You are here

образование средостения?

Пол пациента: 
Методы исследования: 

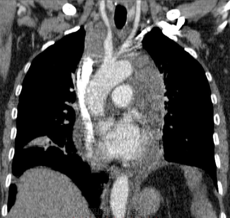
женщина 57 лет, направлена от терапевтов, с диагнозом левостороняя верхнедолевая пневмония. бронхоскопия-бронхи проходимы, катаральный эндобронхит.

есть Dicom нативная,артериальная,отсроченная. В переднем средостении,это образование? по книгам там ничего такого увеличенного быть не должно

артериальная http://files.mail.ru/B9327D95E0344F83ADA1E37284A691A0

нативная http://files.mail.ru/297F593BE2C14336818EE884FFC0FC13

отсроченная http://files.mail.ru/2FA897B35AC844389E7C4247D3902B6A

            

   

  • https://radiomed.ru/sites/default/files/styles/case_slider_image/public/user/2841/dz01.jpg?itok=9kf_I3By
  • https://radiomed.ru/sites/default/files/styles/case_slider_image/public/user/2841/dz02.jpg?itok=vGCGctG3
  • https://radiomed.ru/sites/default/files/styles/case_slider_image/public/user/2841/dz03.jpg?itok=FpNgGXmr
  • https://radiomed.ru/sites/default/files/styles/case_slider_image/public/user/2841/dz04.jpg?itok=UX09BicG
  • https://radiomed.ru/sites/default/files/styles/case_slider_image/public/user/2841/dz05.jpg?itok=yCvmuUvi
  • https://radiomed.ru/sites/default/files/styles/case_slider_image/public/user/2841/dz06.jpg?itok=Ux5Vb0jQ
  • https://radiomed.ru/sites/default/files/styles/case_slider_image/public/user/2841/dz07.jpg?itok=7yQI5EBc
  • https://radiomed.ru/sites/default/files/styles/case_slider_image/public/user/2841/dz08.jpg?itok=oF383prF
  • https://radiomed.ru/sites/default/files/styles/case_slider_image/public/user/2841/dz09.jpg?itok=zgcLoBwT
  • https://radiomed.ru/sites/default/files/styles/case_slider_image/public/user/2841/dz10.jpg?itok=hRDD-PA6
  • https://radiomed.ru/sites/default/files/styles/case_slider_image/public/user/2841/dz11.jpg?itok=-MiRuBtX
  • https://radiomed.ru/sites/default/files/styles/case_slider_image/public/user/2841/dz12.jpg?itok=NA_PakHw
  • https://radiomed.ru/sites/default/files/styles/case_slider_image/public/user/2841/dz13.jpg?itok=QVeM62Jf
  • https://radiomed.ru/sites/default/files/styles/case_slider_image/public/user/2841/dz14.jpg?itok=LRWDmHlG
  • https://radiomed.ru/sites/default/files/styles/case_slider_image/public/user/2841/dz15.jpg?itok=QkIO3G34
  • https://radiomed.ru/sites/default/files/styles/case_slider_image/public/user/2841/dz16.jpg?itok=U_xxbRTQ
ID:25791
ЛГ's picture
Offline
Last seen: 9 years 1 month ago
Joined: 06.01.2010 - 12:31
Posts: 3523

Лимфома с преимущественным поражением переднего средостения, двусторонний гидроторакс, субсегментарные ателектазы, поражение лимфоузлов прекардиальной клетчатки.

Для описания групп лимфоузлов удобна эта схема:

   

1 - нижнешейные, надключичные, стернальные

2 - верхние парарахеальные

3 - преваскулярные и превертебральные

4 - нижние паратрахеальные

5 - субаортальные

6 - парааортальные

7 - субкаринальные

8 - параэзофагиальные

9 - лимфоузлы легочной связки

Получается, 1-6 группы поражены в представленном случае.

Отсюда: http://www.radiologyassistant.nl/en/p4646f1278c26f/lymph-node-map.html

На ваш вопрос в другой теме: можно)).

smart's picture
Offline
Last seen: 8 years 9 months ago
Joined: 12.01.2013 - 20:07
Posts: 142

спасибо большое

И.Бондаренко's picture
Offline
Last seen: 3 days 17 hours ago
Joined: 13.09.2011 - 22:55
Posts: 9209

+1

алкс's picture
Offline
Last seen: 10 years 3 months ago
Joined: 24.10.2012 - 22:55
Posts: 2915

ЛГ:"Лимфома с преимущественным поражением переднего средостения, двусторонний гидроторакс, субсегментарные ателектазы, поражение лимфоузлов прекардиальной клетчатки."

Вам +100, спасибо за ссылку.

А. Горюнов's picture
Offline
Last seen: 3 months 4 weeks ago
Joined: 07.10.2012 - 12:12
Posts: 2744

Злокачественная лимфома переднего средостения, наиболее вероятно, неходжкинская лимфома, двусторонний плевральный выпот.

Анатолий Петрович

А. Горюнов's picture
Offline
Last seen: 3 months 4 weeks ago
Joined: 07.10.2012 - 12:12
Posts: 2744

Дальнейший лечебно-диагностический алгоритм? 

Анатолий Петрович

ЛГ's picture
Offline
Last seen: 9 years 1 month ago
Joined: 06.01.2010 - 12:31
Posts: 3523

Возможно, пункция под контролем УЗИ, решать онкологу.