You are here

Образование гортани, помогите.

Пол пациента: 
Область исследования: 
Методы исследования: 

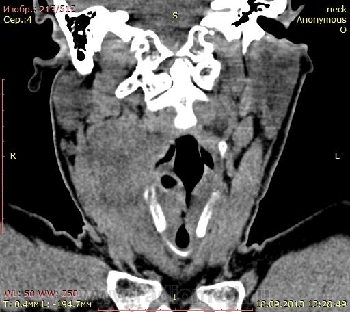
Очень для нас редкое исследование. Помогите, пожалуйста разобраться, откуда что исходит. Из жалоб: осиплость голоса около 5 месяцев. Нигде не лечился, не наблюдался. Сейчас появилась болезненность и припухлость в полчелюстной области справа. Хирург из поликлиники почти пинками к нам в кабинет пригнал. Исследование выполнено только без фонации, он букву ииии вообще не может говорить. Понимаю что все не очень хорошо, но ни сформулировать толком, ни увидеть всю картину не могу.  Вот ссылка на дайком http://yadi.sk/d/nYvyvp2o9UoYJ

Если есть возможность, поделитесь, пожалуйста и шаблоном протокола, как описывать гортань и шею.

  • https://radiomed.ru/sites/default/files/styles/case_slider_image/public/user/17760/img-0002-00001_3.jpg?itok=RFTQBQXb
  • https://radiomed.ru/sites/default/files/styles/case_slider_image/public/user/17760/img-0003-00001_3.jpg?itok=EMNOpOAg
  • https://radiomed.ru/sites/default/files/styles/case_slider_image/public/user/17760/img-0004-00001_3.jpg?itok=EGhybhV1
  • https://radiomed.ru/sites/default/files/styles/case_slider_image/public/user/17760/img-0005-00001_3.jpg?itok=4c-Tv8uB
ID:31850
Андрей Юрьевич's picture
Offline
Last seen: 2 months 3 weeks ago
Joined: 16.11.2008 - 22:16
Posts: 18101

Для оценки гортани желательно построить корональные МПР параллельно ШОП.

Драпалюк Надежда wrote:
...Хирург из поликлиники почти пинками к нам в кабинет пригнал....

Зачем такое насилие? А вам теперь, хоть обдумайся. Тем более без контраста...

Драпалюк Надежда wrote:
Понимаю что все не очень хорошо, но ни сформулировать толком, ни увидеть всю картину не могу.....

Чем могу: это не опухоль гортани, это мягкотканное образование правой половины шеи. А более конкретно не скажу. В пространствах шеи также не силен. Может кто другой скажет?

Андрей Юрьевич

Shlyomka's picture
Offline
Last seen: 11 years 5 months ago
Joined: 28.01.2013 - 11:51
Posts: 109

Это сотрудник больницы, мы его уже давно уговаривали сходить к врачу. Ну или хотя бы 5 минут в аппарате полежать... А тут довел себя до такого...

И.Бондаренко's picture
Offline
Last seen: 3 days 1 hour ago
Joined: 13.09.2011 - 22:55
Posts: 9210

Может быть какой-нибудь сиалоаденит?

Shlyomka's picture
Offline
Last seen: 11 years 5 months ago
Joined: 28.01.2013 - 11:51
Posts: 109

Температуры нет.

Shlyomka's picture
Offline
Last seen: 11 years 5 months ago
Joined: 28.01.2013 - 11:51
Posts: 109

Так как правильно сформулировать изменения? И какие вообще изменения тут есть? Кроме инфильтрации мышц справа и какого-то жидкостного образования я ничего вразумительного сказать не могу(((

Андрей Юрьевич's picture
Offline
Last seen: 2 months 3 weeks ago
Joined: 16.11.2008 - 22:16
Posts: 18101

Вот только не обижайтесь, коллега, зачем долго уговаривать пациента на исследование

Shlyomka wrote:
... мы его уже давно уговаривали сходить к врачу. Ну или хотя бы 5 минут в аппарате полежать.....

если вы в этой области, ни в зуб копытом?

Shlyomka wrote:
Так как правильно сформулировать изменения? И какие вообще изменения тут есть?... ничего вразумительного сказать не могу(((

Да все как обычно, Почифора Инрикос. Со своей стороны обязуюсь: если вы это образование локализуете (ей-богу, лень смотреть пространства шеи, шею почти не смотрю), попытаюсь дописать все остальное.

Андрей Юрьевич

Любовь С.'s picture
Offline
Last seen: 9 years 9 months ago
Joined: 23.12.2010 - 01:58
Posts: 2324

Опухоль в черпало-надгортанной связке справа с распространением на голосовую связку, парагортанное пространство, переднюю комиссуру, склерозирвание и вроде подвывих правого черпаловидного хряща. Дуля справа от подъязычной кости до щитовидного хряща - метастатический узел с распадом. 

http://radiology.rsna.org/content/214/3/683.full

Другой, более лучшей статьи и на русском... не нашла. Если у кого есть - кидайте, расцелую от души. 

Приложения: 
prostranstva__-__shei.jpgprostranstva__-__shei2.jpgprostranstva__-__shei3.jpg1a.jpggortan01.jpggortan02.jpggortan03.jpggortan05.jpggortan06.jpggortan07.jpggortan04.jpg

"Предоставляя весь смысл и совершенство в распоряжение одного только Бога, вы избавляете себя от бездны хлопот." Джон Уитборн.

Любовь С.'s picture
Offline
Last seen: 9 years 9 months ago
Joined: 23.12.2010 - 01:58
Posts: 2324

Шаблон. Не настаиваю, меняете под свой вкус.

  • На серии МСКТ височных костей:
  • Наружный слуховой проход – без особенностей.
  • Сосцевидный отросток имеет ячеистую структуру (смешанного характера пневматизация).
  • Слуховые косточки контурируются.
  • Пневматизация ячеек сосцевидного отростка - не нарушена. Пневматизация антрума не нарушена.
  • Барабанная полость обычных размеров и формы, пневматизация ее не снижена Окна лабиринта не блокированы.
  • Костные каналы улитки обычно расположены, преддверие, полукружные каналы обычно расположены, без признаков патологической оссификации или мальформаций. Водопровод преддверия не расширен.
  • Внутренний слуховой проход не расширен (симметричны с обеих сторон).
  • Верхушка пирамида височной кости – без особенностей.
  • Канал лицевого нерва расположен типично, костные стенки сохранены.
  • Мостомозжечковые углы свободны.
  • Положение луковицы яремной вены, сигмовидного синуса, каротидного канала – без особенностей

 

  • На серии МСКТ шейных структур:
  • Костные структуры без признаков костно-травматических и костно-деструктивных изменений. Краниовертебральная граница: изменений не определяется.
  • Ротоглотка без особенностей.
  • Слюнные железы: гомогенные, структура не изменена, не увеличены.
  • Миндалины: не увеличены, однородны.
  • Носоглотка: хоаны, свод свободные.
  • Парафарингеальные пространства свободные.
  • Гортань: желудочки и складки симметричные, грушевидные синусы и подскладочное пространство свободны, дополнительных образований не выявлено. Хрящи гортани без патологических изменений.
  • Щитовидная железа: доли не увеличены, структура однородная, контуры ровные.
  • Сосуды: признаков диссекций, сужений, деформаций не определяется (естессна, при контрастировании).
  • Лимфоузлы: бобовидной формы, без увеличения размеров.

"Предоставляя весь смысл и совершенство в распоряжение одного только Бога, вы избавляете себя от бездны хлопот." Джон Уитборн.

Shlyomka's picture
Offline
Last seen: 11 years 5 months ago
Joined: 28.01.2013 - 11:51
Posts: 109

Любовь, нет слов!! Спасибо за столь подробное объяснение!!!!