You are here

Привет из детства!

Пол пациента: 
Тип патологии: 
Методы исследования: 

Ребенок инвалид. ДЦП. 

  • https://radiomed.ru/sites/default/files/styles/case_slider_image/public/user/18767/8.10.13g_pryahin_5let_pravyy_bok.jpg?itok=1D5ns4Rr
  • https://radiomed.ru/sites/default/files/styles/case_slider_image/public/user/18767/28.10.13g_pryahin_kontrol.jpg?itok=Lf_zEHgZ
  • https://radiomed.ru/sites/default/files/styles/case_slider_image/public/user/18767/1.11.13g_pryahin_gorizontalno_polost_destrukcii.kontrol.jpg?itok=fxJGrhsM
  • https://radiomed.ru/sites/default/files/styles/case_slider_image/public/user/18767/1.11.13gpryahin_kontrol_vertikalno..jpg?itok=vIlbwQAI
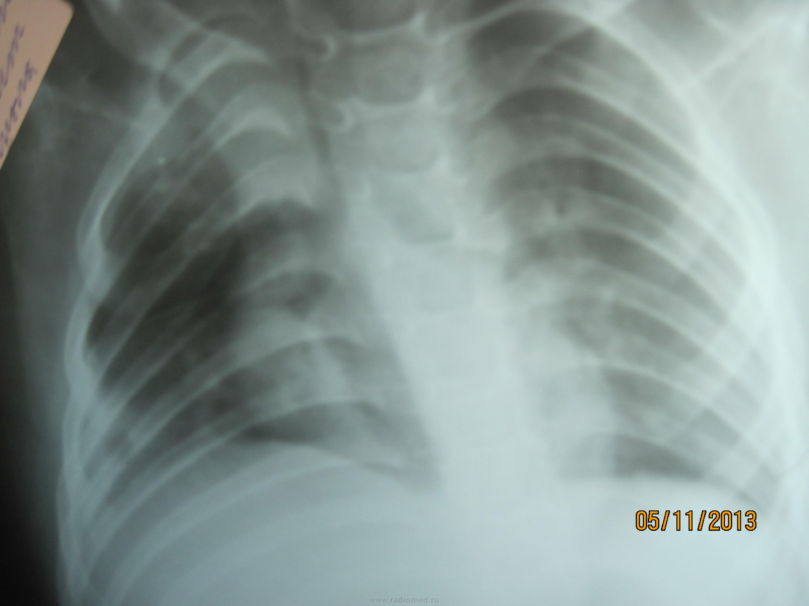
  • https://radiomed.ru/sites/default/files/styles/case_slider_image/public/user/18767/5.11.13g_pryahin_kontrol_vertikalno.jpg?itok=DR3ZCNoX
ID:32994
ЕЕЮ's picture
Offline
Last seen: 2 years 4 months ago
Joined: 26.08.2013 - 11:22
Posts: 410

Ребенок находиться в ОРИТ. ДЦП. Диагноз ОРЗ, фарингит. С целью исключения пневмонии направлен на рентген.

Приложения: 
8.10.13gpryahin_5let_dcp_verhnedolevaya_pnevmoniya._zavualirovannost_pravogo_sinusa..jpg8.10.13g_pryahin_5let_pravyy_bok.jpg
ЕЕЮ's picture
Offline
Last seen: 2 years 4 months ago
Joined: 26.08.2013 - 11:22
Posts: 410

УЗИ плевральных полостей - жидкости нет.

Приложения: 
9.10.13g_pryahin_kontrol.jpg
Helios's picture
Offline
Last seen: 10 months 2 weeks ago
Joined: 06.08.2010 - 15:16
Posts: 4417

И средостение на месте.

ЕЕЮ's picture
Offline
Last seen: 2 years 4 months ago
Joined: 26.08.2013 - 11:22
Posts: 410

[quote=Helios]

И средостение на месте.

 

Cредостение на месте. Написала инфильтрация S1, 2, 3, 5 Пневмония без динамики. Завтра снова хотят контроль делать и рентгена и УЗИ.

Dima's picture
Offline
Last seen: 7 years 5 months ago
Joined: 05.08.2012 - 17:39
Posts: 2467

аспирация не исключена

Терпимость - это когда прощают чужие ошибки; такт - когда не замечают их. (Артур Шницлер)

ЕЕЮ's picture
Offline
Last seen: 2 years 4 months ago
Joined: 26.08.2013 - 11:22
Posts: 410

Что скажите по последнему снимку??? Что с этим ребенком делать не знает никто...Чем лечить и куда направлять тоже...