Пол пациента:
Тип патологии:
Область исследования:
Методы исследования:
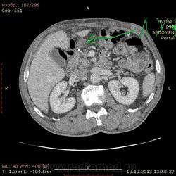
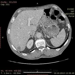
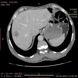
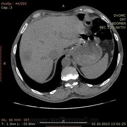
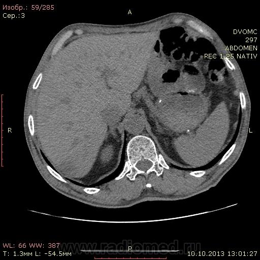
69 лет. КТ контроль от августа. Посте очередного курса химии. Начало истории здесь http://www.radiomed.ru/cases/kt-bryushnoi-polosti-adenokartsinoma-zheludka-sostoyanie-posle-rezektsii-zheludka-mts-v-pechen
Сегодня выглядит так. DICOM здесь http://files.mail.ru/2A18DCE6A6AA4546B51713D2F9C9E91A
На мой взгляд метастазов новых нет, но старые увеличились и один из пораженных л\у также увеличился.
Расценивать как "отрицательная"?
"но старые увеличились и один из пораженных л\у также увеличился.
Расценивать как "отрицательная"?"
А как ещё?
Ну мало ли чего...