На мой взгляд "это" не врожденное, создается впечатление, что в анамнезе травма была однозначно, и то, что пациент "травму отрицает", то это ничего не значит.
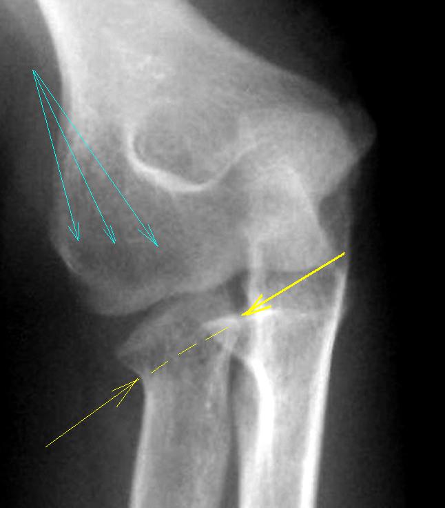
По всей видимости, была "весьма достойная травма", перелом лучевой кости (субкапитальный) с некоторым угловым смещением, что привело к некоторой угловой деформации проксимального эпи-метафиза лучевой кости. По всей видимости, остеопороз (голубые стрелки) в дистальном эпифизе плечевой кости связан с "функциональным недогрузом" в результате "уклонения" и деформации суставной поверхности головки лучевой кости.
Но я ведь высказал только свою точку зрения. То, что перечислено Вами в пользу "врожденной патологии", с успехом можно "прилепить" и к ранее не распознанному травматическим поражениям локтевого сустава, а то, что "травму не помнят", так возможно, ребенок и не помнит,
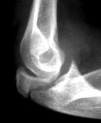
Перелом локтевого отростка, конечно, есть, здесь сомнений нет. Не очень понятно всё было только с головкой луча. Выполнили рентгенограмму здорового сустава. Теперь, думаю, диагноз врождённой патологии бесспорен.
На мой взгляд "это" не врожденное, создается впечатление, что в анамнезе травма была однозначно, и то, что пациент "травму отрицает", то это ничего не значит.
По всей видимости, была "весьма достойная травма", перелом лучевой кости (субкапитальный) с некоторым угловым смещением, что привело к некоторой угловой деформации проксимального эпи-метафиза лучевой кости. По всей видимости, остеопороз (голубые стрелки) в дистальном эпифизе плечевой кости связан с "функциональным недогрузом" в результате "уклонения" и деформации суставной поверхности головки лучевой кости.
Да и перелом локтевого отростка локтевой кости, ранее имел место быть.
Подвывих, следовательно, возник вторично.
Как же тогда можно было "весьма достойную травму" не заметить?
В пользу врожденного вывиха говорят
- пол (у девочек в 3 раза чаще, чем у мальчиков)
- cubitus valgus
- деформация головки луча
- утолщение проксимального отдела локтевой кости и дугообразное искривление локтевой кости
https://www.instagram.com/pediatricradiology/
А перелом локтевой кости, вероятно, свежий, есть симптом жировых подушечек.
https://www.instagram.com/pediatricradiology/
Здравствуйте Ольга!
Но я ведь высказал только свою точку зрения. То, что перечислено Вами в пользу "врожденной патологии", с успехом можно "прилепить" и к ранее не распознанному травматическим поражениям локтевого сустава, а то, что "травму не помнят", так возможно, ребенок и не помнит,
Перелом локтевого отростка, конечно, есть, здесь сомнений нет. Не очень понятно всё было только с головкой луча. Выполнили рентгенограмму здорового сустава. Теперь, думаю, диагноз врождённой патологии бесспорен.