You are here

День травматолога.

Пол пациента: 
Тип патологии: 
Область исследования: 
Методы исследования: 

Недавно у нас был "День травматолога"

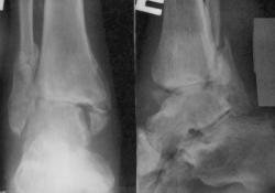
1. Пациент пришел на R-контроль сращения. Два месяца лечения в гипсе. Выяснилось, что в процессе лечения дома снимал лонгет, а на прием к врачу одевал.

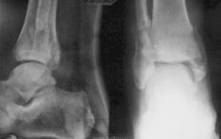
2. Следом приходит второй.

В процессе лечения 6 месяцев назад

В деревне запил, показался только сегодня

Ваше мнение о наличии консолидации?

  • https://radiomed.ru/sites/default/files/styles/case_slider_image/public/user/12/2.D.T..jpg?itok=XBFLwXW5
  • https://radiomed.ru/sites/default/files/styles/case_slider_image/public/user/12/3.D.T..jpg?itok=WB4dGRnA
ID:603
Катенёв Валентин Львович's picture
Offline
Last seen: 7 years 6 months ago
Joined: 22.03.2008 - 22:15
Posts: 54876

Коллега!

Я, через некоторое время обработаю, представленные Вами снимки, надеюсь видимость будет лучше.

stovbav's picture
Offline
Last seen: 2 years 7 months ago
Joined: 20.12.2009 - 17:28
Posts: 7066

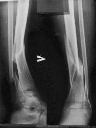
1. Консолидации конечно, такой как должно, нет. Вопрос1- почему не оперирован? Вопрос2-для себя, это последствия ДТП (ведь имееется "бампер-перелом")?

2. Сформированы "псевдоатрозы", наличиствует подвывих стопы наружу...пусть пьет дальше...авось "срастется"....

Ольга Дмитриевна's picture
Offline
Last seen: 16 years 2 months ago
Joined: 13.01.2010 - 16:55
Posts: 168

lupan wrote:

Выяснилось, что в процессе лечения дома снимал лонгет, а на прием к врачу одевал.

Так конечно говорить нельзя, но в данном случае цитата напрашивается сама собой: "Пациент - идиот!" Хаус М.Д.

Красота - гормон карьерного роста!

lupan's picture
Offline
Last seen: 7 years 3 months ago
Joined: 07.01.2010 - 17:17
Posts: 1406

stovbav wrote:

1. Консолидации конечно, такой как должно, нет. Вопрос1- почему не оперирован? Вопрос2-для себя, это последствия ДТП (ведь имееется "бампер-перелом")?

2. Сформированы "псевдоатрозы", наличиствует подвывих стопы наружу...пусть пьет дальше...авось "срастется"....

Обстоятельства травмы - упал с мотоцикла. Сразу не прооперировали потому-что: 1. Отказался от операции (См. пост Ольги Дмитриевны) 2. Стояние отломков после закрытой репозиции было вполне приличным (снимки у больного на руках, так что поверьте на слово). Ну а второй - пьяному, как известно, море по колено. Спасибо В.Л. за обработку снимков. Мне бы такую штуку.

Великое преймущество врача заключается в том, что он не обязан следовать собственным советам. ( А. Кристи)

Катенёв Валентин Львович's picture
Offline
Last seen: 7 years 6 months ago
Joined: 22.03.2008 - 22:15
Posts: 54876

По большому счету, случай представленный коллегой, имеет не только определенный диагностический интерес, но и значительный социальный интерес. Он ярко демонстрирует отношение наших сограждан к "своему здоровью", в конечном счете, прибавляющий работы врачебному сословию. И именно, данный случай заставляет усомниться, в сегодня, очень модном постулате, что пациент всегда прав. А ведь, этот "крендель", весьма вероятно, в последующием выбьет себе "группку", и по-пьяни будет рассказывать байки, вот, мол-де "вредители врачи" ему такое сделали, и мол-де благодаря им он, "мягкий, белый и пушистый", стал инвалидом, а может даже он, этот "крендель", попадет в небезизвестную передачу Андрюши Малахова, и все, на Всероссийском уровне, "прополоскают", в очередной раз арачебное сословие, а также поплачут над загубленной судьбой данного достойного гражданина, и в очередной раз осудят врачей-вредителей.