radiomed.ru/sites/default/files/styles/case_slider_image/public/user/2841/09-11.jpg?itok=dVGjRYGP
  • https://radiomed.ru/sites/default/files/styles/case_slider_image/public/user/2841/09-12.jpg?itok=kaJkYHRu
  • https://radiomed.ru/sites/default/files/styles/case_slider_image/public/user/2841/09-13.jpg?itok=gGWkAiMV
  • https://radiomed.ru/sites/default/files/styles/case_slider_image/public/user/2841/09-15.jpg?itok=-Z-0UKcL
  • https://radiomed.ru/sites/default/files/styles/case_slider_image/public/user/2841/09-16.jpg?itok=PoKOyqld
  • https://radiomed.ru/sites/default/files/styles/case_slider_image/public/user/2841/kor0-03.jpg?itok=l6RAS7eo
  • https://radiomed.ru/sites/default/files/styles/case_slider_image/public/user/2841/sag0-01.jpg?itok=aSKEQ-ZW
  • https://radiomed.ru/sites/default/files/styles/case_slider_image/public/user/2841/pozv0-01.jpg?itok=nqEYX9ZI
  • https://radiomed.ru/sites/default/files/styles/case_slider_image/public/user/2841/pozv0-02.jpg?itok=DACe_fXM
  • https://radiomed.ru/sites/default/files/styles/case_slider_image/public/user/2841/pozv0-03.jpg?itok=I7mwh-dG
ID:48968
Петрович's picture
Offline
Last seen: 7 years 3 months ago
Joined: 22.03.2009 - 01:13
Posts: 3908

Никого на сайте нет. Время ночное, как раз для дилетантов)

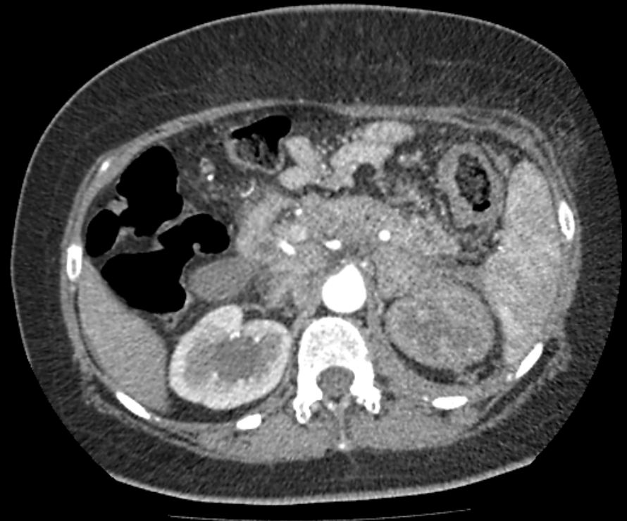
В L4, L5, крестце метастазы. Структура селезёнки неоднородна – тоже ОНИ? В печени, кажется, одиночные есть. Лев. почка не функционирует или функционирует слабо, замедленно – гидронефроз? Колостому наложили…, а раковое поражение было в прямой или в сигме? И что в тазу крупное видно, матка что ли?

Неоднозначно всё

НБ's picture
Offline
Last seen: 11 years 6 months ago
Joined: 07.11.2012 - 19:55
Posts: 84

Множество забрюшинных лимфоузлов, они, вероятно, компремируют мочеточник (или инвазия?) слева, а справа тоже расширена ЧЛС. Метастазов  в печени и селезенке на этих сканах не видно, ну и в кости метестазы. В левом плевральном синусе немного жидкости.Опять же левый надпочечник не виден - то ли в конгломерате лимфоузлов, то ли метастаз в него. А паренхиматозной (отсроченной) фазы нет? Работает ли левая почка? 

Н.Б.

И.Бондаренко's picture
Offline
Last seen: 3 days 12 hours ago
Joined: 13.09.2011 - 22:55
Posts: 9206

Жидкости в левой плевральной полости не вижу. Неравномерное утолщение стенки нисходящей кишки, конгломераты л/узлов, наверное затронут мочевой пузырь, мтс в позвоночник. В дополнение гидронефроз правой почки.

ЛГ's picture
Offline
Last seen: 8 years 11 months ago
Joined: 06.01.2010 - 12:31
Posts: 3523

Состояние после срединной лапаротомии, колостома. КТ-признаки карциноматоза брюшной полости, распространенная забрюшинная и мезентериальная лимфаденопатия (мтс), инвазия левой боковой стенки мочевого пузыря с обструктивным опухолевым гидронефрозом, больше справа; псевдотуморозный панкреатит, парапанкреатит, вторичный  ишемический левосторонний колит, метастаз левого надпочечника. Мтс тел L4-S1. Вторичное снижение перфузии левой почки. Малый асцит. Холестаз.

Мне прислали только артериальную фазу из-за проблем с трафиком, но cказали, что почка работает. Гипоперфузия, вероятно, из-за сдавления левой почечной артерии со стороны парааортальных лимфоузлов. Нижняя мезентериальная артерия также сдавлена, вероятно в этом причина отёка подслизистого слоя левой половины ободочной кишки. 

Селезенка в артериальную фазу часто имеет пятничтую структуру из-за трабекулярного строения. Поражение было в прямой кишке, удалена матка, резецирована часть прямой и сигмы.

Ну, с псевдотуморозным панкреатитом (увеличение, отек головки и тела железы с расширением вирсунга в хвосте) можно поспорить, хотя особой принципиальности нет, наверное. Холедох расширен.

Приложения: 
09-03-0.jpg09-06.jpg09-10.jpg09-16.jpgg01.jpg
Сан Саныч1's picture
Offline
Last seen: 1 year 16 hours ago
Joined: 07.06.2010 - 21:17
Posts: 2114

ЛГ wrote:

Состояние после срединной лапаротомии, колостома. КТ-признаки карциноматоза брюшной полости, распространенная забрюшинная и мезентериальная лимфаденопатия (мтс), инвазия левой боковой стенки мочевого пузыря с обструктивным опухолевым гидронефрозом, больше справа; псевдотуморозный панкреатит, парапанкреатит, вторичный  ишемический левосторонний колит, метастаз левого надпочечника. Мтс тел L4-S1. Вторичное снижение перфузии левой почки. Малый асцит. Холестаз.

Мои аплодисменты. А можно показать стрелкой асцит и парапанкреатит?

Хочешь сделать что-то нормально - сделай это сам!

ЛГ's picture
Offline
Last seen: 8 years 11 months ago
Joined: 06.01.2010 - 12:31
Posts: 3523

Клетчатка вокруг поджелудочной железы изменена, тяжистая, на фоне чего определяются лимфоузлы. Следы жидкости есть в боковых каналах, в малом тазу, под левым куполом диафрагмы. Примерно так:

Приложения: 
09-06--.jpg09-07--.jpg09-15.jpgkor0-02--.jpg09-03--.jpg
mila's picture
Offline
Last seen: 5 years 3 months ago
Joined: 26.02.2010 - 02:56
Posts: 277

Большое спасибо за демонстрацию с указанием патологии на сканах.

Сан Саныч1's picture
Offline
Last seen: 1 year 16 hours ago
Joined: 07.06.2010 - 21:17
Posts: 2114

Спасибо за иллюстрации, жаль что в книгах так стрелками не тыкают.

Хочешь сделать что-то нормально - сделай это сам!