You are here

"Эспертиза". 4. Случай.

Материал выставлен с согласия автора.

 

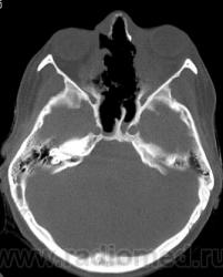
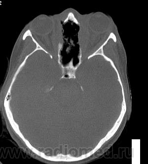
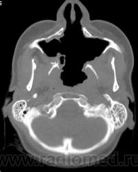
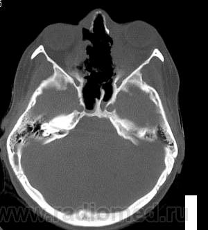
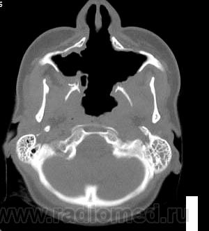
Просьба высказать мнения по поводу представленного патологического процесса.

 

  • https://radiomed.ru/sites/default/files/styles/case_slider_image/public/user/12/2.Alek_..jpg?itok=SvAnsPDa
  • https://radiomed.ru/sites/default/files/styles/case_slider_image/public/user/12/3.Alek_..jpg?itok=VzuLPwwr
  • https://radiomed.ru/sites/default/files/styles/case_slider_image/public/user/12/4.Alek_..jpg?itok=uU15clDa
  • https://radiomed.ru/sites/default/files/styles/case_slider_image/public/user/12/5.Alek_..jpg?itok=q6IMvc2_
  • https://radiomed.ru/sites/default/files/styles/case_slider_image/public/user/12/6.Alek_..jpg?itok=LYhlgTbY
ID:44701
Ola-la's picture
Offline
Last seen: 11 months 3 weeks ago
Joined: 06.12.2008 - 09:33
Posts: 1786

Кажется, это уже было - гранулематоз Вегенера, если не ошибаюсь.

rentgengb1's picture
Offline
Last seen: 12 years 1 month ago
Joined: 13.02.2009 - 23:02
Posts: 290

Гранулематоз Вегенера

Андрей Попов's picture
Offline
Last seen: 14 years 5 months ago
Joined: 24.11.2009 - 15:32
Posts: 67

Больной никак не оперировался, я так полагаю?

Деструктивный процесс в полости носа и в пазухах может представлять собой гранулематоз Вегенера. Требуется тщательное собрание анамнеза, учет клинической картины, и разумеется, биопсия.