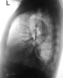
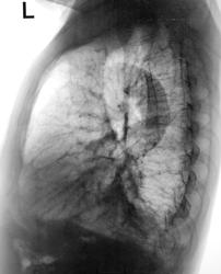
Пол пациента: Мужской пол Тип патологии: Воспалительное заболевание неинфекционной природы Область исследования: Грудная клетка и верхние дыхательные пути Методы исследования: Rg Направлен с диагнозом левосторонней пневмонии https://radiomed.ru/sites/default/files/styles/case_slider_image/public/user/12/2.dscn1726.jpg?itok=GltTbd_R https://radiomed.ru/sites/default/files/styles/case_slider_image/public/user/12/3.dscn1726a.jpg?itok=nynxxYyl ID:30074 Wed, 24/07/2013 - 18:15 #1 Сергей Кузьминов Offline Last seen: 1 year 3 months ago Joined: 06.10.2012 - 15:51 Posts: 11813 Слева жидкость в заднем синусе, в прикорневых зонах-непорядок.особенно справа.Средостение ненормально,может его порезать? Wed, 24/07/2013 - 20:32 #2 медсанчасть рег... Offline Last seen: 11 years 3 months ago Joined: 11.06.2013 - 10:46 Posts: 136 ПО прямой жидкость, по боковой S8-9. опять дифф.ряд.Да и сердце расширено. Wed, 24/07/2013 - 20:57 #3 Катенёв Валенти... Offline Last seen: 7 years 3 months ago Joined: 22.03.2008 - 22:15 Posts: 54876 медсанчасть регион 12 wrote: опять дифф.ряд. Интересно, какой дифряд выплывает? Wed, 24/07/2013 - 21:09 #4 maker4ik Offline Last seen: 8 years 9 months ago Joined: 19.10.2011 - 17:49 Posts: 2682 Пневмония в 9 с выпотом. 2 недели лечим, дальше в зависимости от контроля. Wed, 24/07/2013 - 21:31 #5 dim--lit Offline Last seen: 9 years 2 months ago Joined: 02.10.2010 - 17:25 Posts: 32 Абсолютно согласен с пневмонией в S9, S8, осложненной плевральным выпотом!Только вот контроль можно сделать через неделю) Wed, 24/07/2013 - 21:48 #6 медсанчасть рег... Offline Last seen: 11 years 3 months ago Joined: 11.06.2013 - 10:46 Posts: 136 Начнем с клиники,уточнимся Т-гр.на н\долевой бронх,уточнимся по сердцу. Wed, 24/07/2013 - 21:49 #7 Катенёв Валенти... Offline Last seen: 7 years 3 months ago Joined: 22.03.2008 - 22:15 Posts: 54876 Клиника пневмонии (со слов лечащего врача) Wed, 24/07/2013 - 22:14 #8 медсанчасть рег... Offline Last seen: 11 years 3 months ago Joined: 11.06.2013 - 10:46 Posts: 136 А Т-гр. Wed, 24/07/2013 - 22:23 #9 Катенёв Валенти... Offline Last seen: 7 years 3 months ago Joined: 22.03.2008 - 22:15 Posts: 54876 Томограмм не делали. Wed, 24/07/2013 - 22:38 #10 Дмитрий Волегов Offline Last seen: 3 years 9 months ago Joined: 22.05.2013 - 00:32 Posts: 1148 Справа купол диафрагмы нечеткий, и что-то там мерещится.Приложения: С Уважением, Дмитрий. Thu, 25/07/2013 - 15:51 #11 Катенёв Валенти... Offline Last seen: 7 years 3 months ago Joined: 22.03.2008 - 22:15 Posts: 54876 Дмитрий Волегов wrote: Справа купол диафрагмы нечеткий, и что-то там мерещится. Контроль будет обязательно
Слева жидкость в заднем синусе, в прикорневых зонах-непорядок.особенно справа.Средостение ненормально,может его порезать?
ПО прямой жидкость, по боковой S8-9. опять дифф.ряд.Да и сердце расширено.
Интересно, какой дифряд выплывает?
Пневмония в 9 с выпотом. 2 недели лечим, дальше в зависимости от контроля.
Абсолютно согласен с пневмонией в S9, S8, осложненной плевральным выпотом!Только вот контроль можно сделать через неделю)
Начнем с клиники,уточнимся Т-гр.на н\долевой бронх,уточнимся по сердцу.
Клиника пневмонии (со слов лечащего врача)
А Т-гр.
Томограмм не делали.
Справа купол диафрагмы нечеткий, и что-то там мерещится.
С Уважением, Дмитрий.
Контроль будет обязательно