You are here

КТ головного мозга и органов грудной полости.

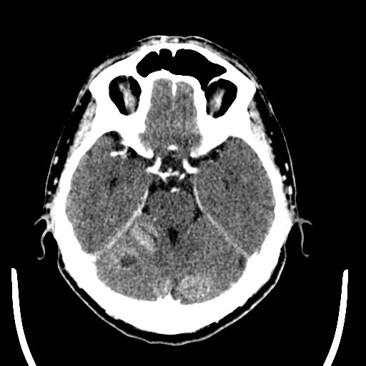
Пациент 53 лет поступил в терапевтическое отделение по ИБС, беспокоил кашель, на ОКГ деструктивная правосторонняя нижнедолевая пневмония. Выдал Джексоновскмие судороги, проведено СКТ головного мозга, после с контрастированием, выявлены кольцевидные тени с участками распада. Направлен на КТ дообследование легких

 

          

             

  • https://radiomed.ru/sites/default/files/styles/case_slider_image/public/user/2841/tag_2_0.jpg?itok=R-F8C21F
  • https://radiomed.ru/sites/default/files/styles/case_slider_image/public/user/2841/tag_3_0.jpg?itok=HIOlzgBY
  • https://radiomed.ru/sites/default/files/styles/case_slider_image/public/user/2841/tag_4_0.jpg?itok=K8dbsi-0
  • https://radiomed.ru/sites/default/files/styles/case_slider_image/public/user/2841/tag_5_0.jpg?itok=phcTQ70-
  • https://radiomed.ru/sites/default/files/styles/case_slider_image/public/user/2841/tag_6_0.jpg?itok=FTqZqzD8
  • https://radiomed.ru/sites/default/files/styles/case_slider_image/public/user/2841/tag_7_0.jpg?itok=K0YGTdhj
  • https://radiomed.ru/sites/default/files/styles/case_slider_image/public/user/2841/tag_8_0.jpg?itok=j6wcBQJT
  • https://radiomed.ru/sites/default/files/styles/case_slider_image/public/user/2841/tag_9_0.jpg?itok=aE2jrUr4
  • https://radiomed.ru/sites/default/files/styles/case_slider_image/public/user/2841/tag_10_0.jpg?itok=DNwGIGo4
  • https://radiomed.ru/sites/default/files/styles/case_slider_image/public/user/2841/tag01_0.jpg?itok=kJdzdMsZ
  • https://radiomed.ru/sites/default/files/styles/case_slider_image/public/user/2841/tag02_0.jpg?itok=aXUlH8YB
  • https://radiomed.ru/sites/default/files/styles/case_slider_image/public/user/2841/tag03_0.jpg?itok=j2HU9Ll4
  • https://radiomed.ru/sites/default/files/styles/case_slider_image/public/user/2841/tag04_0.jpg?itok=kgwmsrIb
  • https://radiomed.ru/sites/default/files/styles/case_slider_image/public/user/2841/tag05_0.jpg?itok=0h2DEKgk
  • https://radiomed.ru/sites/default/files/styles/case_slider_image/public/user/2841/tag06_0.jpg?itok=8tTniXxs
  • https://radiomed.ru/sites/default/files/styles/case_slider_image/public/user/2841/tag07_0.jpg?itok=tW58HUXE
  • https://radiomed.ru/sites/default/files/styles/case_slider_image/public/user/2841/tag08_0.jpg?itok=s0ukWheB
  • https://radiomed.ru/sites/default/files/styles/case_slider_image/public/user/2841/tag09_0.jpg?itok=4xA97NtI
  • https://radiomed.ru/sites/default/files/styles/case_slider_image/public/user/2841/tag10_0.jpg?itok=Sk-tuXMd
  • https://radiomed.ru/sites/default/files/styles/case_slider_image/public/user/2841/tag11_0.jpg?itok=rDduxE2m
  • https://radiomed.ru/sites/default/files/styles/case_slider_image/public/user/2841/tag12_0.jpg?itok=Ewdm5MIh
  • https://radiomed.ru/sites/default/files/styles/case_slider_image/public/user/2841/tag13_0.jpg?itok=xqIq04tS
ID:49147
Андрей Юрьевич's picture
Offline
Last seen: 1 week 5 days ago
Joined: 16.11.2008 - 22:16
Posts: 18101

Это демонстрация или вопрос?

Андрей Юрьевич

НАДЕЖДА ЮРЬЕВНА's picture
Offline
Last seen: 7 years 1 month ago
Joined: 30.07.2012 - 13:14
Posts: 360

Демонстрация.

Nikolas's picture
Offline
Last seen: 3 weeks 2 days ago
Joined: 21.12.2010 - 20:37
Posts: 4560

диагноз коллега?

НАДЕЖДА ЮРЬЕВНА's picture
Offline
Last seen: 7 years 1 month ago
Joined: 30.07.2012 - 13:14
Posts: 360

КТ-признаки периферического образования S9-10 правого легкого с признаками централизации, вторичными изменениями субкаринальных и правых бронхопульмональных лимфозлов, обтурационным субсегментарным бронхиолитом, гиповентиляцией нижней доли правого легкого. Вторичное поражение?левого надпочечника. Подозрение на единичный вторичный очаг верхней доли правого легкого. Мтс передней грудной стенки слева. Метастатическое поражение головного мозга с незначительным  перифокальным отеком. 

Больной направлен в ООД на консультацию для подтверждения диагноза. 

Nikolas's picture
Offline
Last seen: 3 weeks 2 days ago
Joined: 21.12.2010 - 20:37
Posts: 4560

Спасибо Надежда Юрьевна! Жду от Вас новых интересных клинических наблюдений. С уважением Nik.