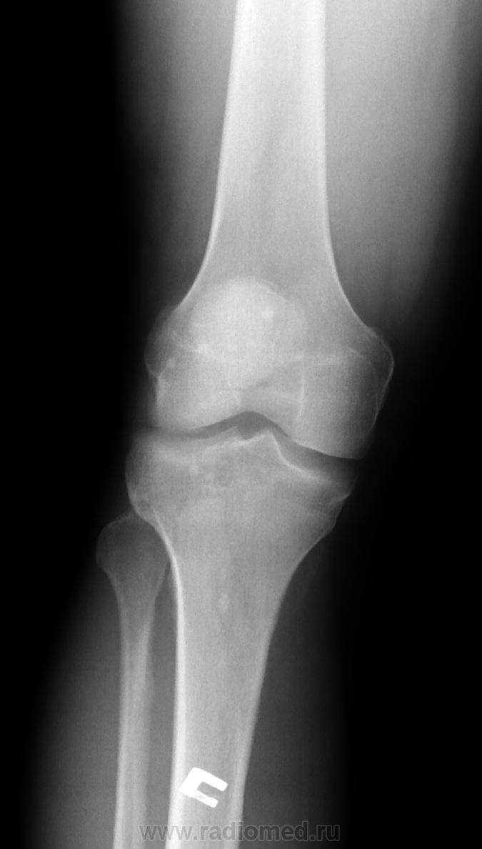
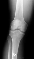
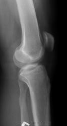
Пол пациента: Мужской пол Тип патологии: Травма Область исследования: Скелетно-мышечная система Методы исследования: Rg Травма, 50 лет, падение на колено, хирург искал перелом надколенника. Что за очаги оссификации? https://radiomed.ru/sites/default/files/styles/case_slider_image/public/user/17212/3.jpg?itok=ZOARUHOu https://radiomed.ru/sites/default/files/styles/case_slider_image/public/user/17212/4.2.jpg?itok=FzC0cneJ https://radiomed.ru/sites/default/files/styles/case_slider_image/public/user/17212/4.jpg?itok=jE1z60Rz ID:28343 Thu, 02/05/2013 - 13:17 #1 И.Бондаренко Offline Last seen: 13 hours 12 min ago Joined: 13.09.2011 - 22:55 Posts: 9206 Возможно обычная остеопойкилия. Thu, 02/05/2013 - 22:30 #2 Almo Offline Last seen: 18 hours 5 min ago Joined: 28.09.2008 - 18:50 Posts: 8259 +1.
Возможно обычная остеопойкилия.
+1.