You are here

Придираюсь?

Пол пациента: 
Методы исследования: 

 

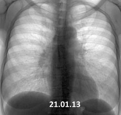
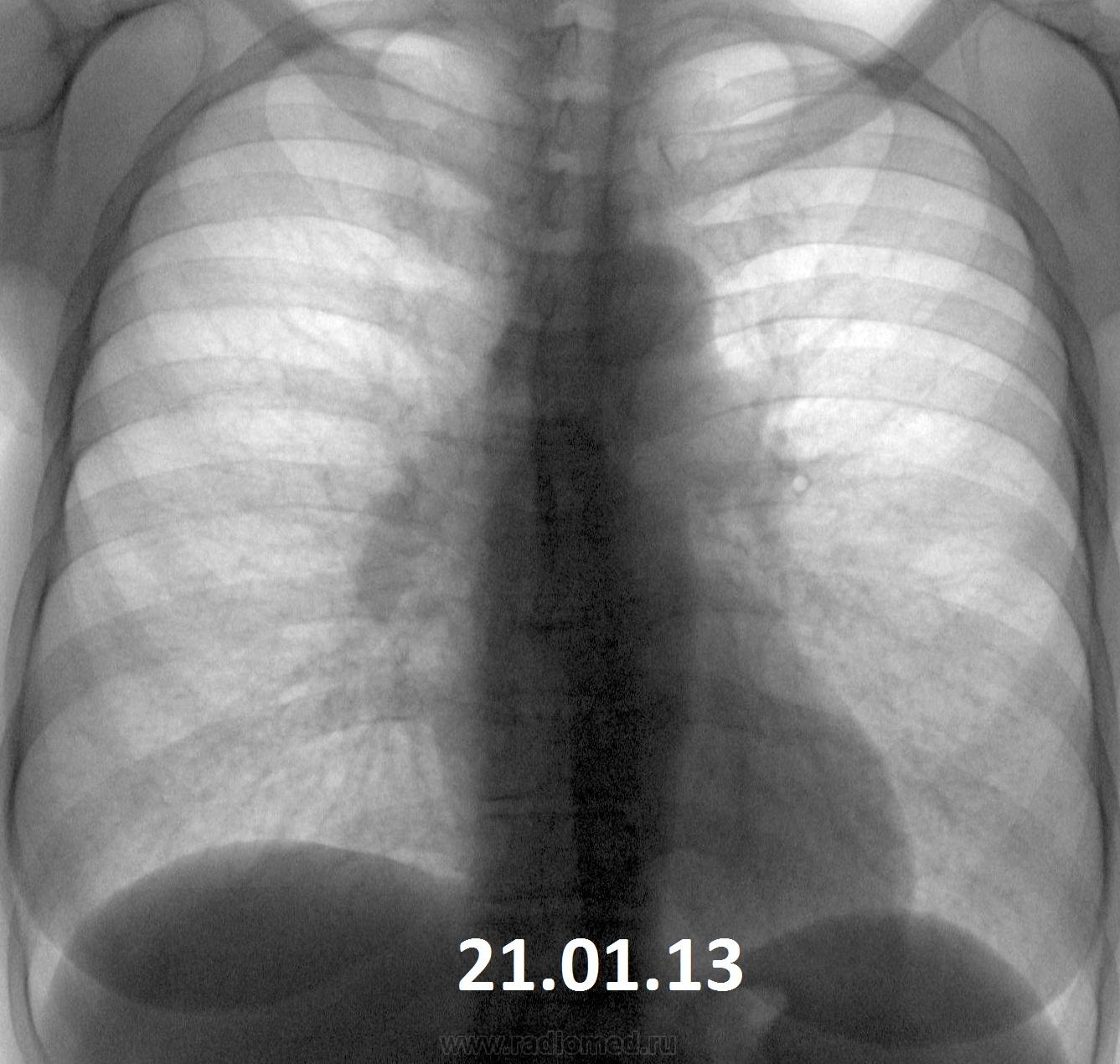
Два дня назад читал флюшки, показалось через чур много узелковых теней на фоне усиленного рис. Жалоб на "легкие" нет, но плохие анализы по "почкам". У мужа был (то ли умер, то ли развелась) ТБС. Придираюсь?

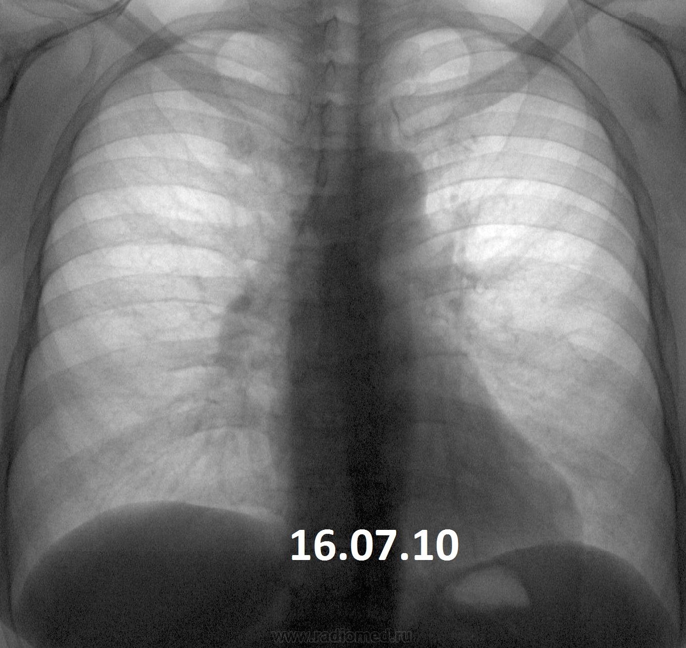
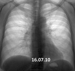
  • https://radiomed.ru/sites/default/files/styles/case_slider_image/public/user/3055/1958_g.r.14.02.2012_g.jpg?itok=cPczxx4u
  • https://radiomed.ru/sites/default/files/styles/case_slider_image/public/user/3055/1958_g.r.21.01.2013_g.jpg?itok=uVOomj8d
ID:25841
brainmodel's picture
Offline
Last seen: 2 months 3 weeks ago
Joined: 18.03.2010 - 22:04
Posts: 2881

Похоже, не придираетесь. Очаги есть, диффузная деформация рисунка есть. Слоить надо.

Приложения: 
222.jpg111.jpg

Verum plus uno esse non potest.

lupan's picture
Offline
Last seen: 6 years 10 months ago
Joined: 07.01.2010 - 17:17
Posts: 1406

brainmodel wrote:

Похоже, не придираетесь. Очаги есть, диффузная деформация рисунка есть. Слоить надо.

Ну, хорошо, добавили контрастности. А это тоже очаги?

Приложения: 
111_101.jpg

Великое преймущество врача заключается в том, что он не обязан следовать собственным советам. ( А. Кристи)

lupan's picture
Offline
Last seen: 6 years 10 months ago
Joined: 07.01.2010 - 17:17
Posts: 1406

brainmodel wrote:

Похоже, не придираетесь. Очаги есть, диффузная деформация рисунка есть. Слоить надо.

Ну, хорошо, добавили контрастности. А это тоже очаги?

Приложения: 
111_101.jpg

Великое преймущество врача заключается в том, что он не обязан следовать собственным советам. ( А. Кристи)

helenmar's picture
Offline
Last seen: 8 years 6 months ago
Joined: 23.03.2008 - 12:27
Posts: 291

Очагов как таковых не вижу, а медленно прогрессирующее изменение л/рисунка в средненижних отделах с преобладающим интерстициальным компонентом, по-моему, на лицо. +небольшая (возможно, кажущаяся) динамика расширения корня правого легкого. К норме отнести сложно. Нужен анамнез, исследование функции внешнего дыхания.

Делай, что должно, и будь, что будет.

И.Бондаренко's picture
Offline
Last seen: 2 days 17 hours ago
Joined: 13.09.2011 - 22:55
Posts: 9206

Изменены корни. Вероятней всего сердечные проблемы и изменение ЛР с этим и связано. Какой хоть возраст?

НАДЕЖДА ЮРЬЕВНА's picture
Offline
Last seen: 6 years 11 months ago
Joined: 30.07.2012 - 13:14
Posts: 360

А может быть начало милиарного Тб?

brainmodel's picture
Offline
Last seen: 2 months 3 weeks ago
Joined: 18.03.2010 - 22:04
Posts: 2881

lupan wrote:

brainmodel wrote:

Похоже, не придираетесь. Очаги есть, диффузная деформация рисунка есть. Слоить надо.

Ну, хорошо, добавили контрастности. А это тоже очаги?

Ну, если Вы такие случаи отпускаете на свободу со спокойной душой, я Вам завидую ;)

Verum plus uno esse non potest.

Игорь Иванович's picture
Offline
Last seen: 3 years 9 months ago
Joined: 23.01.2010 - 14:56
Posts: 3695

Женщина 1958 г.р., профилактическая флгр., жалоб на ОГК не предъявляет. Есть же изменения в легких при заболевании почек, или эта картина никак к этому не лезет?

P.S. Не знаю почему, но на флюорографе - картина явно разнится м-ду годами, а за процедурами  сжатий и обработок изображений - изюминки потерялись.

lupan's picture
Offline
Last seen: 6 years 10 months ago
Joined: 07.01.2010 - 17:17
Posts: 1406

 

[/quote] Ну, если Вы такие случаи отпускаете на свободу со спокойной душой, я Вам завидую ;)

[/quote]

Не в том дело, отпускаю или нет. А в том, что если очень захотеть, "поиграть" контрастностью и прочими штучками, можно много такого найти (в легких, костях) , чего и в помине нет.

Великое преймущество врача заключается в том, что он не обязан следовать собственным советам. ( А. Кристи)

maker4ik's picture
Offline
Last seen: 8 years 7 months ago
Joined: 19.10.2011 - 17:49
Posts: 2682

Пневмосклероз.

алкс's picture
Offline
Last seen: 10 years 4 weeks ago
Joined: 24.10.2012 - 22:55
Posts: 2915

И.Бондаренко wrote:

Изменены корни. Вероятней всего сердечные проблемы и изменение ЛР с этим и связано. Какой хоть возраст?

+1

Рек. УЗИ сердца для искл. порока сердца.

Марфутенко Василий Викторович's picture
Offline
Last seen: 12 years 9 months ago
Joined: 25.12.2008 - 23:29
Posts: 8

А отчего бы не быть саркоидозу???

stovbav's picture
Offline
Last seen: 2 years 2 months ago
Joined: 20.12.2009 - 17:28
Posts: 7066

Марфутенко Василий Викторович wrote:

А отчего бы не быть саркоидозу???

+1...очень похоже на медиастинально-легочную форму. Игорь Иванович, лучше перестрахуйся консультацией в ОТД.

Сольвейг's picture
Offline
Last seen: 3 years 5 months ago
Joined: 05.02.2013 - 20:25
Posts: 2239

Саркоидоз ВГЛУ и легких