You are here

остаточные явления пневмонии.Tbc?

Пол пациента: 
Тип патологии: 
Методы исследования: 

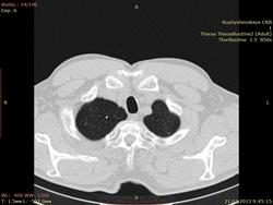
помогите пожалуйста с пациентом. Мужчина 63 года. Примерно месяц назад перенес нижнедолевую пневмонию справа. По рентгенограммам пишут осумкованный плеврит.(есть только описание). Tbc отрицает. что скажете по поводу очагов на верхушках? и справа в н\д описать как спайки?

DICOM   

http://files.mail.ru/02DBE79E84B348A1A314B48AB4B1DC2A

  • https://radiomed.ru/sites/default/files/styles/case_slider_image/public/user/17661/img-0003-00001_7.jpg?itok=EP7OWQXY
  • https://radiomed.ru/sites/default/files/styles/case_slider_image/public/user/17661/img-0003-00001_8.jpg?itok=gOJ-8C2o
  • https://radiomed.ru/sites/default/files/styles/case_slider_image/public/user/17661/img-0004-00001_5.jpg?itok=e4uv88RR
  • https://radiomed.ru/sites/default/files/styles/case_slider_image/public/user/17661/img-0005-00001_5.jpg?itok=g41r2Pep
  • https://radiomed.ru/sites/default/files/styles/case_slider_image/public/user/17661/img-0006-00001_4.jpg?itok=J5ix9Ler
  • https://radiomed.ru/sites/default/files/styles/case_slider_image/public/user/17661/img-0007-00001_3.jpg?itok=GoJlZK_J
  • https://radiomed.ru/sites/default/files/styles/case_slider_image/public/user/17661/img-0008-00001_2.jpg?itok=YLE9UgCR
  • https://radiomed.ru/sites/default/files/styles/case_slider_image/public/user/17661/img-0001-00001_9.jpg?itok=E-bYSs0m
  • https://radiomed.ru/sites/default/files/styles/case_slider_image/public/user/17661/img-0002-00001_7.jpg?itok=4i9EAYm-
ID:27177
алкс's picture
Offline
Last seen: 10 years 6 months ago
Joined: 24.10.2012 - 22:55
Posts: 2915

Кальцинаты на верхушке- не есть прямой признак ТВС. Плевральные изменения м.б. и пневмонические. По поводу осумкования - что осумковано? Жидкость?

smart's picture
Offline
Last seen: 9 years 6 days ago
Joined: 12.01.2013 - 20:07
Posts: 142

по рентгенограммам пишут что жидкость.я больше склоняюсь к спайкам и жировой ткани

Андрей Юрьевич's picture
Offline
Last seen: 4 weeks 6 hours ago
Joined: 16.11.2008 - 22:16
Posts: 18106

Ну, кроме явного фиброза в S5 с обеих сторон, в S7 справа и участков эмфиземы легких, действительно, есть какие-то единичные неясные очаги в верхних долях, также внутридольковые плотные очаги в S5 слева и мене плотные и четкие внутридольковые очаги плюс невыраженный фиброз в S10 слева.
Написал бы так, КТ-признаки: бронхопневмонии в S10 левого легкого в стадии неполного разрешения, локального пневмофиброза в S5 обоих легких, S7 правого легкого, эмфиземы легких, очажков неясного генеза в верхних долях обоих легких.  Рекомендуется дообследование на туберкулез, КТ-контроль через 6 мес.

Андрей Юрьевич

федя's picture
Offline
Last seen: 12 years 3 weeks ago
Joined: 25.06.2011 - 20:28
Posts: 260

осумкования нет ,справа в нижней доле участок фиброателектаза с проявлениями интерстициального фиброза по периферии,тракцией междолевой плевры(необходимо динамическое наблюдение за участком) ,слева ацино-нодулярные очаги -полечите пробно  и ясно будет.но все таки такие изменения пневмония дать не может -причем бронхопневмония !исключайте активность процесса и включите все гранулематозы в д.д 

smart's picture
Offline
Last seen: 9 years 6 days ago
Joined: 12.01.2013 - 20:07
Posts: 142

спасибо всем большое!