You are here

Что с антральным отделом?

Изображение  Изображение Изображение

 Изображение  Изображение Изображение

Изображение Изображение Изображение

Изображение  Изображение Изображение

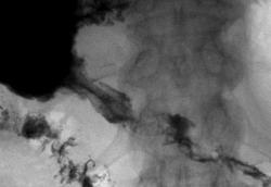
Изображение Вашему вниманию представлены фрагменты серийной цифровой сьемки во время сегодняшней рентгеноскопии ЖКТ.

Пациент: мужчина, 93 года, малоподвижен, состояние средней тяжести, иссследование в вертикальном положениии невозможно, на животе - с трудом. Клинически - одышка, тахикардия, асцит.

Рентгенологически - слева базально - латеральный осумкованый плеврит.

Вопрос- что с антральным отделом желудка?

ФГДС невозможно ввиду противопоказаний, в первую очередь со стороны кардиолога.

Катенёв Валентин Львович's picture
Offline
Last seen: 7 years 3 months ago
Joined: 22.03.2008 - 22:15
Posts: 54876

Предварительно, я подчеркиваю предварительно, теневая картина рака желудка, с преимущественным поражением антрального отдела, возможно с преобладанием скиррозного (фиброзного) компонента. Более детально, несколько позднее.

v1tal's picture
Offline
Last seen: 4 years 11 months ago
Joined: 07.06.2008 - 19:41
Posts: 1779

Виктор Григорьевич, первые мысли о наличие "органики"  препилорического отдела, преимущественно инфильтративной формы, к сожеленью я использую при R-скопии желудка ПДК, и тяжёлых  пациентов в таком состоянии не беру. ибо в любом лучае потребуется гистологическая верификация. а тобишь любые противопоказания к ФГДС сразу куда то улетучиваются.

"Знаешь, у некоторых врачей есть комплекс мессии — им необходимо спасать мир. А у тебя комплекс Рубика — тебе необходимо решать головоломки."

stovbav's picture
Offline
Last seen: 2 years 5 months ago
Joined: 20.12.2009 - 17:28
Posts: 7066

Доброй ночи, Виталий! Конечно, каждый из нас мечтает об "идеальных" пациентах и "классических" болезнях...но, увы...в жизни не так...

Конечно, сужение здесь имееется, но в процессе исследования его длина как бы меняется, ригидность весьма легкая, перистальтика все таки прослеживается. весьма вероятно, что подслизистое поражение присутствует, но...увы...эндоскописты отказываются брать на исследование...

v1tal's picture
Offline
Last seen: 4 years 11 months ago
Joined: 07.06.2008 - 19:41
Posts: 1779

Доброй ночи Виктор Григорьевич! А Вы как в заключении об этом указали? Я бы всё же осмелился о наличие инфильтративной формы,  деонтологического заболевания.

"Знаешь, у некоторых врачей есть комплекс мессии — им необходимо спасать мир. А у тебя комплекс Рубика — тебе необходимо решать головоломки."

stovbav's picture
Offline
Last seen: 2 years 5 months ago
Joined: 20.12.2009 - 17:28
Posts: 7066

Выставил дифференциальный ряд, на первое место - деонтологическое заболевание, инфильтративная форма.Высказал настоятельную просьбу пересмотреть, по возможности, противопоказания к ФГДС. Но это вряд ли...слишком стар и слаб старичок....

v1tal's picture
Offline
Last seen: 4 years 11 months ago
Joined: 07.06.2008 - 19:41
Posts: 1779

Если честно Виктор Григорьевич, в какой то мере скорее всего вы правы, каждый из  нас думает об идеальном пациенте, ни в коем случае не имею ввиду в плане галочки "без органических и функциональных изменений",  но иногда задумываешься, а чем руководствуются клиницисты направляя пациентов старше 80 и чуть 20 до 30 лет.

"Знаешь, у некоторых врачей есть комплекс мессии — им необходимо спасать мир. А у тебя комплекс Рубика — тебе необходимо решать головоломки."

Катенёв Валентин Львович's picture
Offline
Last seen: 7 years 3 months ago
Joined: 22.03.2008 - 22:15
Posts: 54876

Налицо сужение антрального отдела желудка, "относительная" ригидность стенок суженного участка, трансформация рельефа слизистой оболочки по типу "атипического" рельефа - все признаки злокачественного процесса. Следовательно дифференциальную диагностику целесообразно проводить только с ригидным антральным гастритом.

Катенёв Валентин Львович's picture
Offline
Last seen: 7 years 3 months ago
Joined: 22.03.2008 - 22:15
Posts: 54876

Налицо сужение антрального отдела желудка, "относительная" ригидность стенок суженного участка, трансформация рельефа слизистой оболочки по типу "атипического" рельефа - все признаки злокачественного процесса. Следовательно дифференциальную диагностику целесообразно проводить только с ригидным антральным гастритом.

Катенёв Валентин Львович's picture
Offline
Last seen: 7 years 3 months ago
Joined: 22.03.2008 - 22:15
Posts: 54876

Налицо сужение антрального отдела желудка, "относительная" ригидность стенок суженного участка, трансформация рельефа слизистой оболочки по типу "атипического" рельефа - все признаки злокачественного процесса. Следовательно дифференциальную диагностику целесообразно проводить только с ригидным антральным гастритом.

 

Катенёв Валентин Львович's picture
Offline
Last seen: 7 years 3 months ago
Joined: 22.03.2008 - 22:15
Posts: 54876

Налицо сужение антрального отдела желудка, "относительная" ригидность стенок суженного участка, трансформация рельефа слизистой оболочки по типу "атипического" рельефа - все признаки злокачественного процесса. Следовательно дифференциальную диагностику целесообразно проводить только с ригидным антральным гастритом.

Катенёв Валентин Львович's picture
Offline
Last seen: 7 years 3 months ago
Joined: 22.03.2008 - 22:15
Posts: 54876

Но, если детально проанализировать "трансформированную" слизистую оболочку пораженного участка, то, увы, "РИГИДНОМУ АНТРАЛЬНОМУ ГАСТРИТУ" шансов не остается, все говорит о раковом процессе.

ИзображениеИзображение

Изображение

Петрович's picture
Offline
Last seen: 7 years 5 months ago
Joined: 22.03.2009 - 01:13
Posts: 3908

  Присоединюсь, пожалуй, к подозрению коллеги v1tal относительно поражения препилорического отдела (только его) инфильтративной формой рака. Но без твёрдой уверенности. Оперировать его возьмутся ли… иль пусть живёт?

Неоднозначно всё

stovbav's picture
Offline
Last seen: 2 years 5 months ago
Joined: 20.12.2009 - 17:28
Posts: 7066

Об этом пока и речи нет, дедульке 93 года, уже по возрасту - 5группа риска...не могу убедитьдаже на ФГДС для биопсиии - утверждают, что "серце не выдержит"...+ асцит. Эндоскопист согласен, но только после парацентеза. Кардиологи чешут пока репу.Как по мне, то инфильтративная форма рака, но ведь и антральный ригидный гастрит нельзя полностью сбрасывать со счетов. Жаль, что не могу Вам воспроизвести серийную сьемку..."функциональное поведение" антрального и препилорического отделов весьма двойственно. С одной стороны - ригидность, с другой, достаточно активная перистальтика......

Петрович's picture
Offline
Last seen: 7 years 5 months ago
Joined: 22.03.2009 - 01:13
Posts: 3908

Именно из-за приличной перистальтики подозреваю только препилорический отд. и то без уверенности.

Неоднозначно всё

Петрович's picture
Offline
Last seen: 7 years 5 months ago
Joined: 22.03.2009 - 01:13
Posts: 3908

  Таким образом, считаю, ригидность стенок и сужение большей части антрального отдела не вытекает из серии рентгенограмм, атипизм рельефа тоже как-то неочевиден. Здесь скорее сглаженность рельефа слизистой. Так ведь лет-то 93! Слизистая – атрофична и на лице у него складки, пожалуй, рельефнее должны быть. Да и контраст, похоже, малоконцентрированный.

Неоднозначно всё