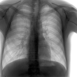
Пол пациента: Мужской пол Тип патологии: Норма, варианты нормы Область исследования: Скелетно-мышечная система Методы исследования: Rg Молодой человек. Очередная плановая ФГ. Просто посмотреть как бывает)))) ID:33439 Mon, 18/11/2013 - 16:30 #1 Любовь С. Offline Last seen: 9 years 10 months ago Joined: 23.12.2010 - 01:58 Posts: 2324 Ой, какой Люшкизм))) а переломы были или всё своё, родное?) "Предоставляя весь смысл и совершенство в распоряжение одного только Бога, вы избавляете себя от бездны хлопот." Джон Уитборн. Mon, 18/11/2013 - 17:37 #2 stovbav Offline Last seen: 2 years 7 months ago Joined: 20.12.2009 - 17:28 Posts: 7066 Любовь С. wrote: Ой, какой Люшкизм))) а переломы были или всё своё, родное?) Родное))), только там и задние отрезки "звучат")))) Болезни ног: виды, симптомы, причины, профилактика и лечение Mon, 18/11/2013 - 19:30 #3 Сергей Кузьминов Offline Last seen: 1 year 5 months ago Joined: 06.10.2012 - 15:51 Posts: 11813 Надеемся,патологию не нашли.А то,бывает.
Ой, какой Люшкизм))) а переломы были или всё своё, родное?)
"Предоставляя весь смысл и совершенство в распоряжение одного только Бога, вы избавляете себя от бездны хлопот." Джон Уитборн.
Родное))), только там и задние отрезки "звучат"))))
Болезни ног: виды, симптомы, причины, профилактика и лечение
Надеемся,патологию не нашли.А то,бывает.