You are here

Эмпиема плевры.

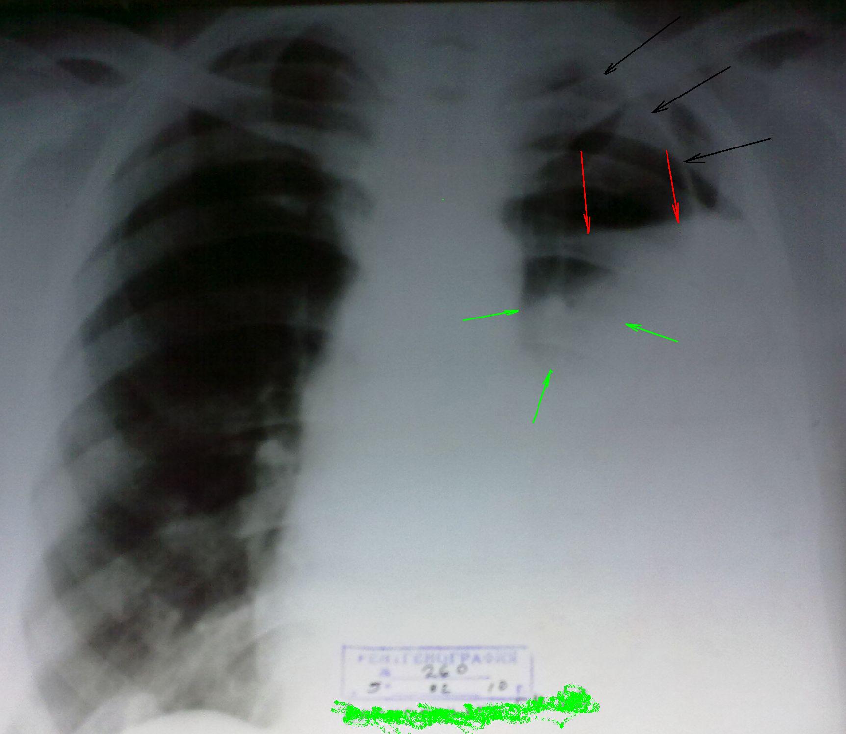
Буквально пятничный случай. Хотел закрутить небольшую интригу, но потеряна вся информативность снимка при фотографировании, хотя рентгенограммы довольно качественные. Больная, любительница бахуса, поступила в тяжелом состоянии. В прошлом заболевания легких отрицает. Не мог решить, как могла скиалогически образоваться такая картина. Что это за линейная тень, отмеченная черными стрелками (если это край легкого - пневмоторакс, то против этого недостаточная чернота зоны, латеральнее нее). Горизонтальная линия, отмеченная красными стрелками вроде говорит за гидропневмоторакс, но как объяснить просветление, отмеченное зелеными стрелками. Все таки написал плеврит. Пневмоторакс? При плевральной пункции получили 2,5 литра вязкой гноеподобной жидкости. Настораживает резкое обеднение легочного рисунка на больной стороне, хотя справа на рентгенограмме он хорошо прослеживается, с легким склерозом.

  • https://radiomed.ru/sites/default/files/styles/case_slider_image/public/user/3055/05022010265.jpg?itok=l5iIhhmn
ID:56141
Катенёв Валентин Львович's picture
Offline
Last seen: 7 years 4 months ago
Joined: 22.03.2008 - 22:15
Posts: 54876

Рискну предположить следующий "сюжет событий", с учетом того, что "дама" поклонница Бахуса, ну и, по всей видимости, Венус.

Дама, по всей видимости травмировалась, к примеру - перелом ребер, но боли, возможно, достаточно не ощутила, ну, если всегда под анальгетиком, вполне понятно. За переломом ребра (ребер) возник посттравматический пневмоторакс, присоединилась инфекция, а возможно и кровушка, возникла картина "хронического пнемоторакса", присоединилась эмпиема плевры, возможно по типу ступенчатого пневмоплеврита. Затем, запустился процесс швартообразования.

 

Приложения: 
1._Bahus.JPG2.Bahus_.jpg
Катенёв Валентин Львович's picture
Offline
Last seen: 7 years 4 months ago
Joined: 22.03.2008 - 22:15
Posts: 54876

В дальнейшем, после пункции, оказалось, что "поезд - ушел". Адгезивный процесс, швартообразование, настолько хорошо фиксировали частично коллабированное левое легкое, что оно просто физически из-за сращений расправиться не может. Костальная плевра также утолщена с наложениями, что и создает впечатление "обедненного легочного" рисунка, на фоне участка пневмоторакса, т.е. там, где легкого фактически нет. Запаяны и синусы плевры, по всей видимости фиксирована, и диафрагма.

 

Приложения: 
3._Bahus.jpg4._Bahus.jpg