Пол пациента:
Тип патологии:
Область исследования:
Методы исследования:
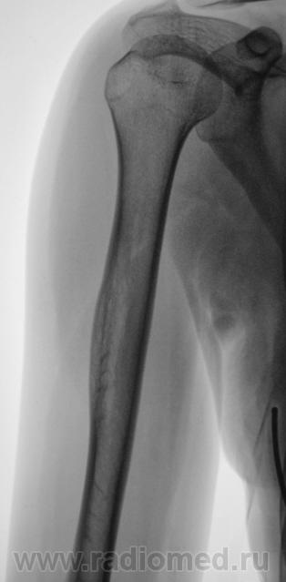
Пациентка направлена врачом хирургом на рентгенографию правой плечевой кости. Пациентка жалуется на боли в плече, как дневные, так и ночные, отмечает, что эти боли усиливаются при физической нагрузке. Из "разговора" выяснено, что боли резко усилились в течение последних двух месяцев. Пациентка отмечает, что боли усиливаются при физической нагрузке. Выяснено, что 1,5 года тому был удар (упала), в то место, которое болит. Что посоветуете, уважаемые коллеги?
Хоть убей, ничего плохого не вижу. Дельт. бугристость, как бугристость. Разве что-то выше - то ли деструкция с секвестром? Напишем кортикалит!
Сколько лет пациентке, сопутствующие б-ни? Подозреваю неврологическое происхождение болей или шейный остеохондроз и/или спондилартроз надо исключить.
Зри в корень!
Пациентке 18 лет.
Да, в таком возрасте заподозрить хронику и неврологию не с руки (но все-таки исключить надо). В таком случае надо вторую (боковую) проекцию сделать.
Зри в корень!
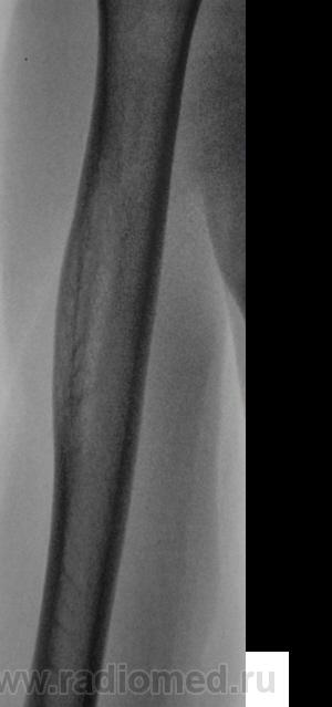
Боковая проекция добавлена.
А что это за поперечные линии - костной перестройки, что ли?
Зри в корень!
Изображения в прямой проекции с увеличением.
Изображения в боковой проекции с увеличением.
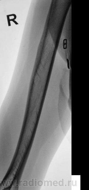
а как на счет левой плечевой кости? все же должно быть в сравнении. и вопросов буде гараздо меньше.
Извольте.
может я и ошибаюсь, но по-моему , дело не в кости. надо исключать другие причины
Здравствуйте!
Норма...
Анатолий Шумаков , в чем отличие правой плечевой кости от левой?
Различий не увидел... Все в пределах нормы.
Добрый вечер!
Поместил случай, так как, сегодня среди коллег, по данному случаю, возник "бой быков", и весьма горячий.
На снимках справа латерально вроде как прослеживается "мягкотканный компонент". На левой такого нет. А может просто справа мышцы плотнее и накладываются друг на друга, т.к правша?
Виктор.
Мне кажется, есть локальная слоистость кортикального слоя. Надо бы спросить ту, имя которой я поклялся не упоминать.
Неоднозначно всё