You are here

"Такая флюорограмма..." или "Ну. что сказать, ну, что сказать..."

Пол пациента: 
Методы исследования: 

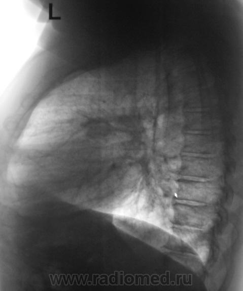
Начало 2008 года. При расшифровке флюорограмм, пациента "взяли на контроль", заподозрили периферический рак левого лёгкого (по "прямой" флюорограмме). Вроде-бы все правильно и логично?

СЕРИЯ 2.


СЕРИЯ 3.

  • https://radiomed.ru/sites/default/files/styles/case_slider_image/public/user/12/2.T.FLYuOR.jpg?itok=YEmjsO7D
  • https://radiomed.ru/sites/default/files/styles/case_slider_image/public/user/12/21.Dinamika..JPG?itok=ebEllXN8
  • https://radiomed.ru/sites/default/files/styles/case_slider_image/public/user/12/22.Dinamika..JPG?itok=Kmk7adv4
  • https://radiomed.ru/sites/default/files/styles/case_slider_image/public/user/12/23.Dinamika..JPG?itok=b04HFRwC
  • https://radiomed.ru/sites/default/files/styles/case_slider_image/public/user/12/24.Dinamika..JPG?itok=o1_Rccty
  • https://radiomed.ru/sites/default/files/styles/case_slider_image/public/user/12/25.Dinamika.jpg?itok=KDoN2h4h
  • https://radiomed.ru/sites/default/files/styles/case_slider_image/public/user/12/26.Dinamika..JPG?itok=7FdlnaWK
  • https://radiomed.ru/sites/default/files/styles/case_slider_image/public/user/12/27.Dinamika..jpg?itok=LBEyhLJ9
  • https://radiomed.ru/sites/default/files/styles/case_slider_image/public/user/12/28._Dinamika..JPG?itok=WSnQD256
  • https://radiomed.ru/sites/default/files/styles/case_slider_image/public/user/12/29_dinamika..JPG?itok=PWb3DKf-
  • https://radiomed.ru/sites/default/files/styles/case_slider_image/public/user/12/3.1.Seriya.JPG?itok=c7i8t993
  • https://radiomed.ru/sites/default/files/styles/case_slider_image/public/user/12/3.2.Seriya.JPG?itok=gYjge8Gm
  • https://radiomed.ru/sites/default/files/styles/case_slider_image/public/user/12/3.3.Seriya.JPG?itok=1pVlItWc
  • https://radiomed.ru/sites/default/files/styles/case_slider_image/public/user/12/3.4.Seriya.JPG?itok=v96T4OD6
  • https://radiomed.ru/sites/default/files/styles/case_slider_image/public/user/12/3.5.Seriya.JPG?itok=mZec-Lkt
  • https://radiomed.ru/sites/default/files/styles/case_slider_image/public/user/12/3.6.Seriya.JPG?itok=qesEATiP
  • https://radiomed.ru/sites/default/files/styles/case_slider_image/public/user/12/3.7.Seriya.JPG?itok=f0mP_iUm
  • https://radiomed.ru/sites/default/files/styles/case_slider_image/public/user/12/3.8.Seriya.JPG?itok=IheP673-
  • https://radiomed.ru/sites/default/files/styles/case_slider_image/public/user/12/3.9.Seriya.JPG?itok=fOYMp6zQ
  • https://radiomed.ru/sites/default/files/styles/case_slider_image/public/user/12/3.10.Seriya.JPG?itok=xgZJXKx3
  • https://radiomed.ru/sites/default/files/styles/case_slider_image/public/user/12/3.11.Seriya..JPG?itok=1IbgeO3d
ID:282
Иринка's picture
Offline
Last seen: 11 years 10 months ago
Joined: 16.11.2009 - 22:14
Posts: 190

Похоже,что за тенью сердца тоже есть округлое образование и в хвостовой части правого корня , вполне возможно, что метастазы.

ЛГ's picture
Offline
Last seen: 9 years 3 months ago
Joined: 06.01.2010 - 12:31
Posts: 3523

Несимметричная укладка, скиалогическая игра на 1 ребре справа и слева тоже на ребрах. У меня нет ощущения онкологии и мтс.

Катенёв Валентин Львович's picture
Offline
Last seen: 7 years 5 months ago
Joined: 22.03.2008 - 22:15
Posts: 54876

Но мы, пациента дообследовали, рентгенография и томография (аналоговая), высказали мнение о наличии "опухолевого роста" и рекомендовали консультацию онколога, и пациент "поехал" туда, куда послали. Снимков (тех первых) предоставить не могу, остались там, куда "послали". Выписка "рекомендовала" понаблюдать....

ЛГ's picture
Offline
Last seen: 9 years 3 months ago
Joined: 06.01.2010 - 12:31
Posts: 3523

Значит это не игра теней на 1 ребре справа. А на 7 ребре слева уплотнение тоже исследованы? Если рекомендовано понаблюдать, значит, онкологи и сами не были уверены. А что было в результате наблюдения в динамике?

Катенёв Валентин Львович's picture
Offline
Last seen: 7 years 5 months ago
Joined: 22.03.2008 - 22:15
Posts: 54876

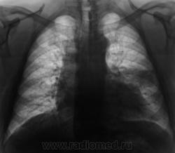
В апреле 2009 года пациент пришел "для динамического наблюдения" - серия 2.

Катенёв Валентин Львович's picture
Offline
Last seen: 7 years 5 months ago
Joined: 22.03.2008 - 22:15
Posts: 54876

Добавлены изображения.

lupan's picture
Offline
Last seen: 7 years 3 months ago
Joined: 07.01.2010 - 17:17
Posts: 1406

А рак знай себе растет...

Великое преймущество врача заключается в том, что он не обязан следовать собственным советам. ( А. Кристи)

Катенёв Валентин Львович's picture
Offline
Last seen: 7 years 5 months ago
Joined: 22.03.2008 - 22:15
Posts: 54876

lupan:

"А рак знай себе растет..."

Катенёв Валентин Львович's picture
Offline
Last seen: 7 years 5 months ago
Joined: 22.03.2008 - 22:15
Posts: 54876

После повторного дообследования (апрель 2009 г) - 2 серия изображений, мы были твердо уверены, что пациент взят на учет..., но не тут-то было. В пятницу рентгенолаборант флюорографа попросил подойти и "глянуть снимок"...

Оказывается "данный" пациент направлен для прохождения профилактической флюорографии..., так как надо было поменять водительские права...?

Вот флюорограммы.

 

 

Приложения: 
1.Dumali.JPG2._Demali.jpg
lupan's picture
Offline
Last seen: 7 years 3 months ago
Joined: 07.01.2010 - 17:17
Posts: 1406

Очень интересно, и каковы Ваши дальнейшие действия?

Великое преймущество врача заключается в том, что он не обязан следовать собственным советам. ( А. Кристи)

Катенёв Валентин Львович's picture
Offline
Last seen: 7 years 5 months ago
Joined: 22.03.2008 - 22:15
Posts: 54876

1. Прежде всего, я побеседовал с гражданином и "выяснил", что ему сказали и "посоветовали" в высоком специализированном лечебном учреждении.

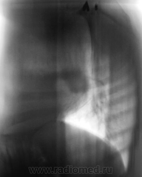
2. Конечно, мы на свой страх и риск, произвели дообследование, согласно стандарту. Итог дообследования представлен в серии 3.

ЛГ's picture
Offline
Last seen: 9 years 3 months ago
Joined: 06.01.2010 - 12:31
Posts: 3523

Великолепный материал, огромное спасибо! И поучительно, и вся динамика представлена

Катенёв Валентин Львович's picture
Offline
Last seen: 7 years 5 months ago
Joined: 22.03.2008 - 22:15
Posts: 54876

Как говорят в Одессе - "Вы сильно не правы!"

Я поинтересовался у пациента, по поводу консультации в высоком учреждении.

Было сказано, что "У Вас ничего нет, Вам просто надо бросить курить". НА УЧЕТ ПАЦИЕНТ НЕ ПОСТАВЛЕН, ДИАГНОЗ ТАКЖЕ НЕ ПОСТАВЛЕН.

Вот как.

ЛГ's picture
Offline
Last seen: 9 years 3 months ago
Joined: 06.01.2010 - 12:31
Posts: 3523

Ошибаются везде, и сельской амбулатории, и в крупных центрах. Вы в заключении написали "периферический рак"?

stovbav's picture
Offline
Last seen: 2 years 7 months ago
Joined: 20.12.2009 - 17:28
Posts: 7066

Все признаки периферического рака...."расти" так может и лет пять...пока репу в диспансере будут чесать...

Катенёв Валентин Львович's picture
Offline
Last seen: 7 years 5 months ago
Joined: 22.03.2008 - 22:15
Posts: 54876

"Ошибаются везде, и сельской амбулатории, и в крупных центрах. Вы в заключении написали "периферический рак"?"

 

В заключении, именно однозначно, выставлен данный диагноз, изображения и все необходимое записано на диск. Это не ошибка для ООД. В ООД такой ошибки быть не может, ибо это специализированное учреждение.  Кстати, это, как Вы понимаете, случай не единичный.

Катенёв Валентин Львович's picture
Offline
Last seen: 7 years 5 months ago
Joined: 22.03.2008 - 22:15
Posts: 54876

Выставить данный случай, меня "сподобило" сообщение нашего коллеги   stovbav -

 

http://www.radiomed.ru/blogs/stovbav/zadne-naklonnaya-pr

stovbav's picture
Offline
Last seen: 2 years 7 months ago
Joined: 20.12.2009 - 17:28
Posts: 7066

Катенёв Валентин Львович wrote:

Выставить данный случай, меня "сподобило" сообщение нашего коллеги   stovbav -

 

http://www.radiomed.ru/blogs/stovbav/zadne-naklonnaya-pr

Не смея никоим образом обидеть множество колег работающих в разных учереждениях, в том числе и специализированых, приведу в пример слова моего учителя, РЕНТГЕНОЛОГА с большой буквы Зерова Константина Леоньевича ;"В.Г. - если в диспансерее нашли рак - сомневайся, если исключили - ищи подтверждение", все дело в так называемой текучке и "замыливании" глаз, неодооценке ситуации и "картинки" . Это целая проблема, а имя ей КАДРЫ и ТВОРЧЕСКАЯ РАБОТА (возможность таковой). А мы где работаем? - на КОНВЕЕРЕ и имя ему - больница (какая - не суть важно...)

aster21's picture
Offline
Last seen: 7 years 2 weeks ago
Joined: 25.06.2014 - 14:46
Posts: 386

Валентин Львович, можно снимки взять для презентации в узком кругу ?

Катенёв Валентин Львович's picture
Offline
Last seen: 7 years 5 months ago
Joined: 22.03.2008 - 22:15
Posts: 54876

Можно.