You are here

Мужчина 36 лет, рентгеногафия и КТ грудной полости.

Пол пациента: 

Жалобы на субфебрильную температуру, боли в грудной клетке справа, слабость, похудание. ФГ 10 месяцев назад - норма.

Прошу коллег высказать свои мнения. Случай верифицирован.

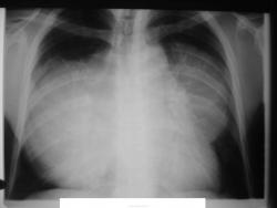
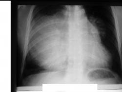
Снимки от 18.08.09

 

 

   

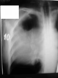
Снимки 28.08.09

  

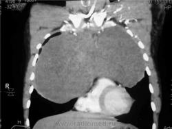
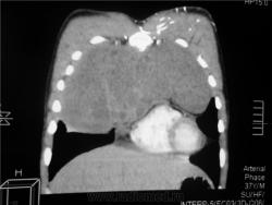
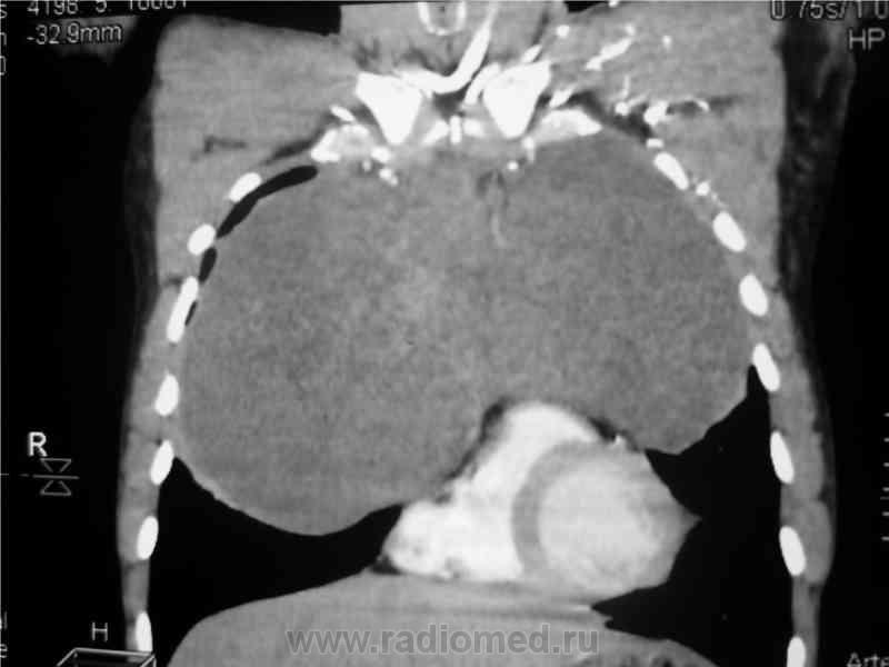
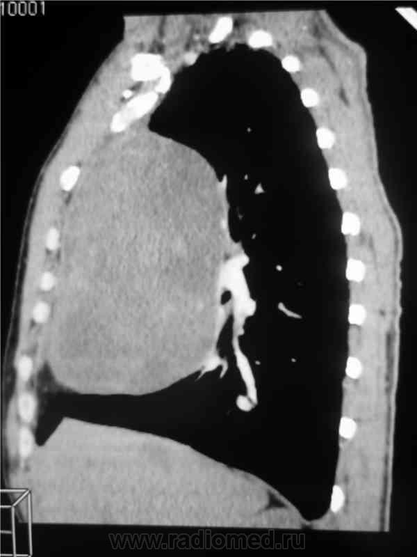
КТ август 2009.

   

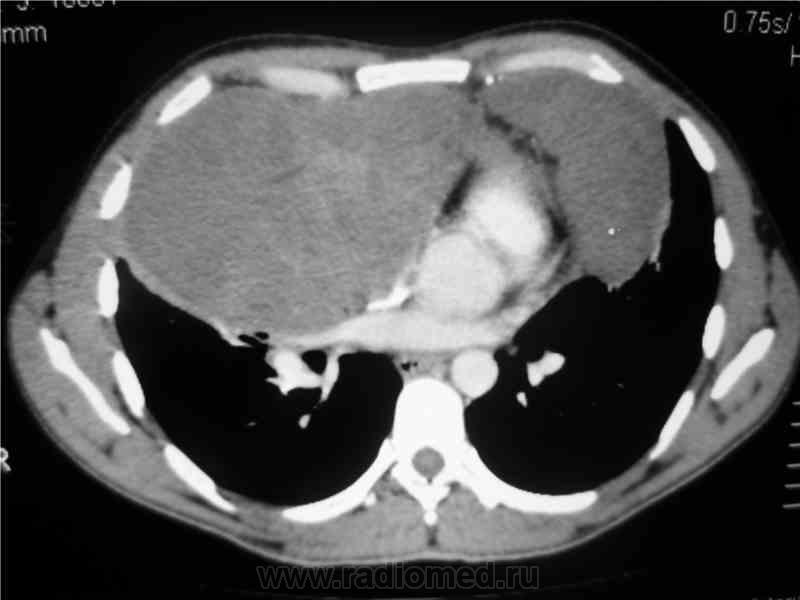
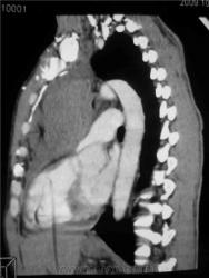
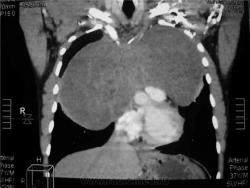
КТ контроль октябрь 2009

 

 К сожалению после долгих скитаний по различным мед учереждениям были утеряны ФГ и первый снимок от 14.07 09.

 Выглядел R-снимок 14.07.09 примерно так

Интенсивное, однородное затемнение в средних отделах справа, слева норма - мною был заподозрен м/долевой плеврит, пациент был направлен в областной центр торакальной хирургии. Затем онкодиспансер, затем институт рака в Киеве. Результат гистологии тератобластома средостения. 2 курса химиотерапии контрольное КТ в октябре - отрицательная динамика.

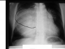
Р-графия от 30.11.09

В начале 2010 года пациент умер.

 

 

 

  • https://radiomed.ru/sites/default/files/styles/case_slider_image/public/user/166/2r_18_08_81.JPG?itok=TgguO0m9
  • https://radiomed.ru/sites/default/files/styles/case_slider_image/public/user/166/1r_05_08_76_0.JPG?itok=MuaRxVtv
  • https://radiomed.ru/sites/default/files/styles/case_slider_image/public/user/166/1r_05_08_77.JPG?itok=WkrVNFHG
  • https://radiomed.ru/sites/default/files/styles/case_slider_image/public/user/166/3r_28_08_84.JPG?itok=gN_rGGND
  • https://radiomed.ru/sites/default/files/styles/case_slider_image/public/user/166/3r_28_08_85.JPG?itok=Ct77uecc
  • https://radiomed.ru/sites/default/files/styles/case_slider_image/public/user/166/kt_aug12_1.jpg?itok=9TmfUSLC
  • https://radiomed.ru/sites/default/files/styles/case_slider_image/public/user/166/kt_aug13_0.jpg?itok=fEuikNKY
  • https://radiomed.ru/sites/default/files/styles/case_slider_image/public/user/166/kt_aug14_0.jpg?itok=jFDYE-ks
  • https://radiomed.ru/sites/default/files/styles/case_slider_image/public/user/166/kt_aug15_0.jpg?itok=Vn7QyZLC
  • https://radiomed.ru/sites/default/files/styles/case_slider_image/public/user/166/kt_aug16_0.jpg?itok=VOr7bzEf
  • https://radiomed.ru/sites/default/files/styles/case_slider_image/public/user/166/kt_okt1.JPG?itok=f9hSsUEw
  • https://radiomed.ru/sites/default/files/styles/case_slider_image/public/user/166/kt_okt2.JPG?itok=_FLeKIWj
  • https://radiomed.ru/sites/default/files/styles/case_slider_image/public/user/166/kt_okt3.JPG?itok=t4iGNBCd
  • https://radiomed.ru/sites/default/files/styles/case_slider_image/public/user/166/kt_okt4.JPG?itok=Tcsui_mB
  • https://radiomed.ru/sites/default/files/styles/case_slider_image/public/user/166/kt_okt5.JPG?itok=gZRhlsAc
  • https://radiomed.ru/sites/default/files/styles/case_slider_image/public/user/166/kt_okt6.JPG?itok=13VWROCk
  • https://radiomed.ru/sites/default/files/styles/case_slider_image/public/user/166/kt_okt_7.jpg?itok=TH2LGlqV
  • https://radiomed.ru/sites/default/files/styles/case_slider_image/public/user/166/kt_okt8.jpg?itok=Z7d78gLR
  • https://radiomed.ru/sites/default/files/styles/case_slider_image/public/user/166/kt_okt9.jpg?itok=NjfpBXQM
  • https://radiomed.ru/sites/default/files/styles/case_slider_image/public/user/166/kt_okt10.jpg?itok=cJ1mAlaJ
  • https://radiomed.ru/sites/default/files/styles/case_slider_image/public/user/166/kt_okt11.jpg?itok=7ZSWo2aW
  • https://radiomed.ru/sites/default/files/styles/case_slider_image/public/user/166/kt_okt_12.jpg?itok=uCh978xy
  • https://radiomed.ru/sites/default/files/styles/case_slider_image/public/user/166/kt_okt13.jpg?itok=J7Ahy1zO
  • https://radiomed.ru/sites/default/files/styles/case_slider_image/public/user/166/kt_okt14.jpg?itok=Jm0VLJxz
  • https://radiomed.ru/sites/default/files/styles/case_slider_image/public/user/166/kt_okt15.jpg?itok=WDHorMXF
  • https://radiomed.ru/sites/default/files/styles/case_slider_image/public/user/166/kt_okt16.jpg?itok=bIwT7vX5
  • https://radiomed.ru/sites/default/files/styles/case_slider_image/public/user/166/kt_okt17.jpg?itok=V4JRpV0e
  • https://radiomed.ru/sites/default/files/styles/case_slider_image/public/user/166/kt_okt18.jpg?itok=4F31GdNk
  • https://radiomed.ru/sites/default/files/styles/case_slider_image/public/user/166/kt_okt19.jpg?itok=fEwu1z1a
  • https://radiomed.ru/sites/default/files/styles/case_slider_image/public/user/166/2r_14_07_79.JPG?itok=yfTQbBIm
  • https://radiomed.ru/sites/default/files/styles/case_slider_image/public/user/166/7r_30_11_91_1.JPG?itok=bV9a328O
ID:543
Ola-la's picture
Offline
Last seen: 1 year 2 months ago
Joined: 06.12.2008 - 09:33
Posts: 1786

Огромное объемное образование, мне кажется, исходит из средостения. Может, лимфома?

 

Катенёв Валентин Львович's picture
Offline
Last seen: 7 years 4 months ago
Joined: 22.03.2008 - 22:15
Posts: 54876

Что-то непонятно, что с изображением. Надо дождаться, пока автор все вставит

Катенёв Валентин Львович's picture
Offline
Last seen: 7 years 4 months ago
Joined: 22.03.2008 - 22:15
Posts: 54876

Коллега!

А почему, Вы не выставляете другой прямой снимок, на котором также имеются изменения (аналогичные) слева.

drleon's picture
Offline
Last seen: 11 years 6 months ago
Joined: 14.07.2008 - 22:30
Posts: 45

Какие-то глюки при вставке изображений.

Воробьев Александр Юрьевич

Катенёв Валентин Львович's picture
Offline
Last seen: 7 years 4 months ago
Joined: 22.03.2008 - 22:15
Posts: 54876

"Злой", остротекущий (почти молниеносный) процесс. Задействована лимфоидная ткань.

 

 

Приложения: 
1.ZLP_.jpg2.ZLP_.jpg
Катенёв Валентин Львович's picture
Offline
Last seen: 7 years 4 months ago
Joined: 22.03.2008 - 22:15
Posts: 54876

"Злой", остротекущий (почти молниеносный) процесс. Задействована лимфоидная ткань.

 

Приложения: 
3.Z.L.P..jpg4.Z.L.P..jpg
Almo's picture
Offline
Last seen: 6 hours 26 min ago
Joined: 28.09.2008 - 18:50
Posts: 8298

Случай интересный! Могу предположить, лимфосаркому медиастинальной локализации.

Катенёв Валентин Львович's picture
Offline
Last seen: 7 years 4 months ago
Joined: 22.03.2008 - 22:15
Posts: 54876

Неужто, злокачественное, исходящее из вилочковой железы.

lupan's picture
Offline
Last seen: 7 years 2 months ago
Joined: 07.01.2010 - 17:17
Posts: 1406

Впечатление, что "ЭТО" спускается из передневерхнего средостения.

Великое преймущество врача заключается в том, что он не обязан следовать собственным советам. ( А. Кристи)

Петрович's picture
Offline
Last seen: 7 years 6 months ago
Joined: 22.03.2009 - 01:13
Posts: 3908

  Массивное неоднородное мягкотканное новообразование, исходящее из верхней или средней трети переднего средостения, оттесняет крупные сосуды вправо и кзади. По локализации должна быть злокачественная тимома. Хотя и лимфому наверное, не стоит отбрасывать, Ходжкинская маловероятна.

Неоднозначно всё

Ola-la's picture
Offline
Last seen: 1 year 2 months ago
Joined: 06.12.2008 - 09:33
Posts: 1786

Лимфома тоже может расти из тимуса.

Петрович's picture
Offline
Last seen: 7 years 6 months ago
Joined: 22.03.2009 - 01:13
Posts: 3908

Ланна пусть, но как понять что из него растёт, ведь клеток не видно – снимки мелковаты.

Неоднозначно всё

Катенёв Валентин Львович's picture
Offline
Last seen: 7 years 4 months ago
Joined: 22.03.2008 - 22:15
Posts: 54876

Автор пишет, что случай верифицирован, следовательно, автор скажет нам морфологическую истину.

 

Но есть и другая истина, над которой стоит задуматься - "организационная истина", ибо 10 мес. тому, ФГ - "норма".

drleon's picture
Offline
Last seen: 11 years 6 months ago
Joined: 14.07.2008 - 22:30
Posts: 45

Морфологическая истина представлена.

Воробьев Александр Юрьевич

Катенёв Валентин Львович's picture
Offline
Last seen: 7 years 4 months ago
Joined: 22.03.2008 - 22:15
Posts: 54876

Итак. тератобластома.

Хотелось-бы услышать мнение Татьяны Валентиновны.

 

Молниеносное течение тератобластомы за год, закончившееся летальным исходом. Навено, имел место какой-то фактор "простимулировавший" такое течение, ведь ранее она вела себя спокойно?

drleon's picture
Offline
Last seen: 11 years 6 months ago
Joined: 14.07.2008 - 22:30
Posts: 45

Насчет стимулирующего фактора ничего не добавлю.

Воробьев Александр Юрьевич

Ola-la's picture
Offline
Last seen: 1 year 2 months ago
Joined: 06.12.2008 - 09:33
Posts: 1786

А какое заключение было после первой КТ?

drleon's picture
Offline
Last seen: 11 years 6 months ago
Joined: 14.07.2008 - 22:30
Posts: 45

Ситуация такая: пациент впервые обратился в районную поликлинику (по месту жительства), отправлен в область и т.д. см. выше. Больше о нем вестей не было. На днях зашел наш онколог принес все выложенные снимки, показал выписку из института рака. Поэтому заключения по кт не скажу.

Воробьев Александр Юрьевич