You are here

Боли в нижней трети голени.

Пол пациента: 
Тип патологии: 
Область исследования: 
Методы исследования: 

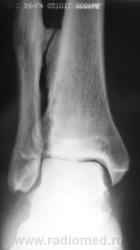
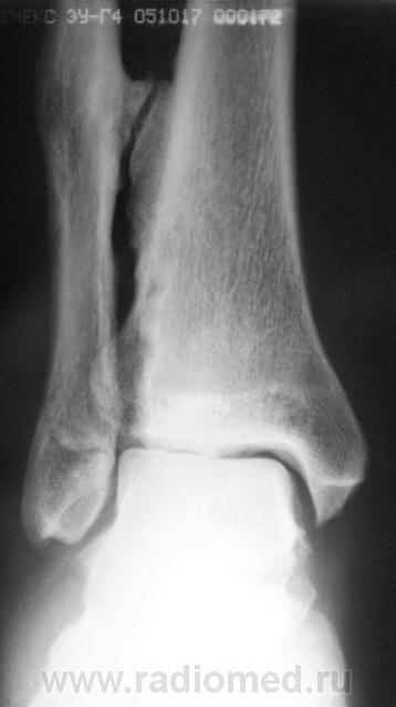
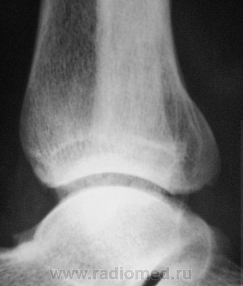
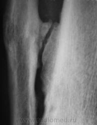
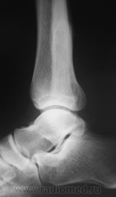
Пациент, в течение последних 2-х лет, жалуется на боли в нижней трети голени. Сегодня, хирургом, пациентка направлена на рентгенографию костей дистальной трети голени и голеностопного сустава. Что посоветуете уважаемые коллеги?

  • https://radiomed.ru/sites/default/files/styles/case_slider_image/public/user/12/2.KITO_.jpg?itok=2_8h9NZX
  • https://radiomed.ru/sites/default/files/styles/case_slider_image/public/user/12/3.KITO_.JPG?itok=bPpcd5z-
  • https://radiomed.ru/sites/default/files/styles/case_slider_image/public/user/12/4.KITO_.jpg?itok=dK-NoL6w
  • https://radiomed.ru/sites/default/files/styles/case_slider_image/public/user/12/5.KITO_.jpg?itok=uNgWzmLT
ID:245
lupan's picture
Offline
Last seen: 7 years 2 months ago
Joined: 07.01.2010 - 17:17
Posts: 1406

А что здесь советевать? Межберцовый неоартроз, вероятно, травматического генеза. Косой перелом н/л с признаками неполной консолидации. Попробуйте при производстве боковых снимков г/ст с-ва ( при травме) приподнимать пятку на 2-3 см.

Великое преймущество врача заключается в том, что он не обязан следовать собственным советам. ( А. Кристи)

Катенёв Валентин Львович's picture
Offline
Last seen: 7 years 4 months ago
Joined: 22.03.2008 - 22:15
Posts: 54876

А, если, предположить, что травмы (переломов) не было? Тогда как?

 

Приложения: 
1.ESLI_...jpg2.ESLI_...jpg
Иринка's picture
Offline
Last seen: 11 years 9 months ago
Joined: 16.11.2009 - 22:14
Posts: 190

Неоартроз между экзостозами? А что это за вздутие м/б кости на уровне неоартроза и пятнистость наружного кортикала? Следствие хронической воспалительной реакции?

Катенёв Валентин Львович's picture
Offline
Last seen: 7 years 4 months ago
Joined: 22.03.2008 - 22:15
Posts: 54876

Соглашусь с Вами по поводу экзостозов.

ЛГ's picture
Offline
Last seen: 9 years 2 months ago
Joined: 06.01.2010 - 12:31
Posts: 3523

хронический остеомиелит

Катенёв Валентин Львович's picture
Offline
Last seen: 7 years 4 months ago
Joined: 22.03.2008 - 22:15
Posts: 54876

Здравствуйте коллега!

А, на основании чего остеомиелит?

ЛГ's picture
Offline
Last seen: 9 years 2 months ago
Joined: 06.01.2010 - 12:31
Posts: 3523

Доброй ночи! Разволокнение коркового слоя, нечеткий очаг деструкции. Правда, нет секвестра. Если на увеличении не пригрезилось, то и линейный периостит. Вообще-то ответ был интуитивный, без логических обоснований. Ошиблась?

Наталия's picture
Offline
Last seen: 8 years 11 months ago
Joined: 30.07.2008 - 13:24
Posts: 538

Какая-то непонятная структура костной ткани в области задней лодыжки.

ЛГ's picture
Offline
Last seen: 9 years 2 months ago
Joined: 06.01.2010 - 12:31
Posts: 3523

Наталия wrote:

Какая-то непонятная структура костной ткани в области задней лодыжки.

Некоторая порозность, вероятно, нарушение трофики

Наталия's picture
Offline
Last seen: 8 years 11 months ago
Joined: 30.07.2008 - 13:24
Posts: 538

В области внутренней лодыжки тоже пороз.