Пол пациента:
Тип патологии:
Область исследования:
Методы исследования:
21 год. На момент исследования жалоб нет. DICOM здесь http://files.mail.ru/062AC0004DF8471CAC95B38693A0153C
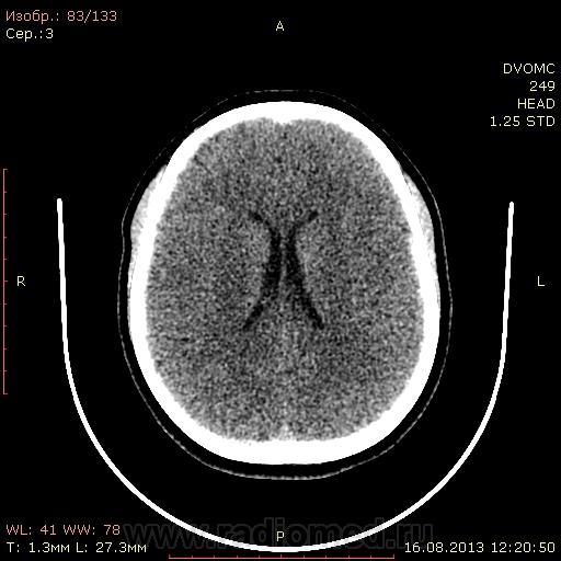
Что за уплотнение в базальных ганглиях слева? Мелкое начинающееся обызвествление? В таком возрасте?
Нет ли сужения борозд? Прошу оценить их глубину т.к. у самого еще не сформировалось чисто визуальная мера(только третьи мозги в моей практике
Обызвествление базальных ядер в таком возрасте-норма.
У кого-нть есть пример обызвествления сосудов г м в дайкоме? Вертебральных аа. например)) или другое обызвествление, болезнь Фарра
After the NYear
Третьи мозги, говорите. Не переживайте. КТ достаточно грубый метод, при травме в мозгу что-то видно только у больных, доставленных в кабинет на каталке. Такие борозды и должны быть у непъющего молодого человека. И обызвествление базальных ядер, тоже клинического значения не имеет (по крайней мере, не встречал). Правда, есть еще синдром Фарра, но то другой случай, там, в первую очередь идет клиника. Какой-то странный у вас протокол, наверное на SDH (субдуральную гематому). Желательно добавить в протокол восстановление из сырых данных с другим фильтром и другой толщиной (например, 5мм).
Андрей Юрьевич
( и еще я помню мне в особый укор ставили не анонимность пациента как-то раз забыл, тут я вижу фамилию, 1984 год рождения, но это мелочи конечно).
After the NYear
А что какие картинки, извините, поганые?) Вы уж не обижайтесь, колллега.
У вас же спираль идет? Так реконструируйте толстые срезы, по 4-5 мм. Ведь на тонких срезах зернистость увеличивается. И еще нужно добавить немного силы тока, это тоже улучшит изображение.
Третьи мозги - не беда. Главное, чтобы свои были первыми и единственными)
снимков с полной информацией о пациенте не должно быть непосредственно на сранице, а все что где-то там можно подгрузть и посмотреть и т.д. это не считается))) я не очень то уверен в своей правоте, но.......пусть поправят меня модераторы.
......ок в следующий раз исправлюсь. Только я тут задумался можно ли с рабочей станции сразу скинуть аноним? Можно же?(GE BrigthSpeed)
Как раз намедни об этом думал, смотря на срезы мозгов других авторов и в книжках. И фраза точ в точ из моих уст выходила: "...че это у меня такие поганые срезы, а у них вон хорошие..." и проанализировав
быстро пришел к выводу, что я тонковато реконструирую.
Спасибо, что подтвердили мои догадки.