Что-то не даёт мне согласиться с пневмонией.То ли отсутствие бокового,то ли подпаянный купол.Да и не совсем "инфильтративно".Честно говоря,не дал бы заключения без бокового или динамики.Рака боюсь.
И подпаянность купола рассосалась. Великая вещь - терапия!))
Только мнение: написала бы на первое Rg-исследование: ателектаз средней доли (боковой снимок - классика ателектаза; на прямой, точнее, кривой проекции - разворот и сужение передних 4-5 межреберий справа). На второе Rg-исследование: ателектаз расправился. Объяснение: мокротой забился среднедолевой бронх, пневмонии не было. Прокашлялась, и нет ателектаза. Не настаиваю))).
"Предоставляя весь смысл и совершенство в распоряжение одного только Бога, вы избавляете себя от бездны хлопот." Джон Уитборн.
И подпаянность купола рассосалась. Великая вещь - терапия!))
Только мнение: написала бы на первое Rg-исследование: ателектаз средней доли (боковой снимок - классика ателектаза; на прямой, точнее, кривой проекции - разворот и сужение передних 4-5 межреберий справа). На второе Rg-исследование: ателектаз расправился. Объяснение: мокротой забился среднедолевой бронх, пневмонии не было. Прокашлялась, и нет ателектаза. Не настаиваю))).
Согласен, картина эффекта полного разрешения – потрясающая. Поэтому и выложил на сайт. Встречаю такое не чаще, чем, наверное, шесть позвонков в поясничном отделе. Хочется, чтоб это было классикой.
По поводу пневмонии сомнений не было. Соответствующая клиника интоксикации – была. За три дня до последних снимков СОЭ в крови – 54 мм/час. На сегодня сохраняется бледность, сухой кашель.
И всеж, рекомендовал бы за девушкой рентгенологически посмотреть через месяца три- шесть. Встречалось пару раз. Пример: в январе- пневмония в средней доле, пролечили - абс. норма( даже скопию делал, это 1989г., тогда можно было). В сентябре - "в том же месте , в тот же час" - пролечили - норма. В феврале след. года: ателектаз, мт и т.д. и далее в теч. года свё печально
Любовь С.: "Объяснение: мокротой забился среднедолевой бронх, пневмонии не было. Прокашлялась, и нет ателектаза. Не настаиваю)))."
А, приведенный мною пример, как Вам? Сужение УЖЕ ЕСТЬ, + м.б. и мокрота( а скорее обычный воспалительный отек стенки пораженного бронха, а кто сказал ,что раковопораженный бронх не воспаляется и не отекает?) Я как-то приводил пример на сайте, когда описан на КТ просвет бронха"с наличим жидкостного неоднородного содержимого" ( вынужден был снять по просьбе), а оказалось- инфильтрирующий рак через 4 мес. Т.е. я за Вас!
Сан Саныч1! "Кашлевая терапия? Да этож тема для диссера! ))))))))))))" Спросите коллегу Nikolas . Оказывается кашлевая терапия - давно работает ( постуральный дренаж называется)
Если исходить из предположения, что содержимое бронхиального дерева ниже бронхов 5-го порядка, как правило стерильно, то пусковым моментом пневмонии является микроаспирация.
Если исходить из предположения, что содержимое бронхиального дерева ниже бронхов 5-го порядка, как правило стерильно, то пусковым моментом пневмонии является микроаспирация.
Если исходить из предположения, что содержимое бронхиального дерева ниже бронхов 5-го порядка, как правило стерильно, то пусковым моментом пневмонии является микроаспирация.
Если исходить из предположения, что содержимое бронхиального дерева ниже бронхов 5-го порядка, как правило стерильно, то пусковым моментом пневмонии является микроаспирация.
Ой, как вас много, а я одна. Поясню свою мысль неглубокую: я не увидела пневмонии, я увидела ателектаз. Да, его причиной могла быть пневмония, но опять же, я её не увидела. Очередной низёхонький полёт моей демагогической мысли, не более)))).
"Предоставляя весь смысл и совершенство в распоряжение одного только Бога, вы избавляете себя от бездны хлопот." Джон Уитборн.
Сан Саныч1! "Кашлевая терапия? Да этож тема для диссера! ))))))))))))" Спросите коллегу Nikolas . Оказывается кашлевая терапия - давно работает ( постуральный дренаж называется)
При чем здесь постуральный дренаж?
Выкашливать и "вылёживать" мокроту - не одно и то же.
Контрольное исследование назначено через месяц от последних снимков. Буду рекомендовать КТ.
Если КТ состоится,хотелось бы знать результат,ести не будет КТ-так хотя бы простой контроль.Я как то демонстрировал подобный случай,кончилось полным рассасыванием.
Ой, как вас много, а я одна. Поясню свою мысль неглубокую: я не увидела пневмонии, я увидела ателектаз. Да, его причиной могла быть пневмония, но опять же, я её не увидела. Очередной низёхонький полёт моей демагогической мысли, не более)))).
Соглашусь с наличием гиповентиляции средней доли справа. Как вариант, причиной могла быть аспирация. Но главного рентгенологического признака пневмонии - инфильтрации - не было. То есть либо пропустили начало, застали вторичную гиповентиляцию, либо... - либо.))
Сам то я написал пневмония средней доли. После контроля - в ст. разрешения. Отхождение среднедолевого бронха от промежуточного кпереди, кнаружи и книзу под углом 45 градусов значительно затрудняет его опорожнение. Почему бы воспаленной доле не ателектазировать при закупорке мокротой?
Однако среднедолевой бронх, кроме того, является самым узким и длинным долевым бронхом. Калибр его 0,5 см. Вокруг среднедолевого бронха сосредоточено наибольшее количество лимфоузлов, которые собирают лимфу от от 2/3 правого легкого. Поэтому ателектаз средней доли может возникать вследствие увеличения л/у при воспалительных процессах вне средней доли. Может инфильтрация на первых снимках все же видна, только не в четверке, а в восьмерке?
Прошу прощения за назойливость, но, уважаемый Дмитрий, Вы обозначили не 8 сегмент, а примерно 9... Но инфильтрации там нет, даже в нём (ни в прямой, нет и на боковой - суммация корня, аорты нисходящей и спондилозных оссификатов). Если думать о жидкости в главной м/долевой щели - разве что капелька будет (сомнительна и она - спавшаяся доля подсвечивает-оттеняет слегка).
Сан Саныч1! "Кашлевая терапия? Да этож тема для диссера! ))))))))))))" Спросите коллегу Nikolas . Оказывается кашлевая терапия - давно работает ( постуральный дренаж называется)
При чем здесь постуральный дренаж?
Выкашливать и "вылёживать" мокроту - не одно и то же.
А я то-то думал: ИМЕННО ВЫКАШЛИВАТЬ!
"Постуральный дренаж - лечебная процедура, облегчающая отхождение бронхиального секрета и повышающая продуктивность кашля путем придания телу специальных дренажных положений. В этих положениях мокрота продвигается под действием силы тяжести по направлению к главным бронхам и трахее, достигает области бифуркации трахеи, где чувствительность кашлевых рецепторов наибольшая, и удаляется с помощью кашля." ( ЗЫ! кашлевая терапия!!! Но "диссер" уже не наш...)
"Техника постурального дренажа проста: поднимают ножной конец кровати, убирают подушки из-под головы больного и заставляют его поворачиваться то на бок, то на живот и откашливать мокроту."( ТАКИ ОТКАШЛИВАТЬ!)
Прошу прощения за назойливость, но, уважаемый Дмитрий, Вы обозначили не 8 сегмент, а примерно 9... Но инфильтрации там нет, даже в нём (ни в прямой, нет и на боковой - суммация корня, аорты нисходящей и спондилозных оссификатов). Если думать о жидкости в главной м/долевой щели - разве что капелька будет (сомнительна и она - спавшаяся доля подсвечивает-оттеняет слегка).
Уважаемый Makcimalist спавшаяся средняя доля примыкает в прямой проекции к сердечной тени, и как правило исчезает контур сердечной тени деформируется
"Известно, что ряд патологических процессов может давать картину напоминающую инфильтрацию или ателетаз сегмента, например, междолевые выпоы, плевральные шварты, ротенционные кисты и др.
Детальное знакомство с особенностями рентгенологической картины сегментов легких может помоь врачу избежать многие диагностические ошибки" ( Розенштраух,. Рыбакова, Виннер "Рентгенодиагностика заболеваний органов дыхания" стр.35)
Прошу прощения за назойливость, но, уважаемый Дмитрий, Вы обозначили не 8 сегмент, а примерно 9... Но инфильтрации там нет, даже в нём (ни в прямой, нет и на боковой - суммация корня, аорты нисходящей и спондилозных оссификатов). Если думать о жидкости в главной м/долевой щели - разве что капелька будет (сомнительна и она - спавшаяся доля подсвечивает-оттеняет слегка).
Уважаемый Makcimalist спавшаяся средняя доля примыкает в прямой проекции к сердечной тени, и как правило исчезает контур сердечной тени деформируется
"Известно, что ряд патологических процессов может давать картину напоминающую инфильтрацию или ателетаз сегмента, например, междолевые выпоы, плевральные шварты, ротенционные кисты и др.
Детальное знакомство с особенностями рентгенологической картины сегментов легких может помоь врачу избежать многие диагностические ошибки" ( Розенштраух,. Рыбакова, Виннер "Рентгенодиагностика заболеваний органов дыхания" стр.35)
Коллега, если Вас правильно понял, Вы считаете, что в наблюдении имело место и инфильтрация и междолевой плеврит, без ателектаза/гиповентиляции?..
После повторного анализа...соглашусь...причем даже без+....просто - осумкованая жидкость:
1. Нет четкой тени в прямой проекции, а имеется только снижение прозрачности, причем близкое к однородному.
2. На этом фоне просматривается легочной рисунок.
4. Отсутствие гипервентиляции н\ и в\долей...если это ателектаз средней.
5. Веретенообразная, хотя и не четко, форма
6. Быстрая динамика
Виктор Григорьевич, я в версии осумкованной жидкости постоял и... вышел из неё. Нечёткость тени также может быть и при гиповентиляции (автор также упоминал о гиперлордозе, возможном). Лёгочный рисунок может читаться из нижней доли, там его всегда "на одну слишком много")). Гипервентиляции нет, потому что ателктаза полного нет, да и доля средняя меньше чем оставшиеся обе. Форма всё же нечёткое веретено!) И динамика быстрая - дисковидные ателектазы быстро расправляются, а здесь пусть больше объём нарушений, но ведь неполный он даже.
Прошу прощения за назойливость, но, уважаемый Дмитрий, Вы обозначили не 8 сегмент, а примерно 9... Но инфильтрации там нет, даже в нём (ни в прямой, нет и на боковой - суммация корня, аорты нисходящей и спондилозных оссификатов). Если думать о жидкости в главной м/долевой щели - разве что капелька будет (сомнительна и она - спавшаяся доля подсвечивает-оттеняет слегка).
Уважаемый Makcimalist спавшаяся средняя доля примыкает в прямой проекции к сердечной тени, и как правило исчезает контур сердечной тени деформируется
"Известно, что ряд патологических процессов может давать картину напоминающую инфильтрацию или ателетаз сегмента, например, междолевые выпоы, плевральные шварты, ротенционные кисты и др.
Детальное знакомство с особенностями рентгенологической картины сегментов легких может помоь врачу избежать многие диагностические ошибки" ( Розенштраух,. Рыбакова, Виннер "Рентгенодиагностика заболеваний органов дыхания" стр.35)
Коллега, если Вас правильно понял, Вы считаете, что в наблюдении имело место и инфильтрация и междолевой плеврит, без ателектаза/гиповентиляции?..
Речь скорее идет именно о плеврите. Локализовать инфильтрации вне возможности метода.
Позиция становится шаткой ибо плеврит это осложнение, а не самостоятельная нозология.
Пока бродил-ходил, ещё пару палочек в костёр приволок. Если это междолевой плеврит в главной щели, отчего же добавочной междолевой не видно на больном боковом? И отчего же она появилась когда плеврит якобы разрешился?.. И ещё - понимаю, природу расположения ограничивающих спаек/сращений/ причудливых фибриновых превращений нам не разгадать, но всё же - отчего плеврит этот висел именно от начала междолевой, а выше ни на см не вышел? И под него плевра главная ничуть не прогнулась - неужели совсем "не видит" его?))
Я тоже выскажусь в пользу ателектаза со своими аргументами:за такой короткий срок-прекрасная динамика,то есть если бы был м/д плеврит,то листки плевры оставались бы еще утолщенными,а мы видим обычные,также отмечались бы изменения и по паракостальной плевре(небольшие,-но были бы)Смотрим также ход сосудов.Так что по всему выходит(с учетом других аргументов коллег)ателектаз
Я бы этой больной выполнил МСКТ с контрастированием легочной артерии и полостей сердца, т.к. Не могу исключить ТЭЛА и, учитывая динамику, нельзя исключить прогрессирование НК, например, на фоне безболевой ишемии миокарда + ЭКГ + кардиолог
Все правильно, но подчеркну НЕ УМЕНЬШЕННАЯ В ОБЪЕМЕ.
Цитата сообщения пользователя stovbav:
После повторного анализа...соглашусь...причем даже без+....просто - осумкованая жидкость:
1. Нет четкой тени в прямой проекции, а имеется только снижение прозрачности, причем близкое к однородному.
2. На этом фоне просматривается легочной рисунок.
4. Отсутствие гипервентиляции н\ и в\долей...если это ателектаз средней.
5. Веретенообразная, хотя и не четко, форма
6. Быстрая динамика
Все правильно!
Цитата сообщения пользователя Makcimalist:
Пока бродил-ходил, ещё паруПока бродил-ходил, ещё пару палочек в костёр приволок. Если это междолевой плеврит в главной щели, отчего же добавочной междолевой не видно на больном боковом? И отчего же она появилась когда плеврит якобы разрешился?.. И ещё - понимаю, природу расположения ограничивающих спаек/сращений/ причудливых фибриновых превращений нам не разгадать, но всё же - отчего плеврит этот висел именно от начала междолевой, а выше ни на см не вышел? И под него плевра главная ничуть не прогнулась - неужели совсем "не видит" его?))
К вопросу распространености процесса хотелось бы обратить Ваше внимание на правый купол диафрагмы, на первых снимках и динамику его изменений (не выше,но ниже).
И последнее:
в наших коментариях нет ответа на вопрос, поднятый Сергеем Кузминовым.
Чем страдает человек?
Если автор пубикации скажет, Что у пациентки нет и не было переферических отеков, то только КТ с контрастом сможет продвинуть нас в вопросе постановки правильного диагноза.
К вопросу распространености процесса хотелось бы обратить Ваше внимание на правый купол диафрагмы, на первых снимках и динамику его изменений (не выше,но ниже).
И последнее:
в наших коментариях нет ответа на вопрос, поднятый Сергеем Кузминовым.
Чем страдает человек?
Если автор пубикации скажет, Что у пациентки нет и не было переферических отеков, то только КТ с контрастом сможет продвинуть нас в вопросе постановки правильного диагноза.
Вы про неровность правого купола? Если объём доли уменьшился, то на освободившееся место должно было что-то сместиться. Вот и купол на мизер, но подтянулся, закрыл.
Чем страдает человек - вопрос хороший. Но ответить на него вряд ли возможно. Что было у него - договорились, вроде. Скакнуло СОЭ, температура была, кашель - вылечился, теперь ходит.) Если не напутал ничего, в версии пневмонии сошлись - с небольшими различиями, аля, каждый по-своему.))
К вопросу распространености процесса хотелось бы обратить Ваше внимание на правый купол диафрагмы, на первых снимках и динамику его изменений (не выше,но ниже).
И последнее:
в наших коментариях нет ответа на вопрос, поднятый Сергеем Кузминовым.
Чем страдает человек?
Если автор пубикации скажет, Что у пациентки нет и не было переферических отеков, то только КТ с контрастом сможет продвинуть нас в вопросе постановки правильного диагноза.
Вы про неровность правого купола? Если объём доли уменьшился, то на освободившееся место должно было что-то сместиться. Вот и купол на мизер, но подтянулся, закрыл.
Чем страдает человек - вопрос хороший. Но ответить на него вряд ли возможно. Что было у него - договорились, вроде. Скакнуло СОЭ, температура была, кашель - вылечился, теперь ходит.) Если не напутал ничего, в версии пневмонии сошлись - с небольшими различиями, аля, каждый по-своему.))
Бесспорна категоричность: эффективность антибактериальной терапии ни в коем случае не исключает рака. На первое место в исследовании у 64 летней пациентки предложу бронхоскопию с биопсией слизистой среднедолевого бронха. Врач должен помнить, что дагноз пневмонии, особенно у лиц старше 50 лет, всегда должен наводить на мысль о раке легкого. В представленном клиническом наблюдении имеет место обструктивный раковый пневмонит. С уважением Nik.
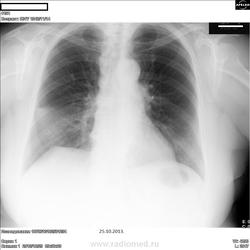
Классический случай, так как нет бокового?
По прямому - средняя доля
Что-то не даёт мне согласиться с пневмонией.То ли отсутствие бокового,то ли подпаянный купол.Да и не совсем "инфильтративно".Честно говоря,не дал бы заключения без бокового или динамики.Рака боюсь.
Возможно, в междолевой щели справа немного жидкости.
Хочешь сделать что-то нормально - сделай это сам!
+1
Боковая проекция от 25.10.13.
С Уважением, Дмитрий.
Ну,так выпот в междолевой щели,да и передний синус несвободен.Ждём динамику,должно бы рассосаться.
Ателектаз без сомнений, а жидкость вполне вписывается. Т.е. сначала центральный и потом... то же.
А мы динамики подождём и станет ясно.
+1
Пока, так называемый среднедолевой синдром, может и ателектаз.
И опять волшебное слово - "архив" есть?
Контроль от 12.11.13.
С Уважением, Дмитрий.
Прямая проекции опровергает наличие ателектаза.
Даже в положении гиперлордоза?
С Уважением, Дмитрий.
Рассосалось.Посчитаем пневмонией,осложнённой выпотом от 25.10 с положительной динамикой.
Ковач Ф., Жебек З. - Рентгенанатомические основы исследования легких
http://bookfi.org/g/%D0%9A%D0%BE%D0%B2%D0%B0%D1%87%20%D0%90.
http://windjview.sourceforge.net/ru/
И подпаянность купола рассосалась. Великая вещь - терапия!))
Только мнение: написала бы на первое Rg-исследование: ателектаз средней доли (боковой снимок - классика ателектаза; на прямой, точнее, кривой проекции - разворот и сужение передних 4-5 межреберий справа). На второе Rg-исследование: ателектаз расправился. Объяснение: мокротой забился среднедолевой бронх, пневмонии не было. Прокашлялась, и нет ателектаза. Не настаиваю))).
"Предоставляя весь смысл и совершенство в распоряжение одного только Бога, вы избавляете себя от бездны хлопот." Джон Уитборн.
Согласен, картина эффекта полного разрешения – потрясающая. Поэтому и выложил на сайт. Встречаю такое не чаще, чем, наверное, шесть позвонков в поясничном отделе. Хочется, чтоб это было классикой.
По поводу пневмонии сомнений не было. Соответствующая клиника интоксикации – была. За три дня до последних снимков СОЭ в крови – 54 мм/час. На сегодня сохраняется бледность, сухой кашель.
С Уважением, Дмитрий.
Одно "но": покажите рентген.признаки пневмонии. На первых снимках.
"Предоставляя весь смысл и совершенство в распоряжение одного только Бога, вы избавляете себя от бездны хлопот." Джон Уитборн.
Кашлевая терапия?
Да этож тема для диссера! ))))))))))))
Хочешь сделать что-то нормально - сделай это сам!
Т.е. "среднедолевого синдрома" будем мало, Любочка?....он ведь не только при раке встречается....
Болезни ног: виды, симптомы, причины, профилактика и лечение
+1
И всеж, рекомендовал бы за девушкой рентгенологически посмотреть через месяца три- шесть. Встречалось пару раз. Пример: в январе- пневмония в средней доле, пролечили - абс. норма( даже скопию делал, это 1989г., тогда можно было). В сентябре - "в том же месте , в тот же час" - пролечили - норма. В феврале след. года: ателектаз, мт и т.д. и далее в теч. года свё печально
Любовь С.: "Объяснение: мокротой забился среднедолевой бронх, пневмонии не было. Прокашлялась, и нет ателектаза. Не настаиваю)))."
А, приведенный мною пример, как Вам? Сужение УЖЕ ЕСТЬ, + м.б. и мокрота( а скорее обычный воспалительный отек стенки пораженного бронха, а кто сказал ,что раковопораженный бронх не воспаляется и не отекает?) Я как-то приводил пример на сайте, когда описан на КТ просвет бронха"с наличим жидкостного неоднородного содержимого" ( вынужден был снять по просьбе), а оказалось- инфильтрирующий рак через 4 мес. Т.е. я за Вас!
Сан Саныч1! "Кашлевая терапия? Да этож тема для диссера! ))))))))))))" Спросите коллегу Nikolas . Оказывается кашлевая терапия - давно работает ( постуральный дренаж называется)
Если исходить из предположения, что содержимое бронхиального дерева ниже бронхов 5-го порядка, как правило стерильно, то пусковым моментом пневмонии является микроаспирация.
Бронхопневмонии? Или гематогенно -, лимфогенно?
Вопрос о внебольничных пневмониях.
А вне- и вн - больничные чем отличаются?
Ой, как вас много, а я одна.
Поясню свою мысль неглубокую: я не увидела пневмонии, я увидела ателектаз. Да, его причиной могла быть пневмония, но опять же, я её не увидела. Очередной низёхонький полёт моей демагогической мысли, не более)))).
"Предоставляя весь смысл и совершенство в распоряжение одного только Бога, вы избавляете себя от бездны хлопот." Джон Уитборн.
Всем большое спасибо за помощь.
Контрольное исследование назначено через месяц от последних снимков. Буду рекомендовать КТ.
С Уважением, Дмитрий.
При чем здесь постуральный дренаж?
Выкашливать и "вылёживать" мокроту - не одно и то же.
Хочешь сделать что-то нормально - сделай это сам!
Соглашусь с наличием гиповентиляции средней доли справа. Как вариант, причиной могла быть аспирация. Но главного рентгенологического признака пневмонии - инфильтрации - не было. То есть либо пропустили начало, застали вторичную гиповентиляцию, либо... - либо.))
--------------
"Просто, по видимости, не видеть логики в очевидных вещах - это тоже одно из свойств некоторых умов, наряду с грустными думами о свойствах ума других." © Vega 08/10/2011
Сам то я написал пневмония средней доли. После контроля - в ст. разрешения. Отхождение среднедолевого бронха от промежуточного кпереди, кнаружи и книзу под углом 45 градусов значительно затрудняет его опорожнение. Почему бы воспаленной доле не ателектазировать при закупорке мокротой?
Однако среднедолевой бронх, кроме того, является самым узким и длинным долевым бронхом. Калибр его 0,5 см. Вокруг среднедолевого бронха сосредоточено наибольшее количество лимфоузлов, которые собирают лимфу от от 2/3 правого легкого. Поэтому ателектаз средней доли может возникать вследствие увеличения л/у при воспалительных процессах вне средней доли. Может инфильтрация на первых снимках все же видна, только не в четверке, а в восьмерке?
С Уважением, Дмитрий.
+ жидкость в главной междолевой плевре.
Прошу прощения за назойливость, но, уважаемый Дмитрий, Вы обозначили не 8 сегмент, а примерно 9... Но инфильтрации там нет, даже в нём (ни в прямой, нет и на боковой - суммация корня, аорты нисходящей и спондилозных оссификатов). Если думать о жидкости в главной м/долевой щели - разве что капелька будет (сомнительна и она - спавшаяся доля подсвечивает-оттеняет слегка).
--------------
"Просто, по видимости, не видеть логики в очевидных вещах - это тоже одно из свойств некоторых умов, наряду с грустными думами о свойствах ума других." © Vega 08/10/2011
А я то-то думал: ИМЕННО ВЫКАШЛИВАТЬ!
"Постуральный дренаж - лечебная процедура, облегчающая отхождение бронхиального секрета и повышающая продуктивность кашля путем придания телу специальных дренажных положений. В этих положениях мокрота продвигается под действием силы тяжести по направлению к главным бронхам и трахее, достигает области бифуркации трахеи, где чувствительность кашлевых рецепторов наибольшая, и удаляется с помощью кашля." ( ЗЫ! кашлевая терапия!!! Но "диссер" уже не наш...)
"Техника постурального дренажа проста: поднимают ножной конец кровати, убирают подушки из-под головы больного и заставляют его поворачиваться то на бок, то на живот и откашливать мокроту."( ТАКИ ОТКАШЛИВАТЬ!)
Источник: http://meduniver.com/Medical/Xirurgia/1950.html MedUniver
Так м.б. постуральный дренаж "при ЧЁМ?" А, Сан Саныч1?
Уважаемый Makcimalist спавшаяся средняя доля примыкает в прямой проекции к сердечной тени, и как правило исчезает контур сердечной тени деформируется
"Известно, что ряд патологических процессов может давать картину напоминающую инфильтрацию или ателетаз сегмента, например, междолевые выпоы, плевральные шварты, ротенционные кисты и др.
Детальное знакомство с особенностями рентгенологической картины сегментов легких может помоь врачу избежать многие диагностические ошибки" ( Розенштраух,. Рыбакова, Виннер "Рентгенодиагностика заболеваний органов дыхания" стр.35)
После повторного анализа...соглашусь...причем даже без+....просто - осумкованая жидкость:
1. Нет четкой тени в прямой проекции, а имеется только снижение прозрачности, причем близкое к однородному.
2. На этом фоне просматривается легочной рисунок.
4. Отсутствие гипервентиляции н\ и в\долей...если это ателектаз средней.
5. Веретенообразная, хотя и не четко, форма
6. Быстрая динамика
Болезни ног: виды, симптомы, причины, профилактика и лечение
Коллега, если Вас правильно понял, Вы считаете, что в наблюдении имело место и инфильтрация и междолевой плеврит, без ателектаза/гиповентиляции?..
--------------
"Просто, по видимости, не видеть логики в очевидных вещах - это тоже одно из свойств некоторых умов, наряду с грустными думами о свойствах ума других." © Vega 08/10/2011
Виктор Григорьевич, я в версии осумкованной жидкости постоял и... вышел из неё. Нечёткость тени также может быть и при гиповентиляции (автор также упоминал о гиперлордозе, возможном). Лёгочный рисунок может читаться из нижней доли, там его всегда "на одну слишком много")). Гипервентиляции нет, потому что ателктаза полного нет, да и доля средняя меньше чем оставшиеся обе. Форма всё же нечёткое веретено!) И динамика быстрая - дисковидные ателектазы быстро расправляются, а здесь пусть больше объём нарушений, но ведь неполный он даже.
--------------
"Просто, по видимости, не видеть логики в очевидных вещах - это тоже одно из свойств некоторых умов, наряду с грустными думами о свойствах ума других." © Vega 08/10/2011
Речь скорее идет именно о плеврите. Локализовать инфильтрации вне возможности метода.
Позиция становится шаткой ибо плеврит это осложнение, а не самостоятельная нозология.
Да...ситуация напоминает качели...я то - постоял в версии ателектаза...и вышел)))))
Болезни ног: виды, симптомы, причины, профилактика и лечение
Пока бродил-ходил, ещё пару палочек в костёр приволок. Если это междолевой плеврит в главной щели, отчего же добавочной междолевой не видно на больном боковом? И отчего же она появилась когда плеврит якобы разрешился?.. И ещё - понимаю, природу расположения ограничивающих спаек/сращений/ причудливых фибриновых превращений нам не разгадать, но всё же - отчего плеврит этот висел именно от начала междолевой, а выше ни на см не вышел? И под него плевра главная ничуть не прогнулась - неужели совсем "не видит" его?))
--------------
"Просто, по видимости, не видеть логики в очевидных вещах - это тоже одно из свойств некоторых умов, наряду с грустными думами о свойствах ума других." © Vega 08/10/2011
Убедили))). Согласен. Нечего было "елозить" мне)))) ...
Болезни ног: виды, симптомы, причины, профилактика и лечение
Я тоже выскажусь в пользу ателектаза со своими аргументами:за такой короткий срок-прекрасная динамика,то есть если бы был м/д плеврит,то листки плевры оставались бы еще утолщенными,а мы видим обычные,также отмечались бы изменения и по паракостальной плевре(небольшие,-но были бы)Смотрим также ход сосудов.Так что по всему выходит(с учетом других аргументов коллег)ателектаз
В спорах забыто начало.Куда делся рак?Что это было?А ведь так бывает часто.Случай классический.
Я бы этой больной выполнил МСКТ с контрастированием легочной артерии и полостей сердца, т.к. Не могу исключить ТЭЛА и, учитывая динамику, нельзя исключить прогрессирование НК, например, на фоне безболевой ишемии миокарда + ЭКГ + кардиолог
Все правильно, но подчеркну НЕ УМЕНЬШЕННАЯ В ОБЪЕМЕ.
1. Нет четкой тени в прямой проекции, а имеется только снижение прозрачности, причем близкое к однородному.
2. На этом фоне просматривается легочной рисунок.
4. Отсутствие гипервентиляции н\ и в\долей...если это ателектаз средней.
5. Веретенообразная, хотя и не четко, форма
6. Быстрая динамика
Все правильно!
Пока бродил-ходил, ещё паруПока бродил-ходил, ещё пару палочек в костёр приволок. Если это междолевой плеврит в главной щели, отчего же добавочной междолевой не видно на больном боковом? И отчего же она появилась когда плеврит якобы разрешился?.. И ещё - понимаю, природу расположения ограничивающих спаек/сращений/ причудливых фибриновых превращений нам не разгадать, но всё же - отчего плеврит этот висел именно от начала междолевой, а выше ни на см не вышел? И под него плевра главная ничуть не прогнулась - неужели совсем "не видит" его?))
__________________________________________________________
К вопросу распространености процесса хотелось бы обратить Ваше внимание на правый купол диафрагмы, на первых снимках и динамику его изменений (не выше,но ниже).
И последнее:
в наших коментариях нет ответа на вопрос, поднятый Сергеем Кузминовым.
Чем страдает человек?
Если автор пубикации скажет, Что у пациентки нет и не было переферических отеков, то только КТ с контрастом сможет продвинуть нас в вопросе постановки правильного диагноза.
Опять КТ!
Вы про неровность правого купола? Если объём доли уменьшился, то на освободившееся место должно было что-то сместиться. Вот и купол на мизер, но подтянулся, закрыл.
Чем страдает человек - вопрос хороший. Но ответить на него вряд ли возможно. Что было у него - договорились, вроде. Скакнуло СОЭ, температура была, кашель - вылечился, теперь ходит.) Если не напутал ничего, в версии пневмонии сошлись - с небольшими различиями, аля, каждый по-своему.))
--------------
"Просто, по видимости, не видеть логики в очевидных вещах - это тоже одно из свойств некоторых умов, наряду с грустными думами о свойствах ума других." © Vega 08/10/2011
Выписали пациента?
Бесспорна категоричность: эффективность антибактериальной терапии ни в коем случае не исключает рака. На первое место в исследовании у 64 летней пациентки предложу бронхоскопию с биопсией слизистой среднедолевого бронха. Врач должен помнить, что дагноз пневмонии, особенно у лиц старше 50 лет, всегда должен наводить на мысль о раке легкого. В представленном клиническом наблюдении имеет место обструктивный раковый пневмонит. С уважением Nik.