Пол пациента:
Тип патологии:
Область исследования:
Методы исследования:
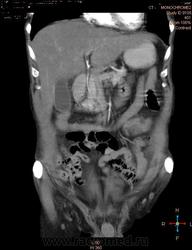
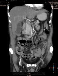
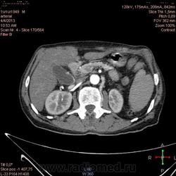
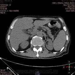
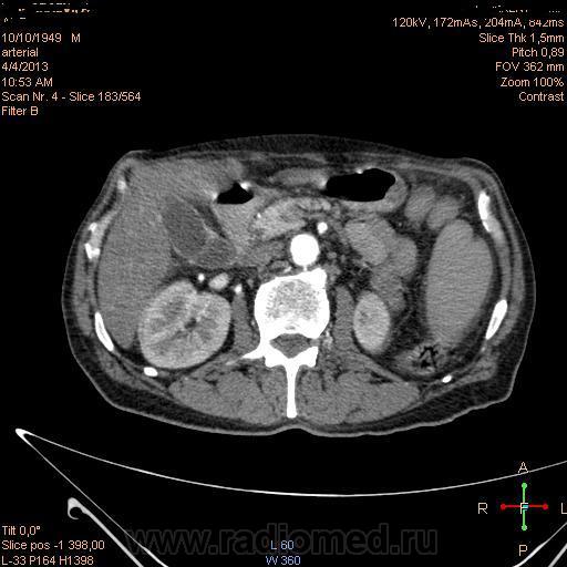
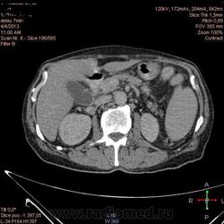
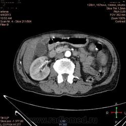
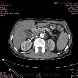
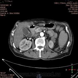
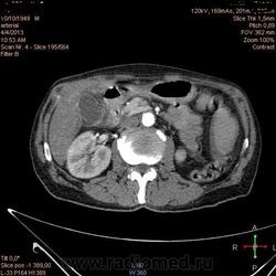
Здравствуйте, коллеги.Помогите разобраться.Пациент 1949 г беспокоять боли в животе , отсутствие аппетита, похудание .За неделю пожелтел, ослаблен.Нужно исключит кацер головки подж.железы.Анализы сегодня сдал еще не готовы.УЗИ зак увеличение л\узлов у ворот печени.Образов головки подж.железы ?На КТ жировой гепатоз.вроде головка подж железы не увеличены.
- https://radiomed.ru/sites/default/files/styles/case_slider_image/public/user/17529/502.jpg?itok=9QzongJ6
- https://radiomed.ru/sites/default/files/styles/case_slider_image/public/user/17529/503.jpg?itok=KbDBRvDo
- https://radiomed.ru/sites/default/files/styles/case_slider_image/public/user/17529/504.jpg?itok=zfgTNY-I
- https://radiomed.ru/sites/default/files/styles/case_slider_image/public/user/17529/506.jpg?itok=zxALKO0P
- https://radiomed.ru/sites/default/files/styles/case_slider_image/public/user/17529/510.jpg?itok=Tl_jyqST
- https://radiomed.ru/sites/default/files/styles/case_slider_image/public/user/17529/511.jpg?itok=5kNikeX6
- https://radiomed.ru/sites/default/files/styles/case_slider_image/public/user/17529/arterial507.jpg?itok=kMyZ_dDX
- https://radiomed.ru/sites/default/files/styles/case_slider_image/public/user/17529/arterial509.jpg?itok=UUDG6Fqj
- https://radiomed.ru/sites/default/files/styles/case_slider_image/public/user/17529/arterial510.jpg?itok=wi003E9_
- https://radiomed.ru/sites/default/files/styles/case_slider_image/public/user/17529/arterial512.jpg?itok=H9VgVUDs
- https://radiomed.ru/sites/default/files/styles/case_slider_image/public/user/17529/arterial513.jpg?itok=YxQQWBy3
- https://radiomed.ru/sites/default/files/styles/case_slider_image/public/user/17529/arterial514.jpg?itok=hy_xmNOv
- https://radiomed.ru/sites/default/files/styles/case_slider_image/public/user/17529/arterial_508.jpg?itok=UuwaChYp
- https://radiomed.ru/sites/default/files/styles/case_slider_image/public/user/17529/batch_1519.jpg?itok=cAX1lXwi
- https://radiomed.ru/sites/default/files/styles/case_slider_image/public/user/17529/batch_1520.jpg?itok=fSXNuJRN
- https://radiomed.ru/sites/default/files/styles/case_slider_image/public/user/17529/batch_1521.jpg?itok=dO-_jkXn
- https://radiomed.ru/sites/default/files/styles/case_slider_image/public/user/17529/delay_7min522.jpg?itok=slDU2WQb
ID:27573
Дайкомы бы.
Андрей Юрьевич
Мне надо исключить или поставить образование головки подж.железы.Хирурги ждут заключение, хотять оперировать.
Тем более нужны дайкомы.
Андрей Юрьевич
А про билиарную гипертензию на УЗИ и КТ ничего не говорится?
С уважением,
Узи не пишет про бил. гипертензию.Пока мы долго думали больной ночью отяжелел развился ДВС синдром к сожелению сегодня умер .Билирубин высокий был и нарастал со слов врачи.Я заключение вчера написала, думала что пропускаю малый рак головки, поэтому ждала ваше мнение...Я хотела уточнить на счет дайкома.Я сперва записываю на СД или ДВД диск, затем закидываю на сайт выброчно. Я неправильно делаю ?Обьясните пожалйуста.. Извините .
Даже если вы пропустили малый рак панкреас, пациент умер не из-за него - желтуха не механическая, а, вероятней, паренхиматозная.
С уважением,
Вы сначала записываете исследование на диск. А потом поступаете вот так http://www.radiomed.ru/blogs/lg/spravka-dlya-patsientov-kak-razmestit-dannye-issledovanii-s-cd-i-dvd-diskov
Андрей Юрьевич