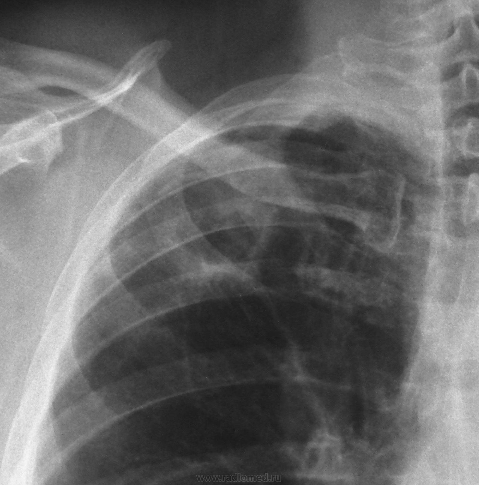
67 л. Вич-отрицательный. Пенсионер. Проведена проверочная флюорография перед операцией на коленном суставе. Флюорография в 2010 г. На контроль не вызывали. Архива нет. Кл. анализ крови - норма. Поликлиника намерена срочно направить в ПТД. Жду Ваших мнений коллеги. Nikolas.
Толстые стенки образования, центральный характер распада, нежная дорожка к корню, я предположил бы периферический рак с распадом, да и возраст к этому располагает. Дифференцировать с туберкуломой, с распадом.
Думаю сначала следует исключить кавернозный тбс учитывая локализацию и фиброзные изменения. Хотя по характеру полости и стенок больше за рак действительно. Но тут нехватает выраженой лимфоаденопатии корня...В общем случай достаточно сложный для диф.диагностики по рентгену. По традиции на первое место поставлю рак с распадом. Обосную отсутствием изменений кл.ан. крови.
Толстые стенки образования, центральный характер распада, нежная дорожка к корню, я предположил бы периферический рак с распадом, да и возраст к этому располагает. Дифференцировать с туберкуломой, с распадом.
Полностью согласен. "Дорожка" больше представляет собой сосуд идущий от корня. Думаю, что при распаде туберкуломы дорожка была бы шире. Хотелось узнать дальнейшую судьбу пациента.
Мое первое впечатление, что это периферический рак. После мнений врачей сайта такой уверенности не стало. Где-то прочитал, что при дифдиагностике круглых теней локализации процесса при не следует придавать слишком большое значение. Больной пока на стадии обследования. Я против непременной госпитализации в тубстационар из-за суперинфекции МБТ. В таких условиях и КУМ в содержимом бронхов могут найти. По мере поступления материалов обследования буду представлять на сайт. Тем не менее, обсуждение желательно продолжить. Развернутые мнения коллег о той или иной патологии было бы полезно для всех участников обсуждения. С уважением Nik.
Присмотритесь к контуру внутренней поверхности, он волнистый, образован как бы наложением кругов разных диаметров. В интерпретации - несколько очагов образовали общую полость после распада. Не так ли вторичные формы туберкульоза получаются? (каверна в частности).
Мое первое впечатление, что это периферический рак.
Итак, есть два мнения - тубкаверна и полостная форма рака. Третьего не дано?
В основном, каждый из нас высказал ту, или иную нозологию без колебаний. Есть для этого основания? По всей видимости есть.
Интересно, чем каждый из нас руководствовался субъективно? Только двое из наших коллег прокомментировали "дорожку"..., а что кроме дорожки сподобило каждого из нас к той, или иной точке зрения?
При наличии абсцесса, тем более дренированного, вероятно была бы клиника , которой нет. А "лохматые" контуры, скорее из-за лимфонгаита( corona radiata).
Рак в принципе, мог развиться и на фоне старых очагов, но что действительно нехарактерно для рака субплевральная локализация, ну наверно мог до туда и дорасти, при таких размерах.. Нужна КТ и гистология .
Я вот всё думаю, к чему все эти перетягивания каната между нозологиями. Рентгенологический метод велик, но не всемогущ. В принципе, как и на ветке с "перстнем" круг диффдиагностической патологии обрисовывается довольно быстро, и мы эту задачу выполняем хорошо. Ведь никто 100% не даст за одну нозологию (хотя и часто так пишут - лукавите, господа, остаточек сомнений маленьким процентом будет скоблить Вашу профессиональную душу). Дальше дело за морфологией. Без нее гадать можно долго.
P.S. Нисколько не умаляю роль диагностических прений и их важность в тренировке рентгенологического ума - где еще с таким кругом коллег пообщаешься.
и неисчерпаем. Навряд ли, что кто-то из посетителей сайта использует все возможности метода в совершенстве. Если такие имеются, напишите. Врачи, зарегистрированные на сайте, это не 80-100 ежедневных гостей посетителей. Это, в основном, коллеги, жаждующие познаний и совершенствования, в каком бы возрасте они не находились. Это их стиль жизни, знать больше и лучше. Принимая участие в обсужении клинического наблюдения, врачи повышают свой класс. Среди сайтовцев профессиональный уровень разный. Не надо мешать игре "перетягивание каната". Считаю, что для пользы дела, обсуждение должно быть всегда аргументированным. Не просто написать, что это рак, пневмония, спондилит, но и обосновать. Ошибаются почти все. Если мы реально хотим помочь врачу, надо написать ему свое правильное мнение. Человек общественное существо. Ему необходимо общение, увлечение и поддержка окружающих. Привлекаем больше на сайт молодежи. Да здравствует Радиомед!
Выскажусь,почему написала о кавернизирующейся туберкуломе: 1.ОАК-без особенностей 2.плевро-апикальные наложения на стороне поражения. 3очаги отсева рядом и нельзя исключить их наличие в цирротически измененной ср/доле(без тмг). 4характер полости деструкции. 5наличие "дорожки"к корню.Хотя,ее вид может соответствовать и раковому лимфангоиту. 6плевро-диафр.спайки,без которых не бывает инфильтративного tbc,а с-r может быть
Думаю каверна из туберкуломы.Фирозный усик к висцеральной плевре,результат затихшего ангоит\По верхнему контуру есть участок равномерной толщины.В месте бронхососудистого примыкания разрыв контура.(это не должно быть при раке).Томограммы не визуализирут бронх ,но он там есть.
Я выскажусь за рак, так как стенки полости толстые и неравномерные.
А, у каверны стенки должны быть тонкие и равномерные?
Чаще у каверны толщина стенок равномерная и внутренний контур ровный, а бугристость внутреннего контура и неравномерность толщины стенки полости больше характерна для рака.
Терпимость - это когда прощают чужие ошибки; такт - когда не замечают их. (Артур Шницлер)
Старые "рентгенологи фтизники" говаривали, что наружный контур каверны и внутренний контур должны довольно сильно разниться друг от друга, тогда - это каверна.
Старые "рентгенологи фтизники" говаривали, что толщина стенки у "активной каверны" не бывает одинаковой толщины.
Старые "рентгенологи фтизники" говаривали, что внутренний контур стенки у "активной каверны" никогда не бывает ровный, всегда можно узреть своеобразные "фиорды".
Старые "рентгенологи фтизники" говаривали, что любит "активная каверна" поплевать вокруг себя.
---
Различают каверны пневмонического, эластического, ригидного и фиброзного характера.
Пневмоническая каверна образуется из инфильтрата с распадом и отличается довольно четкими внутренними и нечеткими наружными контурами. Толщина стенки каверны зависит от величины инфильтрата и зоны перифокального воспаления. Иногда на внутренней поверхности стенки каверны могут определяться неотторгнувшиеся секвестры казеоза.
Эластическая каверна формируется из пневмонической при благоприятном течении процесса, когда происходит дальнейшее отторжение казеоза и уменьшение перифокальной инфильтрации. Толщина стенки каверны при этом уменьшается, а контуры становятся более четкими. Дальнейшая регрессия процесса при хорошей дренажной функции бронха может идти в направлении формирования гранулирующей каверны с последующим образованием звездчатого или линейного рубца или небольшого очага. При нарушении дренажной функции бронха, закупорке его казеозными массами или вследствие воспалительного стеноза бронха возникает вентильный механизм и каверна как бы раздувается, увеличиваясь в размере. Толщина ее стенки при этом уменьшается. На любом этапе заживления каверны может наступить обострение процесса и она снова приобретает вид пневмонической. При длительном существовании полости, чередовании вспышек и затиханий процесса формируется рубцовая ткань в окружающей легочной ткани, появляются грубые радиарно расположенные тяжи, каверна приобретает вид ригидной и фиброзной.
Чаще у каверны толщина стенок равномерная и внутренний контур ровный, а бугристость внутреннего контура и неравномерность толщины стенки полости больше характерна для рака.
Старые "рентгенологи фтизники" говаривали, что наружный контур каверны и внутренний контур должны довольно сильно разниться друг от друга, тогда - это каверна.
Старые "рентгенологи фтизники" говаривали, что толщина стенки у "активной каверны" не бывает одинаковой толщины.
Старые "рентгенологи фтизники" говаривали, что внутренний контур стенки у "активной каверны" никогда не бывает ровный, всегда можно узреть своеобразные "фиорды".
Старые "рентгенологи фтизники" говаривали, что любит "активная каверна" поплевать вокруг себя.
---
К сожалению мне не доводилось общаться со старыми "рентгенологами фтизиками", поэтому чаще приходится черпать информацию из книг...
Терпимость - это когда прощают чужие ошибки; такт - когда не замечают их. (Артур Шницлер)
Я в восхищении от того, с каким азартом наши рентгенологи в сотый раз дифференцируют между раком и туберкулёзом!
Не желая повторяться и не претендуя на истину, предлагаю подойти к вопросу с другой стороны. Как часто мы встречаем полостной рак вообще и субплеврально во втором сегменте в частности? Редко, почти никогда. Как часто там бывает кавернозный туберкулёз? Сплош и рядом.
Чисто статистически это примерно также, как угадывать исход футбольного матча между сборными России и Испании. Удивляет, что сторонников у сборной России так много...
Не желая повторяться и не претендуя на истину, предлагаю подойти к вопросу с другой стороны. Как часто мы встречаем полостной рак вообще и субплеврально во втором сегменте в частности? Редко, почти никогда. Как часто там бывает кавернозный туберкулёз? Сплош и рядом.
Вы правы!
И тщательное исследование мокроты разрешает все "диагностиеские дебаты"...
Я в восхищении от того, с каким азартом наши рентгенологи в сотый раз дифференцируют между раком и туберкулёзом!
Не желая повторяться и не претендуя на истину, предлагаю подойти к вопросу с другой стороны. Как часто мы встречаем полостной рак вообще и субплеврально во втором сегменте в частности? Редко, почти никогда. Как часто там бывает кавернозный туберкулёз? Сплош и рядом.
Чисто статистически это примерно также, как угадывать исход футбольного матча между сборными России и Испании. Удивляет, что сторонников у сборной России так много...
Не так уж и редко!На основании такого аргумента диагноз не поставишь
при такой R-картине при бронхоскопии не может быть нормы Видно даже невооруженным взглядом,что бронх деформирован.Если это была щипцовая катетеризационная биопсия с з-кратным забором материала ,что-то обязательно обнаружится:или клеткиПирогова-Ланхганса(в случае tbc или атипичные(даже конкретно-какие)в случае онкологии.Жаль,что бронхоскопия прошла впустую.
Nicolas!А не могли бы Вы разместить "свежие" R-тмг,ведь больной получает какое-то лечение(смею догадаться,что АБ).Возможно,это поможет прояснить картину
Толстые стенки образования, центральный характер распада, нежная дорожка к корню, я предположил бы периферический рак с распадом, да и возраст к этому располагает. Дифференцировать с туберкуломой, с распадом.
На первое место - тубкаверну поставлю.
1.Туберкулома с распадом.
2.Периферический рак с распадом.
+1
2-й сегмент - это жилище для туберкулёза
2-й сегмент - это жилище для туберкулёза
-----------------------------------------------------------------------------------------------------------------------------------------------------------
Да, но рак там то же может жить.
Периферич. с распадом
Вот что мне долгое время не дает покоя.
При раке бронх выключен из вентиляции.
Вопрос: Откуда газ в распадающеся опухоли?
Это тубкаверна .Полость с инфильтр. стенками и дорожкой к корню. Локализация cv .В корнях обызвестленные лимфоузлы. Сделать анализ мокроты.
Inna Str.
Кавернозный туберкульоз. Точка.
"Обучая других - учишься сам". Н.И.Пирогов
Всёже вероятнее кавернозный tbc в S-2 справа - видны очаги ниже полостного образования.
Думаю сначала следует исключить кавернозный тбс учитывая локализацию и фиброзные изменения. Хотя по характеру полости и стенок больше за рак действительно. Но тут нехватает выраженой лимфоаденопатии корня...В общем случай достаточно сложный для диф.диагностики по рентгену. По традиции на первое место поставлю рак с распадом. Обосную отсутствием изменений кл.ан. крови.
Не ограничивайте свою мысль
Живешь пока учишься
Ecrasez l’infame
Если это тбц, анализ крови тоже может быть без особенностей
Я за кавернозный туберкулез, очень уж длинная дорожка к корню
Полностью согласен. "Дорожка" больше представляет собой сосуд идущий от корня. Думаю, что при распаде туберкуломы дорожка была бы шире. Хотелось узнать дальнейшую судьбу пациента.
Мое первое впечатление, что это периферический рак. После мнений врачей сайта такой уверенности не стало. Где-то прочитал, что при дифдиагностике круглых теней локализации процесса при не следует придавать слишком большое значение. Больной пока на стадии обследования. Я против непременной госпитализации в тубстационар из-за суперинфекции МБТ. В таких условиях и КУМ в содержимом бронхов могут найти. По мере поступления материалов обследования буду представлять на сайт. Тем не менее, обсуждение желательно продолжить. Развернутые мнения коллег о той или иной патологии было бы полезно для всех участников обсуждения. С уважением Nik.
Я на первое место ставлю периферический рак с распадом. Оперировать..
Присмотритесь к контуру внутренней поверхности, он волнистый, образован как бы наложением кругов разных диаметров. В интерпретации - несколько очагов образовали общую полость после распада. Не так ли вторичные формы туберкульоза получаются? (каверна в частности).
"Обучая других - учишься сам". Н.И.Пирогов
Несомненно кавернозный туберкулез.Конс. фтизиатра.
Итак, есть два мнения - тубкаверна и полостная форма рака. Третьего не дано?
В основном, каждый из нас высказал ту, или иную нозологию без колебаний. Есть для этого основания? По всей видимости есть.
Интересно, чем каждый из нас руководствовался субъективно? Только двое из наших коллег прокомментировали "дорожку"..., а что кроме дорожки сподобило каждого из нас к той, или иной точке зрения?
3-е место надо отдать абсцессу. Наружный контур ШО всё-таки лохматый.
При наличии абсцесса, тем более дренированного, вероятно была бы клиника , которой нет. А "лохматые" контуры, скорее из-за лимфонгаита( corona radiata).
Уважаемый Nikolas!
Вот интересно стало мне почему выставлены только фрагменты томограмм?
Вот для таких вот случаев и целесообразно применять КТ ОГК. Я тоже за полостную форму рака.
Вот появились и третья нозология!
уважаемый Валентин Львович! Так было снято на фото для лучшей наглядности полостного образования в лёгком. При возможности, обязательно добавлю.
Кроме дорожки типично для туберкулеза трехслойное строение стенок полости.Уровня жидкости нет.Возраст почтенный.Процесс,наверное,несвежий,туберкулезный.
Еще если присмотреться видны очаги отсева. Связи с плеврой, как бывает часто при раке, как таковой нет - "волосы дыбом от ужаса" не стоят )))
Буду очень признателен, может архивчик всплывет, а может апикальная плевра что поведает.
А мне вот мерещится, что полость и рядышком "поплевала".
Как тут не вспомнить нашего молодого коллегу из ветки о "перстне"...и вроде бы похож...да не тот))).
Голосую за туберкулез.
Болезни ног: виды, симптомы, причины, профилактика и лечение
Рак в принципе, мог развиться и на фоне старых очагов, но что действительно нехарактерно для рака субплевральная локализация, ну наверно мог до туда и дорасти, при таких размерах.. Нужна КТ и гистология .
Происходит кавернизация туберкуломы в S2 верхней доли правого легкого
Я вот всё думаю, к чему все эти перетягивания каната между нозологиями. Рентгенологический метод велик, но не всемогущ. В принципе, как и на ветке с "перстнем" круг диффдиагностической патологии обрисовывается довольно быстро, и мы эту задачу выполняем хорошо. Ведь никто 100% не даст за одну нозологию (хотя и часто так пишут - лукавите, господа, остаточек сомнений маленьким процентом будет скоблить Вашу профессиональную душу). Дальше дело за морфологией. Без нее гадать можно долго.
P.S. Нисколько не умаляю роль диагностических прений и их важность в тренировке рентгенологического ума - где еще с таким кругом коллег пообщаешься.
Verum plus uno esse non potest.
и неисчерпаем. Навряд ли, что кто-то из посетителей сайта использует все возможности метода в совершенстве. Если такие имеются, напишите. Врачи, зарегистрированные на сайте, это не 80-100 ежедневных гостей посетителей. Это, в основном, коллеги, жаждующие познаний и совершенствования, в каком бы возрасте они не находились. Это их стиль жизни, знать больше и лучше. Принимая участие в обсужении клинического наблюдения, врачи повышают свой класс. Среди сайтовцев профессиональный уровень разный. Не надо мешать игре "перетягивание каната". Считаю, что для пользы дела, обсуждение должно быть всегда аргументированным. Не просто написать, что это рак, пневмония, спондилит, но и обосновать. Ошибаются почти все. Если мы реально хотим помочь врачу, надо написать ему свое правильное мнение. Человек общественное существо. Ему необходимо общение, увлечение и поддержка окружающих. Привлекаем больше на сайт молодежи. Да здравствует Радиомед!
Vivat Radiomed!
Не ограничивайте свою мысль
Живешь пока учишься
Ecrasez l’infame
Я выскажусь за рак, так как стенки полости толстые и неравномерные. Корень на томограммах не помешал бы...
Терпимость - это когда прощают чужие ошибки; такт - когда не замечают их. (Артур Шницлер)
А, у каверны стенки должны быть тонкие и равномерные?
Выскажусь,почему написала о кавернизирующейся туберкуломе: 1.ОАК-без особенностей 2.плевро-апикальные наложения на стороне поражения. 3очаги отсева рядом и нельзя исключить их наличие в цирротически измененной ср/доле(без тмг). 4характер полости деструкции. 5наличие "дорожки"к корню.Хотя,ее вид может соответствовать и раковому лимфангоиту. 6плевро-диафр.спайки,без которых не бывает инфильтративного tbc,а с-r может быть
Думаю каверна из туберкуломы.Фирозный усик к висцеральной плевре,результат затихшего ангоит\По верхнему контуру есть участок равномерной толщины.В месте бронхососудистого примыкания разрыв контура.(это не должно быть при раке).Томограммы не визуализирут бронх ,но он там есть.
Терпимость - это когда прощают чужие ошибки; такт - когда не замечают их. (Артур Шницлер)
Старые "рентгенологи фтизники" говаривали, что наружный контур каверны и внутренний контур должны довольно сильно разниться друг от друга, тогда - это каверна.
Старые "рентгенологи фтизники" говаривали, что толщина стенки у "активной каверны" не бывает одинаковой толщины.
Старые "рентгенологи фтизники" говаривали, что внутренний контур стенки у "активной каверны" никогда не бывает ровный, всегда можно узреть своеобразные "фиорды".
Старые "рентгенологи фтизники" говаривали, что любит "активная каверна" поплевать вокруг себя.
---
Различают каверны пневмонического, эластического, ригидного и фиброзного характера.
Пневмоническая каверна образуется из инфильтрата с распадом и отличается довольно четкими внутренними и нечеткими наружными контурами. Толщина стенки каверны зависит от величины инфильтрата и зоны перифокального воспаления. Иногда на внутренней поверхности стенки каверны могут определяться неотторгнувшиеся секвестры казеоза.
Эластическая каверна формируется из пневмонической при благоприятном течении процесса, когда происходит дальнейшее отторжение казеоза и уменьшение перифокальной инфильтрации. Толщина стенки каверны при этом уменьшается, а контуры становятся более четкими. Дальнейшая регрессия процесса при хорошей дренажной функции бронха может идти в направлении формирования гранулирующей каверны с последующим образованием звездчатого или линейного рубца или небольшого очага. При нарушении дренажной функции бронха, закупорке его казеозными массами или вследствие воспалительного стеноза бронха возникает вентильный механизм и каверна как бы раздувается, увеличиваясь в размере. Толщина ее стенки при этом уменьшается. На любом этапе заживления каверны может наступить обострение процесса и она снова приобретает вид пневмонической. При длительном существовании полости, чередовании вспышек и затиханий процесса формируется рубцовая ткань в окружающей легочной ткани, появляются грубые радиарно расположенные тяжи, каверна приобретает вид ригидной и фиброзной.
Верифицированный "каверкот"
"Туберкулёз" довольно часто носит маску "злокачественного процесса"
Интересный журнальный случай.
Первоначально эти изменения были расценены, как рак лёгкого.
Последняя иллюстрация - динамика через 14 месяцев.
Кавернозный туберкулёз
Макропрепараты
От Павла Власова
Терпимость - это когда прощают чужие ошибки; такт - когда не замечают их. (Артур Шницлер)
Незабываемые впечатления )) - любая ошибка карается тыком указки, а словосочетания очаговая инфильтрация и бронхогенная диссеминация снятся в кошмарах
Нет эти спокойно сидели, а АКСАКАЛ среди аксакалов просто курил трубку, рассказывая нам основы...
Я в восхищении от того, с каким азартом наши рентгенологи в сотый раз дифференцируют между раком и туберкулёзом!
Не желая повторяться и не претендуя на истину, предлагаю подойти к вопросу с другой стороны. Как часто мы встречаем полостной рак вообще и субплеврально во втором сегменте в частности? Редко, почти никогда. Как часто там бывает кавернозный туберкулёз? Сплош и рядом.
Чисто статистически это примерно также, как угадывать исход футбольного матча между сборными России и Испании. Удивляет, что сторонников у сборной России так много...
Вы правы!
И тщательное исследование мокроты разрешает все "диагностиеские дебаты"...
При исследовании 3-х проб мокроты методом люминесцентной микроскопии МБТ не обнаружены. Исследование выполнено в ПТД. При бронхоскопии - норма.
при такой R-картине при бронхоскопии не может быть нормы Видно даже невооруженным взглядом,что бронх деформирован.Если это была щипцовая катетеризационная биопсия с з-кратным забором материала ,что-то обязательно обнаружится:или клеткиПирогова-Ланхганса(в случае tbc или атипичные(даже конкретно-какие)в случае онкологии.Жаль,что бронхоскопия прошла впустую.
Nicolas!А не могли бы Вы разместить "свежие" R-тмг,ведь больной получает какое-то лечение(смею догадаться,что АБ).Возможно,это поможет прояснить картину