Пол пациента:
Тип патологии:
Область исследования:
Методы исследования:
- https://radiomed.ru/sites/default/files/styles/case_slider_image/public/user/406/Foto004.jpg?itok=tRAEgBeJ
- https://radiomed.ru/sites/default/files/styles/case_slider_image/public/user/406/Foto006.jpg?itok=3IedrpyG
- https://radiomed.ru/sites/default/files/styles/case_slider_image/public/user/406/Foto005.jpg?itok=mqGVFORT
- https://radiomed.ru/sites/default/files/styles/case_slider_image/public/user/12/1.A.Sh_..jpg?itok=BucePQsl
- https://radiomed.ru/sites/default/files/styles/case_slider_image/public/user/12/2.A.Sh_..jpg?itok=bCtCv-Ia
- https://radiomed.ru/sites/default/files/styles/case_slider_image/public/user/12/3.A.Sh_..jpg?itok=Z-7A0d2Q
- https://radiomed.ru/sites/default/files/styles/case_slider_image/public/user/12/4.A.Sh_..jpg?itok=zmgTNKjr
- https://radiomed.ru/sites/default/files/styles/case_slider_image/public/user/12/5.A.Sh_..jpg?itok=r0Ebvq65
- https://radiomed.ru/sites/default/files/styles/case_slider_image/public/user/12/6.A.Sh_..jpg?itok=xsJ4gYNX
- https://radiomed.ru/sites/default/files/styles/case_slider_image/public/user/12/7.A.Sh_..jpg?itok=oELufBM5
ID:220
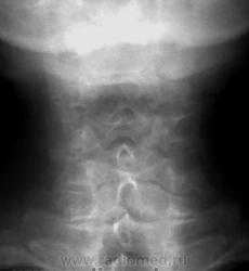
Остеохондроз, спондиллоартроз, протрузия МПД С5-С6 кзади. Что Вас смущает на этих снимках? Игра теней на уровне С6(прямой снимок)?
Красота - гормон карьерного роста!
Добавлены изображения.
В теле С5 поперечное посветление в боковой, видимо и в прямой проекции.
Какие, однако тени "игручие"?
Субъективно, воспринимаю участок, помеченный желтыми стрельками, как более поротичный в сравнении с аналогичными участками в других позвонках.
Согласен с О.Д. А прямые снимки можно делать лежа с отклонением центр. луча под углом 15 град. краниально, центровать также, на щитовидный хрящ, очень будет красиво. Можно даже стоя, но не у всех аппаратов в вертикальном положении угломер работает.
Андрей Юрьевич
Разглядываю эти снимки уже в 20й раз. Насколько удалось разглядеть - несращение дужки С5+артроз? меджду боковыми массами С5-6. Больше по этим снимкам разглядеть невозможно
Красота - гормон карьерного роста!
Неоартроз+склероз обусловили линейные тени в проекции тела С5.
Красота - гормон карьерного роста!
https://www.youtube.com/channel/UCBGxoBUOqUT_bFhSeUgtWEw
Переспав с мыслью родилась идея. Ведь пергрузочная болезнь может возникать и в телах позвонков. В теле С5 в данном случае зона просветления, которая не персекает полностью тело позвонка, а опоясывает, развиваясь под надкостницей. Края ее ровные, как бы поясок вокруг тела.Плотность тела позвонка увеличена, вероятно за счет компенсаторного капиллярного кровотока вокруг зоны перестройки. В данном случае, перегрузочная болезнь, вероятно, возникла как компенсаторный процесс в ответ на изменение оси нагрузки, либо, еще в молодом возрасте.как Признаю, игра теней и артроз не в тему.
Источник - Книга проф. ПолежаеваВ.Г., Украинская военно-мед академия, "Стрессовые переломы", Киев, 2003.
Красота - гормон карьерного роста!
Если первичный вопрос , есть ли аномалия развития тела позвонка, то я аномалии не вижу. Хочется по прямой проекции указать на С7 как бабочковидный, но не тянет. Мое мнение, что здесь сугубо дегенеративные изменения. А мнение автора?
https://www.youtube.com/channel/UCBGxoBUOqUT_bFhSeUgtWEw
На теле С5 вероятно изображение унко-вертебрального артроза. Это его законное место. В прямой проекции вообще толком ничего не видно. Снимки очень неважные. Почему ваши лаборанты так широко раскрыли диафрагму? Качество очень страдает. Если есть сомнения в бабочковидном позвонке, можно сделать прямую томограмму.
Валентин Львович, то, что Вы пометили желтыми стрелками, изображения оснований поперечных отростков, они есть и в других позвонка. Снизу идут ножки дуг, которые накладываются на задние отделы тел и их плотные контуры делают визуально верхний угол тела более прозрачным. Это игра теней.
Nela!
Вы совершенно правы. Но "желтые стрелочки" оживили дискуссию, а для меня - это наиболее Важно.
А что ретролистеза С5 нет?
Ну, вот! А я "купилась" на желтые стрелочки. Вы тактик, Валентин Львович.
Попробуйте провести линию по задним поверхностям тел позвонков через эти точки. Картина несколько другая. задние костные разрастания С5-С6 не должны учитываться при разметке.
Провел. Провел правильно или нет?
Огромное спасибо, коллегам за содеражательные комметарии и внимание к этому наблюдению.С благодарностью принимаю все критические замечания.
Для Goncharovakuraeva : я изменения описал как дистрофические, а посветление в теле С5, предположительно расценил как дисластические (типа фиброзной прослойки в теле позвонка).
Для Nela: я то же рассмтривал версию, что просветление в теле С5, за счёт унковертебрального артроза, но мне представляеться, что в последенем случае картина, несколько иная.
С уважением Александр Морозов.
Благодарю за ответ.
https://www.youtube.com/channel/UCBGxoBUOqUT_bFhSeUgtWEw
Жёлтенькая линия мне больше нравиться, Валентин Львович!
Ну, Вы на меня не обижайтесь, но я задам Вам еще несколько вопросов по данному случаю, отнюдь не с провокационной точки зрения, а с точки зрения Вашего общения с "вертебральной патологией". На мой взгляд (лично для меня), этот случай очень интересен, несмотря на качество изображений.
Линейное просветление горизонтального характера есть аномалия развития...просто в шейном отделе сие встречается крайне редко, чаще в груднои или плясничном, а фактически - канал артерии...
"Согласно исследованиям Broman, Keyes и Compere, Bradford и Spur-ling, у человеческого эмбриона 5 недель клетки, окружающие хорду, разделяются межсегментарными артериями на сегменты — склеротомы.. В дальнейшем клетки склеротомов, располагающиеся вблизи межсегментарных артерий, дифференцируются в позвонок, а удаленные от них — в межпозвоночный диск. Это приводит к тому, что происходит пересегментировка позвонков — если на более ранней стадии развития межсегментарные артерии разделяли склеротомы, то в дальнейшем они соответствуют середине тела позвонка."
Предложенные ранее классификации аномалий развития позвоночника не охватывали всех видов аномалий и не касались генеза их. Современным представлениям отвечает классификация В. А. Дьяченко, построенная по морфо-генетическому принципу.
Классификация аномалий развития позвоночника по В. А. Дьяченко
I. Аномалии онтогенетического значения
1. Аномалии развития тел позвонков
щели и дефекты в теле позвонка
клиновидные позвонки (боковые)
клиновидные позвонки (задние)
отсутствие развития тела позвонка (асома)
платиспондилия и микроспондилия
2. Аномалии развития дужек позвонков
щели дужек позвонков
недоразвитие половины дужки
аномалия развития отростков
аномалии развития в интерартикулярном пространстве
дужки (спондилолиз)
3. Аномалии развития смешанного характера
аномалии сегментации: 1) целых отделов (синдром Клиппеля—Фейля); 2) локальные, распространяющиеся на соседние позвонки блокирования
недоразвитие отделов позвоночника
недоразвитие отдельных позвонков
II. Аномалии филогенетического значения
1. Аномалии в черепно-шейной границе
ассимиляции атланта
манифестации атланта
2. Аномалии в шейно-грудной границе
дорсализация нижних шейных позвонков (шейные ребра)
цервикализация I грудного позвонка (агенезия первой пары ребер)
3. Аномалии в пояснично-крестцовой границе
сакрализация
люмбализация
4. Аномалии в крестцово-копчиковой границе (типы ассимиляций)
http://ortodoc.ru/category/ortopediya/razvitie-pozvonochnika
Болезни ног: виды, симптомы, причины, профилактика и лечение
Щель то щелью, но она должна располагаться посредине тела, а здесь несколько смещена каудально. Кроме того, если в грудном и поясничном отделах сосудистая щель или канал встречаются очень часто, то в шейных позвонках не разу не видела.
Это моя мысль и я постарвлся ее аргументировать, но я не всезнающий, могу и ошибаться. Для того и дисскусия, чтобы выяснить истину.
Поверьте, Nela, только в этом году на аномальных артериях нами было очень много копий сломано в бюро судебной медицины...они бывают там, где и предположить трудно...в этом свете к вам вопрос - как часто бывают локальные утолщения костей свода черепа и как часто в этих утолщениях встречаются внутрикрстные, достаточно крупного калибра (до 2,0-2,5 мм в Д) питающие артерии, кторые, естественно, на обзорных краниограммах дадут локальное линейное просветление? Заметьте, я не имею ввиду оболочечные артерии, только внутрикостные.
Жаль, что снимки у меня только на телефоне, качество не очень. Но если Вас заинтересует - выставлю.
Болезни ног: виды, симптомы, причины, профилактика и лечение
Сосудистые борозды и каналы костей черепа очень вариабельны. Неравномерность толщины костей черепа также правило, и экзостозы, особенно в лобной кости и в пожилом возрасте встречаются часто. Насчет артерий диаметра 2-2,5 мм никогда не слышала. Может это все-таки вены? Как Вы их определили, что это артерии? Я правильно поняла, что речь не идет об ангиографии? Если можно, покажите снимки.
Я оговорился - правильнее будет сказать - каналы сосудов,Вы правы, ведь информация была получена только по краниограммам да обычной СКТ. Снимки постараюсь подготовить (что есть), ведь основное все в судебных архивах, туда просто так не пойдешь...не попросишь...
Болезни ног: виды, симптомы, причины, профилактика и лечение
stovbav:
"Жаль, что снимки у меня только на телефоне, качество не очень. Но если Вас заинтересует - выставлю."
Конечно, выставляйте! Только, желательно, отдельным сообщением.
Снимки на работе...у меня несколько архивов. на телефон снимаю давно, но там часто динамическая нерезкость. Если все подберу - выставлю отдельным сообщением (одностороннее локальное утолщение височной кости с наличием внутри аномальной толщины сосуда).
Болезни ног: виды, симптомы, причины, профилактика и лечение
Заранее спасибо.
У меня, то же была мысль, что посетление в теле позвонка. возможно за счёт канала питающего сосуда. но там (книга И.П.Королюка) картинка не совсем такая, так как в последнем случае, борозда начинаеться с заденго края тела позвонка, данном случае мы этого не видим ( жаль пока не могу вставлять картинки в посты).
Щелевидный дефект (или линейное горизонтальное просветление) ничем больше не обьяснить, как наличием сосуда...что касаемо корифеев, так на то оно и корифеи, чтобы строить дом, а мы - практики - чтобы в нем щели латать...оставшиеся после строителей...при всем к НИМ уважении...снимем шляпы, но оставим головы...
...
Болезни ног: виды, симптомы, причины, профилактика и лечение
По всей видимости, о "питающем" сосуде или о его канале говорить нереально, так как для этого необходимо высокоструктурное изображение.
По данным снимкам сие недоказуемо. Надо делать лин. томографию.
Или антеградного смещения С6?
Красота - гормон карьерного роста!
А это КАК? Вы шутите...или так считаете?
Болезни ног: виды, симптомы, причины, профилактика и лечение