С-м диссеминированного процесса в легких включает в себя около 200-сот нозологий,самые частые из которых обозначил коллега Almo.В таких случаях требуется морфологическая верификация.Кстати,а как у нее с ВИЧ-ом?Хотя,действительно,на первый взгляд приходят мысли о диссеминированном tbcВ современных условиях именно так и манифестирует tbc у ВИЧ овых больных.
Термин "снежит" вполне в духе классики рентгенодиагностики и вполне уместен. Согласен с первоочередностью туберкулеза. А если еще окажется и ВИЧ-инфекция... Похоже, имеется и распад.
Приложения:
Великое преймущество врача заключается в том, что он не обязан следовать собственным советам. ( А. Кристи)
Ещё раз посмотрел, снимки- такое чувство, что в очагах диссеминации присутствуют вкрапаления извести( зоны казеоза), что характерно для туберкулёзного поражения . Вывод: больше данных туберкулёзное поражение, по типу хронического диссеминированного туберкулёза ( с учётом ФЛО-архива давность заболевания до 1 года)- но, это конечно ИМХО.
Как я понимаю," занежил"- " заснежилу" рознь- надо смотреть снимки, это документ, а слова, как известно, к делу не пришёшь!Выставяйте снимки-будем смотреть, сравнивать.
Довольно простой тактикой при выявлении легочной диссеменации-соотнесение с возрастом и клиникой.В данном случае(зрелый возраст и отсутствие интоксикации)-к онкологу.Молодых и с лихорадкой-к фтизиатру.Остальные варианты проясняются после консультаций.
Довольно простой тактикой при выявлении легочной диссеменации-соотнесение с возрастом и клиникой.В данном случае(зрелый возраст и отсутствие интоксикации)-к онкологу.Молодых и с лихорадкой-к фтизиатру.Остальные варианты проясняются после консультаций.
Когда-то критерием соотнесения с клиникой было: скудность клиники и аускультации при выраженных легочных изменениях, не исключающих туберкулез - думай о туберкулезе.
Довольно простой тактикой при выявлении легочной диссеменации-соотнесение с возрастом и клиникой.В данном случае(зрелый возраст и отсутствие интоксикации)-к онкологу.Молодых и с лихорадкой-к фтизиатру.Остальные варианты проясняются после консультаций.
Алексей Станиславович прав в отношении туберкулеза.Но!насчет тактики.Есть безошибочная тактика-морфологическая верификация диагнозаСлава Богу,что это доступно!А ждать и наблюдать(у молодых,в т.ч.), когда идет диф.диагноз с онкологией-это неоправданно.К,слову, недавно,мы выставили диагноз 2ум молодым человекам(36 лет) -периф.c-r с meta в легкие,хотя все "кричало"о tbc.Вот так.
Nicolas,я просто закидаю Вас.У меня комп есть,но все время занят Поэтому,я уж с планшетомТам android стоит и с Майкрософтом он почему-то не дружитМожет,Вы что-то подскажете?
Не сердитесь. Преподаватели бедные мало получают. А жалкий копм торгаши на постсоветском пространстве продают очень дорого. Ему красна цена 100 долларов.
с точки зрения современной медицины, Вы правы, быстрая морфологическая верификация - идеал для диагностики диссеминаций. Но где бедный житель Украины или России может получить идеал? Только на секционном столе.
1. В первый же день явки отправлена в ОТД, так что, естественно, ничего не сеяли.
2. Постараюсь, по возможности, отследить случай. Это и раньше было нелегко, а сейчас, с этой "реформой", пока толком не разобрать, кто за что отвечает)))
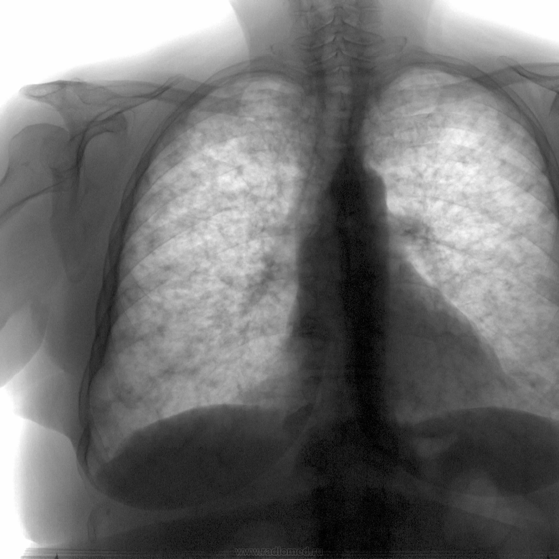
Синдром внутрилёгочной диссеминации.Нужен ФЛО-архив (давность изменений ?) Необходимо дифференцировать:
1.Диссеминированный туберкулёз
2 Саркоидоз лёгочная форма.
3. Интерстициальная пневмония
4.Канцероматоз лёгких.
Названо "снежит".
"Снежит", как буря, или так себе?
Так себе....
А вот и архив за февраль прошлого года, который просил Александр.
Болезни ног: виды, симптомы, причины, профилактика и лечение
На архивном снимке справа медио-базально снижение прозрачности, которого видно поменее на "свеженьком" снимке...
Впрочем на "свеженьком" и корни слабовать видны из-за того, что "снежит"...
Такие картиночки, особенно при рентгеноскопии, да в темном кабинете, как свидетельствовали аксакалы "того времени", могли быть только при милиарном
+! Только вот клиника какая-то не такая. Почему полегчало?
Не тянет на туберкулез нетолько по клинике,очень равномерно сдиссеменировало,саркоидоз не исключен.
С-м диссеминированного процесса в легких включает в себя около 200-сот нозологий,самые частые из которых обозначил коллега Almo.В таких случаях требуется морфологическая верификация.Кстати,а как у нее с ВИЧ-ом?Хотя,действительно,на первый взгляд приходят мысли о диссеминированном tbcВ современных условиях именно так и манифестирует tbc у ВИЧ овых больных.
Хочется исключить из дифряда канцероматоз - прикорневые зоны относительно чистые. Я больше склоняюсь к туберкулезу
На мой взгляд похоже на туберкулёз.
Прийди к Себе
Наверное tbc- при равномерное диссеминации все- таки более плотно они расположены на верхушках.
Спасибо, коллеги!
Мы тоже склонились в пользу диссеминированого туберкулеза.
Пациентка направлена на консультацию в ОТД.
Болезни ног: виды, симптомы, причины, профилактика и лечение
МТС, скорее мол. железы.
Не исключено.Мысль очень правильная. Диф. ряд выставлен. На первом месте - туберкулез.
Изменения в правом базально-медиальном отделе, вероятноее всего, парамедиастинальная липома.
Болезни ног: виды, симптомы, причины, профилактика и лечение
Вполне подходит.
В диф. ряд: диффузная милиарная пневмония.
Анатолий Петрович
Мы ее, как раз, не забыли...она на втором месте, особенно с учетом клиники двухнедельной давности. Дай бог, чтобы все остальное и не подтвердилось.
Вобщем, как всегда, диссеминация оставляет больше вопросов, чем ответов, особенно при "смазанности" клинических проявлений.
Болезни ног: виды, симптомы, причины, профилактика и лечение
Термин "снежит" вполне в духе классики рентгенодиагностики и вполне уместен. Согласен с первоочередностью туберкулеза. А если еще окажется и ВИЧ-инфекция... Похоже, имеется и распад.
Великое преймущество врача заключается в том, что он не обязан следовать собственным советам. ( А. Кристи)
Ещё раз посмотрел, снимки- такое чувство, что в очагах диссеминации присутствуют вкрапаления извести( зоны казеоза), что характерно для туберкулёзного поражения . Вывод: больше данных туберкулёзное поражение, по типу хронического диссеминированного туберкулёза ( с учётом ФЛО-архива давность заболевания до 1 года)- но, это конечно ИМХО.
Также "заснежили" мтс сч прямой кишки у нашей сотрудницы. Динамика стремительная. В мае - чисто, в августе - "снег".
Рентгеновы лучи никогда не ошибаются. Ошибаемся мы, переводя их на свой язык
Также "заснежить" могут mts откуда угодно.У нас последнее время-волна ВИЧ-овых больных,поэтому хотелось бы до конца отследить историю этой пациентки.
"Также "заснежили" мтс сч прямой кишки у нашей сотрудницы. Динамика стремительная. В мае - чисто, в августе - "снег".
-----------------------------------------------------------------------------------------------------------------------------------------------------------------------
Как я понимаю," занежил"- " заснежилу" рознь- надо смотреть снимки, это документ, а слова, как известно, к делу не пришёшь!Выставяйте снимки-будем смотреть, сравнивать.
Если отбросить скиалогические наложения, то, по всей видимости, на томограммах диссеминация будет довольно мономорфная.
А что унас в правой лопатке.А?
Да вроде бы и ничего...но она в полуаксиальной проекции...ни то - ни се....
Болезни ног: виды, симптомы, причины, профилактика и лечение
Значит меня опять посетил Глюк ......
Довольно простой тактикой при выявлении легочной диссеменации-соотнесение с возрастом и клиникой.В данном случае(зрелый возраст и отсутствие интоксикации)-к онкологу.Молодых и с лихорадкой-к фтизиатру.Остальные варианты проясняются после консультаций.
доктор Стовба. Можно надеяться на конечный результат.
Когда-то критерием соотнесения с клиникой было: скудность клиники и аускультации при выраженных легочных изменениях, не исключающих туберкулез - думай о туберкулезе.
С уважением,
Лучше есть варианты?
и при стероидном туберкулезе. Если гормоны не принимал, то за канцеро(карцино)матоз.
Алексей Станиславович прав в отношении туберкулеза.Но!насчет тактики.Есть безошибочная тактика-морфологическая верификация диагнозаСлава Богу,что это доступно!А ждать и наблюдать(у молодых,в т.ч.), когда идет диф.диагноз с онкологией-это неоправданно.К,слову, недавно,мы выставили диагноз 2ум молодым человекам(36 лет) -периф.c-r с meta в легкие,хотя все "кричало"о tbc.Вот так.
Что то уж густо снежит, не похоже на ТБ. Или вправду хронический диссеминированный, которого уже так часто не встретишь, не с чем и не с кем сравнить.
срочно покупайте комп. Хочу, очень хочу посмотреть Ваши случаи, о которых Вы так красиво и убедительно пишите.
При таком туб процессе палки посыпятся, искали?
Nicolas,я просто закидаю Вас.У меня комп есть,но все время занят Поэтому,я уж с планшетомТам android стоит и с Майкрософтом он почему-то не дружитМожет,Вы что-то подскажете?
и "закидайте" меня. Буду очень рад. Андроид -морковный кофе. Вы на каком этаже живете?
Не сердитесь. Преподаватели бедные мало получают. А жалкий копм торгаши на постсоветском пространстве продают очень дорого. Ему красна цена 100 долларов.
На 4-ом,а фактически.-на5 -ом.А это имеет значение?
Ой,я-практикующий рентгенолог.А сердиться я и не умею
с точки зрения современной медицины, Вы правы, быстрая морфологическая верификация - идеал для диагностики диссеминаций. Но где бедный житель Украины или России может получить идеал? Только на секционном столе.
В районе,наверное,нет,но ведь для этого существуют ООД,ОПТД,ОКБ
1. В первый же день явки отправлена в ОТД, так что, естественно, ничего не сеяли.
2. Постараюсь, по возможности, отследить случай. Это и раньше было нелегко, а сейчас, с этой "реформой", пока толком не разобрать, кто за что отвечает)))
Болезни ног: виды, симптомы, причины, профилактика и лечение
Виктор Григорьевич нам и расскажет архитектонику диагностики заболевания у его пациента. Будем ждать очень!
Спасибо!Очень надеемся наВас!Очень будет показательно для всех!