You are here

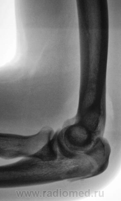
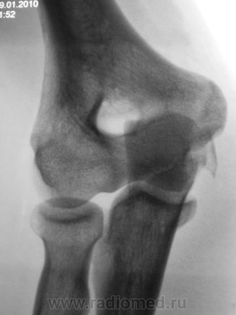
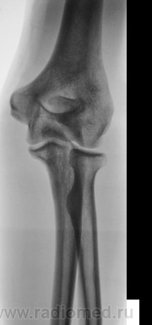
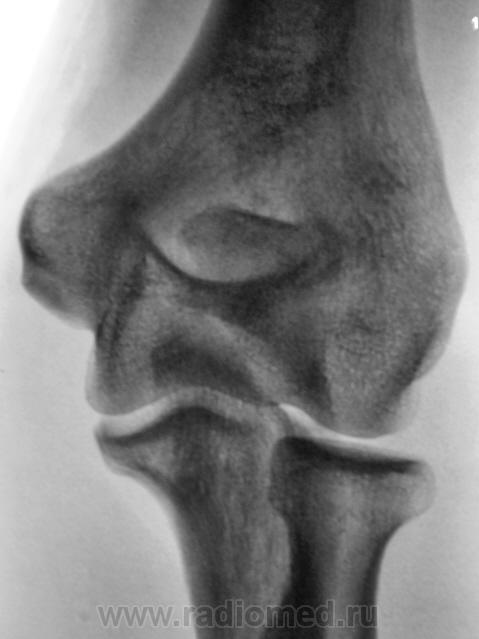
Травма. Пациент направлен на рентгенографию локтевого сустава.

Пол пациента: 
Тип патологии: 
Область исследования: 
Методы исследования: 

Травма.     Пациент направлен на рентгенографию локтевого сустава.

 

  • https://radiomed.ru/sites/default/files/styles/case_slider_image/public/user/12/2.1._L.S..jpg?itok=SQg_tLpK
  • https://radiomed.ru/sites/default/files/styles/case_slider_image/public/user/12/3.1._L.S..jpg?itok=kcdIoZtR
  • https://radiomed.ru/sites/default/files/styles/case_slider_image/public/user/12/4.1._L.S..jpg?itok=3z9ZzHEH
  • https://radiomed.ru/sites/default/files/styles/case_slider_image/public/user/12/5.1._L.S..JPG?itok=I8kw12Zs
  • https://radiomed.ru/sites/default/files/styles/case_slider_image/public/user/12/6.1.L.S..JPG?itok=snPgQIyK
  • https://radiomed.ru/sites/default/files/styles/case_slider_image/public/user/12/7.1.L.S..jpg?itok=Fw4WvnjS
  • https://radiomed.ru/sites/default/files/styles/case_slider_image/public/user/12/8.1.L.S..JPG?itok=PCWbrbKb
ID:437
Vega's picture
Offline
Last seen: 1 month 2 weeks ago
Joined: 22.01.2009 - 19:16
Posts: 1087

Перелом локтевого отростка - на операцию

Катенёв Валентин Львович's picture
Offline
Last seen: 7 years 2 months ago
Joined: 22.03.2008 - 22:15
Posts: 54876

А как Вы считаете коллега, как травматолог, косые проекции, в данном конкретном случае, "принесли" какую-то дополнительную информацию?

Vega's picture
Offline
Last seen: 1 month 2 weeks ago
Joined: 22.01.2009 - 19:16
Posts: 1087

Если рассуждать с точки зрения только диагностики перелома - нет, так как перелом хорошо виден и на стандартных проекциях. С точки зрения дальнейшей лечебной тактики - да. Так как косые проекции выявили безусловную необходимость оперативного лечения.

Катенёв Валентин Львович's picture
Offline
Last seen: 7 years 2 months ago
Joined: 22.03.2008 - 22:15
Posts: 54876

Спасибо за ответ.