Пол пациента:
Тип патологии:
Область исследования:
http://files.mail.ru/5F3F3FCF15DB4253B24568F5EB3F4A53
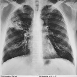
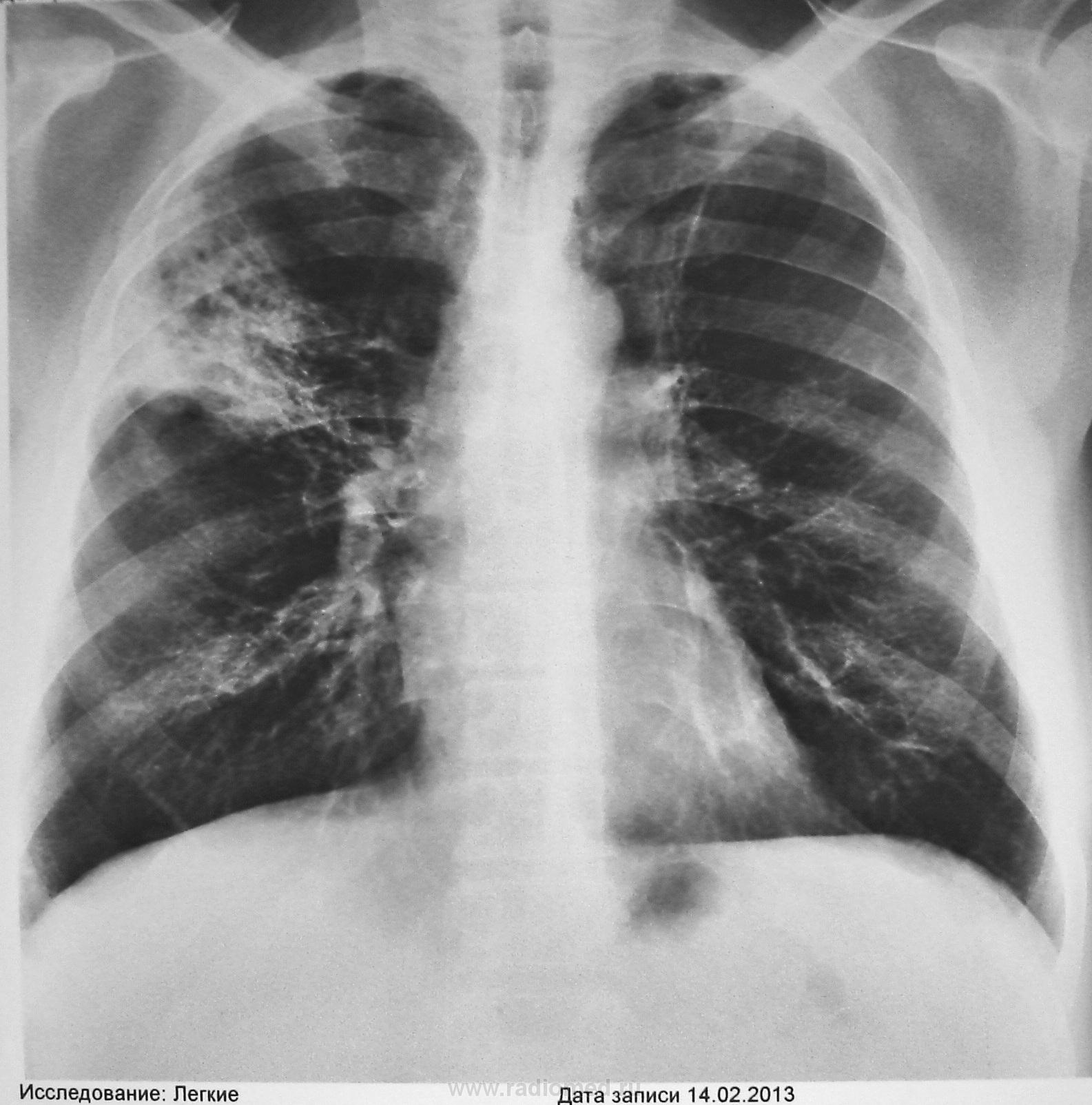
50 л. Кашель, слабость, t-37,0. в течение 2-х недель. При обращении к врачу сделали КТ 5.2.13 г.(см. ссылку). Лечение АБ. Контроль 14.2.13г. (см.рис.1.2.3). Ваше мнение коллеги. Диагностика продолжается.
Как всегда в рентгенологии : более вероятно/менее вероятно, можно думать, нельзя исключить. Более вероятным мне представляется пневмония в верхней доле в фазе неполного разрешения и фиброза.
Фиброз в верхней доле левого легкого, на мой взгляд, более ранний, с процессом в правом легком, скорее всего, не связан и носит, вероятно посттуберкулезный характер. Микрокавитация в нем диктует необходимость обследования на активность туб. процесса.
Андрей Юрьевич
Я бы выставил пневмонию справа, отметил фиброз, а если пневмония не уйдет, то и в ПТД направлять..
Анализ мокроты!
Прицельно на "палки" и на "грибы".
Динамики между картиной КТ и рентгенограммой на фоне а/б лечения нет. Снижение пневматизации верхней доли справа, больше в S1, аксиллярном субсегменте, сочетание перибронхиальной консолидации и участков дольковой деструкции в плащевидной зоне, сохранение воздушной бронхограммы с деформированными стенками бронхов, минимальная реакция лимфоузлов средостения, уменьшение объёма доли. Кальцинированные лимфоузлы средостения, посттуб.изменения (очень вероятно) верхних долей.
Дифференцировать между инфильтративным туберкулезом (преимущественно верхушечный сегментарный/перициссурит), БАР и хитрой пневмонией, наподобие пневмоцистной.
Не поняла, что на 3-м снимке... фрагмент задней укладки правого легкого?
https://www.youtube.com/channel/UCBGxoBUOqUT_bFhSeUgtWEw
Андрей Юрьевич, не покажете микрокавитацию слева? Не нашла, лишь парасептальную эмфизему, бронхоэктазы, фиброз.
https://www.youtube.com/channel/UCBGxoBUOqUT_bFhSeUgtWEw
Вот эту, самую латеральную, я предположил как микрокавитацию, но клинического значения может и не иметь, мало ли таких остаточных полостей.
Андрей Юрьевич
Ок, спасибо!
https://www.youtube.com/channel/UCBGxoBUOqUT_bFhSeUgtWEw
Да, сделано в поликлинике. МБТ ищут.
Спасибо. Пусть ищут - может, найдут. А если нет, пусть ищут рак. В любом случае, КТ-контроль через месяц было бы очень неплохо.
https://www.youtube.com/channel/UCBGxoBUOqUT_bFhSeUgtWEw
Абсолютно согласен. Найдут - хорошо, не найдут - не беда. Если искать рак, с которым предположением я тоже согласен, то только трепан-биопсией. Контролями тут не обойдешься. Как показывает приведенная А. Горюновым лекция: Med-Edu.ru - Медицинское Видео - Рак легкого- вопросы лучевой диагностики , контролировать можно годами. Тем более, что для рака не вполне выражена лимфоаденопатия средостения.
Андрей Юрьевич
В диф. ряд: организующая пневмония при коллагенозах.
Анатолий Петрович
Там, все-таки, поражение нижних долей.
Андрей Юрьевич
+1. Но только почему при коллагенозах? Есть криптогенная организующаяся пневмония (КОП), которая относится с интерстициальным болезням легких и к другой патологии отношения не имеет.
Девушка 50-ти лет, с богатым анамнезом (на верхушках явные "соты", по-моему, процесс возник не впервые, и не факт что это был ТБ, раньше, насколько я помню, при плохой динамике инфильтратов и кортикостероиды давали на раз), несоответствующей клиникой при таких рентгенологических изменениях и отрицательной динамикой на фоне лечения (хотя сравнивать рентгенограмму и скан-рентгенограмму на томограмме - дело неблагодарное, да и лечение могло быть неадекватным в наших-то условиях)...
Анамнез в студию, пожалуйста!
Согласен с Вами. В большинстве случаев организующая пневмония развивается как своеобразный ответ легочной ткани на воздействие какого-либо повреждающего фактора (бактериальная инфекция, лучевая и лекарственная терапия, на фоне хронической обструктивной болезни легких и системных заболеваний).
Анатолий Петрович
Коллеги, я правильно понял, что мы говорим об одном и том же: организующая пневмония - это не бактериальная пневмония в стадии организации и относится к разряду интерстициальных пневмоний?
Андрей Юрьевич
Посттуберкульозные изменения тут точно есть. Левый корень тянется к верхушке, там же плевральные наслоения. Справа, учитывая более-менее ограниченую во втором сегменте локализацию, по моему мнению выраженый метапневмонический либо метатуберкульозный фиброз и такой же плеврит (реакцию плевры видно на КТ). В плане рака - хоть какой-то лимфоузел должен был отреагировать. Дальше чисто рентгенологически не угадаешь))) Нужны дополнительные методы и комплексная оценка. Пробовать бронхоскопию. Исключать реактивацию тубпроцесса.
Больше склоняюсь к неспецифической пневмонии на фоне старых изменений, на втором месте тубпрогресс.
"Обучая других - учишься сам". Н.И.Пирогов
Интересно, как фтизиатры реагируют на возможность наличия неспецифической пневмонии на фоне "старых изменений"?
Не знаю, какую пневмонию коллега Чернявский в данном случае подразумевает под неспецифической: неспецифическую интерстициальную или неспецифическую, в смысле нетуберкулезную.
Андрей Юрьевич
Именно так. И лечится она соответственно - не антибиотиками.
В смысле нетуберкулезную, наверное. Банальную. Что тоже может быть.
Хочу анамнеза и архива!
Тогда - как-то не очень похоже.
Андрей Юрьевич
Ну у нас одни радуются что не ихнее, другие наоборот. Кто как. Имел пару таких случаев. Ничего человеку не мешает переболеть туберкульозом и после этого перенести пневмонию.
"Обучая других - учишься сам". Н.И.Пирогов
В смысле не туберкульозную.
"Обучая других - учишься сам". Н.И.Пирогов
Тогда понятно, Просто есть еще неспецифические интерстициальные пневмонии (NSIP)
Андрей Юрьевич
Некоторые уточнения и дополнения. Первичное обращение пациента за медицинской помощью было в частную медфирму, где ему сразу предложили КТ ОГК. Диагноз пневмония. Лечение: цефалоспорины в/м 7 дн., далее респираторные фторхинолоны 14 дней. В ПТД пришел самотеком по рекомендации рентгенолога только с данными рентгенологического исследования (см. начало). Состояние удовлет. Отмечает улучшение состояния на фоне лечения. Одышки нет. t тела -норма. Аускультативно дыхание жесткое везикулярное. Гемограмма - норма. Контрольное КТ 28.2.13. (см. ссылку http://files.mail.ru/58492918BAA04EC2B35C460271920DF9
). В мокроте МБТ не обнаружены методом бактериоскопии. Туберкулиновых пробы - отказ пациента. От бронхоскопии пока воздерживается. Стало известно, что в 1991 г. диагностирован "саркоидоз". Лечился. Документация утеряна??!! В последующие годы флюорогрфию не проходил. Архива нет. Пока все коллеги. Других материалов нет.
Спасибо большое. Очень интересный случай!
В прежние годы саркоидоз очень любили лечить кортикостероидами сразу без наблюдения и не всегда - достаточным курсом. После чего - почти у всех рецидивы, от повторных курсов многие пациенты отказываются, не витаминки все же. И как результат - вот такое фиброзирование
А может и не саркоидоз вовсе (кстати, мофологическая верификация была?). Может исходно КОП, преднизолоном получили положительную динамику, а дальше - то что есть.
Но это мои измышления, мысли вслух, пока качается КТ.
Вопчем, монстры все молчат. Ладно, будут изголяться деленанты.
Динамика, я бы сказала, больше отрицательная, чем положительная.
Но если бы был туберкулез - отсевы, наверное были бы, и уж точно -КУБы при таком процессе. Жаль, что у нас здесь не тусуются Фтизиатры.
Все-таки между КОП или другой какой-то интерстициальной пневмонией и БАР.
И вообще - не знаю, что это за хренотень такая. Здаюсь.
Тоже интересует этот вопрос.
"Обучая других - учишься сам". Н.И.Пирогов
со слов больного, была. Туберкулезом не болел.
С учетом анамнеза, морфологической верификации в прошлом саркоидоза, можно предположить 4 стадию заболевания (легочный фиброз), либо - атипичную форму саркоидоза.
http://www.scielo.br/scielo.php?pid=S1806-37132005000300012&script=sci_a...
http://radiographics.rsna.org/content/30/6/1567.full.pdf
Анатолий Петрович
похоже. Хотя, конечно, може быть фиброз с бронхоэктазами.
Н.Б.
Рентгенологические признаки БАР иные. Недавно, морфологически подтвержденный случай БАР, разбирался на сайте.
Анатолий Петрович
Ну, что можно сказать: пневмофиброз там, пневмофиброз сям, МБТ не сеет, опасности для других членов общества не представляет.
Андрей Юрьевич
А что КТ-шники пишут в своем заключении? Просто интересно.
"Обучая других - учишься сам". Н.И.Пирогов
но копий у меня нет. В них шла речь об интерстициальных болезнях легких и предложении исключить туберкулез. Уважаемые коллеги! Все ваши мнения я передал лечврачу. Ваша помощь неоценима. Пациент, узнав предварительные данные обследования на туберкулез, тихо исчез. Будут сведения, сообщу обязательно. Благодарю всех врачей, принимавших участие в обсуждении. С уважением Nik.
при хроническом течении саркоидоза встречаются у 30% больных. Коллеги! Пересмотрите ещё раз материалы. Возможно, что кальцинация не связана с туберкулезом.
Будем ждать. Что б только не пропал совсем клиент. Хочеться хоть обычный снимок в динамике увидеть.
"Обучая других - учишься сам". Н.И.Пирогов
тем более после КТ-исследования, стремительно заканчивается. Больные знают о широких возможностях КТ. Наш пациент сразу выбрал себе врача в частном медицинском заведении, как фильме"По семейным обстоятельствам". Помните? Герои фильма наняли частного логопеда с "фефектом речи". Уверен. Он выбрал бы себе и частный противотуберкулезный диспансер, если бы такие существовали. Следить будем обязательно. Взят на заметку.