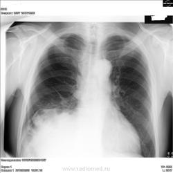
ХИЛАИДИТИ СИНДРОМ – интерпозиция печеночного угла толстой кишки между печенью и диафрагмой. Бывает постоянная (фиксация спайками) и перемежающаяся. Основные клинические проявления: чувство тяжести и боли в правом подреберье, запоры, частичная и даже полная кишечная непроходимость, уменьшение высоты печеночной тупости (если кишка содержит газ). Печеночная тупость может уменьшаться (или отсутствовать) также при эмфиземе легких, атрофическом циррозе печени и перфорации желудочно-кишечного тракта.
На сайте этот синдром показывался неоднократно, особенно, у пожилых людей.
Огромное всем спасибо,дорогие,коллеги.На прошедшей неделе пришлось работоть в четырёх кабинетах двух поликлиник да в две смены да одновременно.Потому и бока "зеркальны" и не всё доделано.Заключение по данному случаю отписал и отвёз на работу только сегодня,уже находясь в отпуске.
Огромное всем спасибо,дорогие,коллеги.На прошедшей неделе пришлось работоть в четырёх кабинетах двух поликлиник да в две смены да одновременно.Потому и бока "зеркальны" и не всё доделано.Заключение по данному случаю отписал и отвёз на работу только сегодня,уже находясь в отпуске.
Хилаидити.
Как-то контур диафрагмы и ее высокое стояние не нравится - возможно поддиафрагмальный абсцесс
Хотя нет, не абсцесс))
ХИЛАИДИТИ СИНДРОМ – интерпозиция печеночного угла толстой кишки между печенью и диафрагмой. Бывает постоянная (фиксация спайками) и перемежающаяся. Основные клинические проявления: чувство тяжести и боли в правом подреберье, запоры, частичная и даже полная кишечная непроходимость, уменьшение высоты печеночной тупости (если кишка содержит газ). Печеночная тупость может уменьшаться (или отсутствовать) также при эмфиземе легких, атрофическом циррозе печени и перфорации желудочно-кишечного тракта.
На сайте этот синдром показывался неоднократно, особенно, у пожилых людей.
///Опять "зеркальный" правый бок/// Так и бывает, вы же на цифре снимаете. Требовал от лаборантов прикреплять букву, какой бок.
Андрей Юрьевич
Спасибо,коллеги.
А интепозиция толстой кишки подойдёт?
А это не одно и то же?
Это одно и то же. Ещё уважаемый коллега Nikolas, не указал, что интерпозиция толстой кишки может и никак не проявляться.
+1. Наблюдал как случайные находки. Об это писал также и коллега Игорь Иванович.
Огромное всем спасибо,дорогие,коллеги.На прошедшей неделе пришлось работоть в четырёх кабинетах двух поликлиник да в две смены да одновременно.Потому и бока "зеркальны" и не всё доделано.Заключение по данному случаю отписал и отвёз на работу только сегодня,уже находясь в отпуске.
С уважением,
http://www.radiomed.ru/publications/sindrom-chilaiditi-simptom-chilaiditi-interpositio-hepatodiaphragmatica