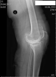
Пациентка 81 года, в анамнезе 45 лет назад, грубая травма колена ( упала с мотоцикла при движении последнего),накануне повторная травма коленного сустава (падение на колено) .Как описать находки на R -грамме и что является субстратом изменений?
+ пателло-феморальный артроз, + хондроматозные тела в верхнем завороте, +, конечно, остеопороз. Под стрелкой место не нравится на предмет краевого перелома экзостоза. А упала снова с мотоцикла?)))
+ пателло-феморальный артроз, + хондроматозные тела в верхнем завороте, +, конечно, остеопороз. Под стрелкой место не нравится на предмет краевого перелома экзостоза. А упала снова с мотоцикла?)))
Мне бы то же было бы интересно, но пока других мнений нет. Может быть, вы правы, как альтернатива вашей версии- метаплазия внутирисуставных мягких тканей в костную ткань, но у меня нет опыта в этом вопросе.
Сегодня разговаривал с дочерью пациентки ( она наша рентгенолаборант) , с её слов всё нормально, мать ходит; я полагаю, что если бы был перелом экзостоза- это едва ли было бы возможно.
Пациентка 81 года, в анамнезе 45 лет назад, грубая травма колена ( упала с мотоцикла при движении последнего),накануне повторная травма коленного сустава (падение на колено) .Как описать находки на R -грамме и что является субстратом изменений?
ДОА 3.Резкое сужение суставной щели, грубые остеофиты.
+ пателло-феморальный артроз, + хондроматозные тела в верхнем завороте, +, конечно, остеопороз. Под стрелкой место не нравится на предмет краевого перелома экзостоза. А упала снова с мотоцикла?)))
С уважением,
А упала снова с мотоцикла?)))
-----------------------------------------------------------------------------------------------------------------------------------------------------------------
Нет, не с мотоцикла, бабаушка- "божий одуванчик", падение дома на колено.
По стрелке- очень даже похоже.
+ хондроматозные тела в верхнем завороте
----------------------------------------------------------------------------------------------------------------------------------------------
Алексей Станиславович, вы считаете, что в верхнем завороте ходроматозные тела?
Вот это я расценил так. Могут быть другие мнения, было бы интересно послушать))).
С уважением,
"Могут быть другие мнения, было бы интересно послушать)))."
------------------------------------------------------------------------------------------------------------------------------------------------------------------------------
Мне бы то же было бы интересно, но пока других мнений нет. Может быть, вы правы, как альтернатива вашей версии- метаплазия внутирисуставных мягких тканей в костную ткань, но у меня нет опыта в этом вопросе.
"Под стрелкой место не нравится на предмет краевого перелома экзостоза."
-------------------------------------------------------------------------------------------------------------------------------------------------------------
Сегодня разговаривал с дочерью пациентки ( она наша рентгенолаборант) , с её слов всё нормально, мать ходит; я полагаю, что если бы был перелом экзостоза- это едва ли было бы возможно.