You are here

Кашель около месяца

Пол пациента: 
Методы исследования: 

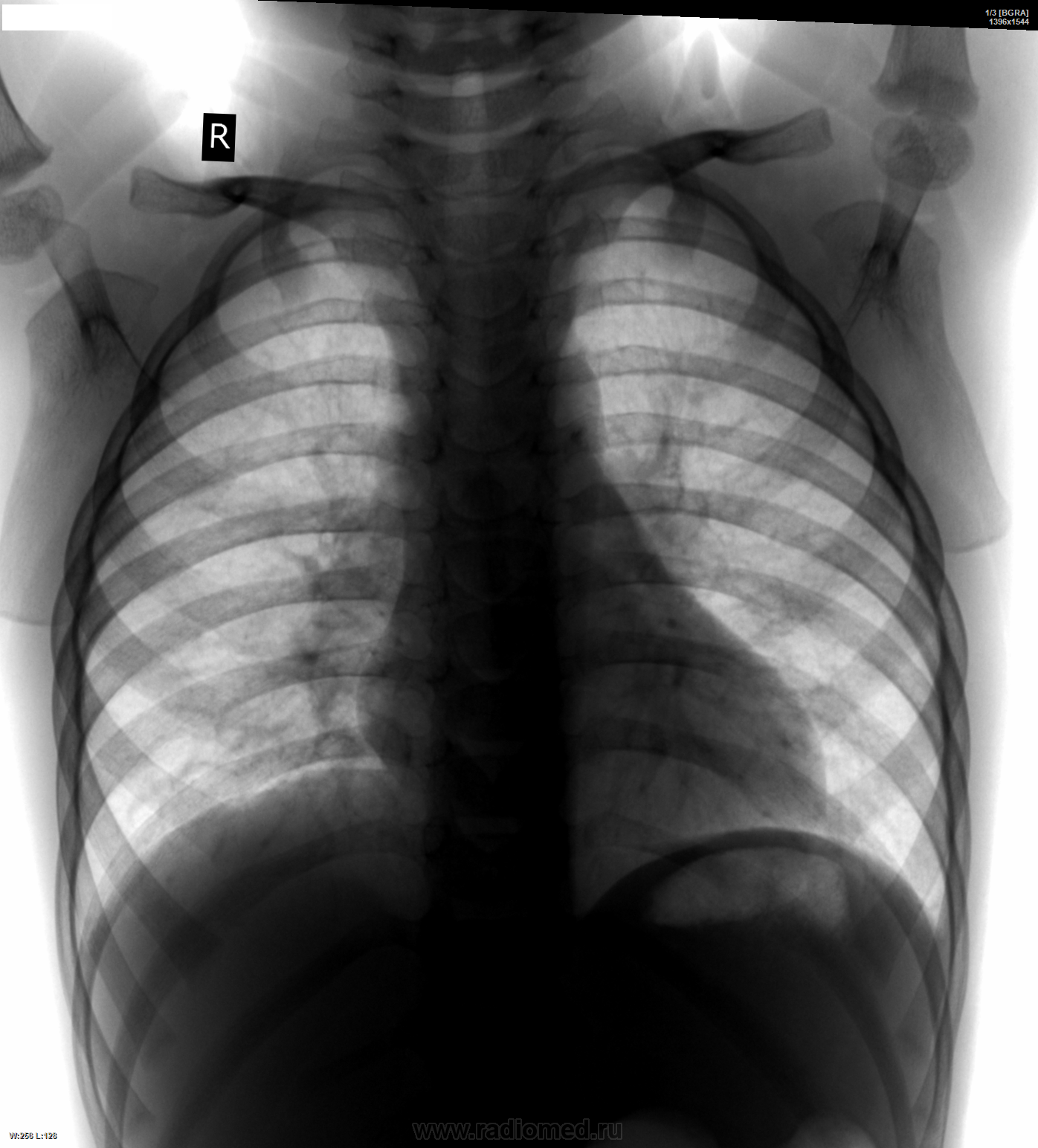
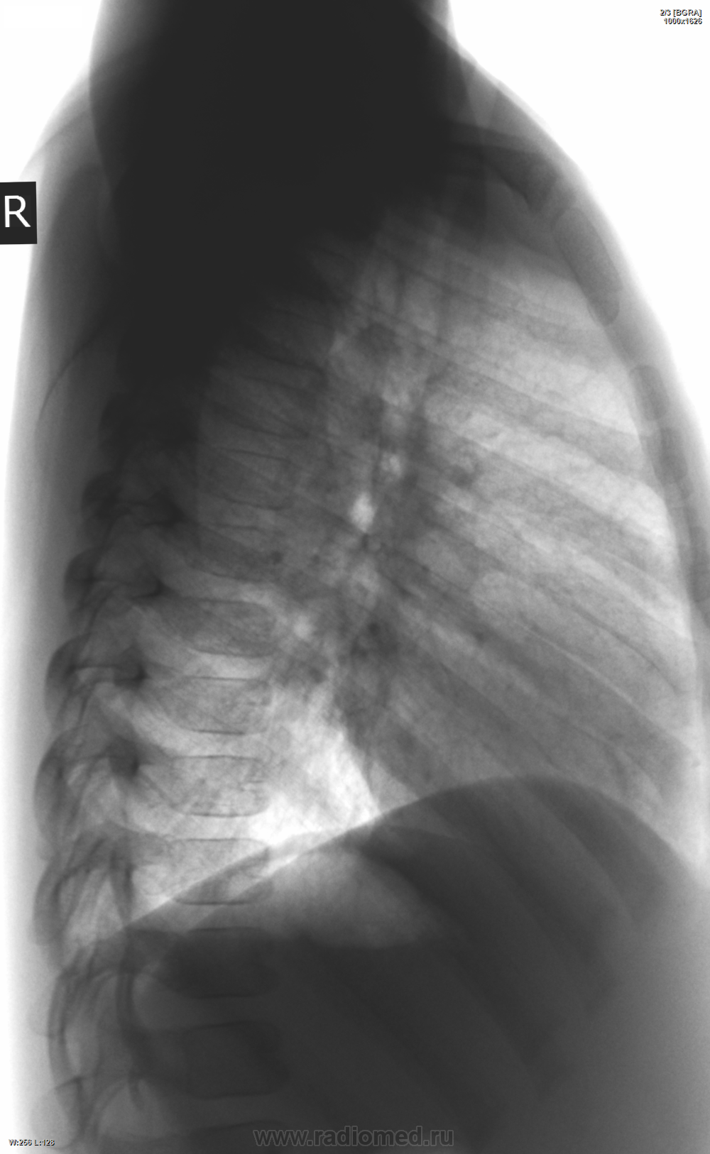
Девочка 1г7м. Кашляет со слов родителей ровно месяц. Выслушаю версии коллег - что это бронхит, ОРВИ, лимфоаденопатия или нормально почти...

 

  • https://radiomed.ru/sites/default/files/styles/case_slider_image/public/user/4508/111_lst_0001.png?itok=xuD9mOQP
ID:33537
svetlana292929's picture
Offline
Last seen: 3 years 9 months ago
Joined: 18.06.2012 - 13:53
Posts: 869

стомографировать через корни надо

И.Бондаренко's picture
Offline
Last seen: 21 hours 7 min ago
Joined: 13.09.2011 - 22:55
Posts: 9208

В детях не спец. По-моему- норма.

Сергей Кузьминов's picture
Offline
Last seen: 1 year 2 months ago
Joined: 06.10.2012 - 15:51
Posts: 11813

Придрался бы.

Приложения: 
111_lst_0001.png
Makcimalist's picture
Offline
Last seen: 11 years 10 months ago
Joined: 08.05.2010 - 14:28
Posts: 1994

Томографировать пока что нет возможности. Но тоже придрался - в правом корне что-то слегка выбухает слабой интенсивности над восходящей аортой. Пока написал ОРВИ, назначил по выздоровлении с архивом контроль...

--------------

"Просто, по видимости, не видеть логики в очевидных вещах - это тоже одно из свойств некоторых умов, наряду с грустными думами о свойствах ума других."  © Vega 08/10/2011

Nikolas's picture
Offline
Last seen: 3 weeks 4 days ago
Joined: 21.12.2010 - 20:37
Posts: 4560

Ребенка надо обследовать на тбс. Это не так уж сложно, но исключить надо.

Makcimalist's picture
Offline
Last seen: 11 years 10 months ago
Joined: 08.05.2010 - 14:28
Posts: 1994

Так и поступим!

--------------

"Просто, по видимости, не видеть логики в очевидных вещах - это тоже одно из свойств некоторых умов, наряду с грустными думами о свойствах ума других."  © Vega 08/10/2011

Бородулин М.А.'s picture
Offline
Last seen: 11 months 1 week ago
Joined: 17.02.2011 - 01:10
Posts: 1409

Makcimalist wrote:

Томографировать пока что нет возможности. Но тоже придрался - в правом корне что-то слегка выбухает слабой интенсивности над восходящей аортой. Пока написал ОРВИ, назначил по выздоровлении с архивом контроль...

ОРВИ?  

Вы совмещайте в качестве педиатра?

Возможно с точки зрения клиники коклюш?

Сольвейг's picture
Offline
Last seen: 3 years 7 months ago
Joined: 05.02.2013 - 20:25
Posts: 2239

Если нет возможности выполнить тмг сейчас ,то можно же направить ребенка в туб диспансер,где выполнят все необходимое.Спокойно можно заподозрить увеличение трахео-бронхиальных л/у справа +кашель в теч.1месяца,возможно,и с-мы интоксикации есть.Напрявляйте.Чего ждать?

ЧЮГ's picture
Offline
Last seen: 4 months 2 weeks ago
Joined: 31.10.2012 - 15:10
Posts: 414

Миргалина wrote:
Если нет возможности выполнить тмг сейчас ,то можно же направить ребенка в туб диспансер,где выполнят все необходимое.Спокойно можно заподозрить увеличение трахео-бронхиальных л/у справа +кашель в теч.1месяца,возможно,и с-мы интоксикации есть.Напрявляйте.Чего ждать?

+1

Makcimalist's picture
Offline
Last seen: 11 years 10 months ago
Joined: 08.05.2010 - 14:28
Posts: 1994

Бородулин М.А. wrote:

Makcimalist wrote:

Томографировать пока что нет возможности. Но тоже придрался - в правом корне что-то слегка выбухает слабой интенсивности над восходящей аортой. Пока написал ОРВИ, назначил по выздоровлении с архивом контроль...

ОРВИ?  

Вы совмещайте в качестве педиатра?

Возможно с точки зрения клиники коклюш?

Возможно. Нас многому научили.) Но главное, что сопоставлял я сам изменения рисунка при ОРВИ. Параллели нашёл и решил не пренебрегать ими.

Девочке на (возможную) лимфоаденопатию указал. Дообследование, уверен, будет. Если лучше не станет, то не случится очередной контрольный сериал.

--------------

"Просто, по видимости, не видеть логики в очевидных вещах - это тоже одно из свойств некоторых умов, наряду с грустными думами о свойствах ума других."  © Vega 08/10/2011

Сергей Кузьминов's picture
Offline
Last seen: 1 year 2 months ago
Joined: 06.10.2012 - 15:51
Posts: 11813

Миргалина wrote:
Если нет возможности выполнить тмг сейчас ,то можно же направить ребенка в туб диспансер,где выполнят все необходимое.Спокойно можно заподозрить увеличение трахео-бронхиальных л/у справа +кашель в теч.1месяца,возможно,и с-мы интоксикации есть.Напрявляйте.Чего ждать?
Сомневаюсь в возможностях тубдиспансеров.Очень сильно сомневаюсь на основании личного опыта.

Сольвейг's picture
Offline
Last seen: 3 years 7 months ago
Joined: 05.02.2013 - 20:25
Posts: 2239

Сергей Кузьминов wrote:

Миргалина wrote:
Если нет возможности выполнить тмг сейчас ,то можно же направить ребенка в туб диспансер,где выполнят все необходимое.Спокойно можно заподозрить увеличение трахео-бронхиальных л/у справа +кашель в теч.1месяца,возможно,и с-мы интоксикации есть.Напрявляйте.Чего ждать?
Сомневаюсь в возможностях тубдиспансеров.Очень сильно сомневаюсь на основании личного опыта.

Я не сомневаюсь, в нашем,по крайней мере

Бородулин М.А.'s picture
Offline
Last seen: 11 months 1 week ago
Joined: 17.02.2011 - 01:10
Posts: 1409

Makcimalist wrote:

Но главное, что сопоставлял я сам изменения рисунка при ОРВИ. Параллели нашёл и решил не пренебрегать ими.

 

С этого момента подробнее пожалуйста.

bocharovav's picture
Offline
Last seen: 12 years 3 weeks ago
Joined: 05.11.2013 - 22:18
Posts: 54

Поделитесь своими параллелями, подалуйста, крайне любопытно и интересно. Я даже не задумывался что они есть.

Makcimalist's picture
Offline
Last seen: 11 years 10 months ago
Joined: 08.05.2010 - 14:28
Posts: 1994

Ну, что уж рассказывать. Смотрел на рисунок в прикорневых зонах - на его обогащённость, нечёткость, размытость лёгкую самих корешков. Смотрел, когда в клинику пациента был посвящён.)

Это как с лёгочной гипертензией. Тоже параллелизм наблюдал. От Анатолия Владимировича нашего пожуряй небольшой получал.) Да, бывают и исключения. В обоих случаях.) На то и рентгенология - не совсем точная есть наука.

--------------

"Просто, по видимости, не видеть логики в очевидных вещах - это тоже одно из свойств некоторых умов, наряду с грустными думами о свойствах ума других."  © Vega 08/10/2011

Бородулин М.А.'s picture
Offline
Last seen: 11 months 1 week ago
Joined: 17.02.2011 - 01:10
Posts: 1409

Не убедили.

Makcimalist's picture
Offline
Last seen: 11 years 10 months ago
Joined: 08.05.2010 - 14:28
Posts: 1994

Михаил Анатольевич, так я и не пытался. И цифры не называл. Просто скажу, что статистически выборка была не мала - то есть для меня (и статистики) вполне достоверна. Но приблизительна, да.))

--------------

"Просто, по видимости, не видеть логики в очевидных вещах - это тоже одно из свойств некоторых умов, наряду с грустными думами о свойствах ума других."  © Vega 08/10/2011

Nikolas's picture
Offline
Last seen: 3 weeks 4 days ago
Joined: 21.12.2010 - 20:37
Posts: 4560

Поддержу коллегу Максималиста. Подобные изменения мне известны давно. Они встречаются не только у детей, но и взрослых при воспалении носоглотки. Кто описал не знаю, он в ординатуре учителя мои обращали на это внимание. Makcimalist пришёл к этому самостоятельно, что делает ему честь. Другим врачам целесообразно обратить внимание на эту взаимосвязь.

алкс's picture
Offline
Last seen: 10 years 2 months ago
Joined: 24.10.2012 - 22:55
Posts: 2915

Nikolas wrote:

Поддержу коллегу Максималиста. Подобные изменения мне известны давно. Они встречаются не только у детей, но и взрослых при воспалении носоглотки. Кто описал не знаю, он в ординатуре учителя мои обращали на это внимание. Makcimalist пришёл к этому самостоятельно, что делает ему честь. Другим врачам целесообразно обратить внимание на эту взаимосвязь.

Не поддержу.

"Кто описал не знаю,"

!!!

Так это мой коллега описал, описывает и будет! Пишет: " при наличии клиники- рентгенпризнаки - ОРВИ"  А без наличия?

Или как там, в недружественных странах, говорят: " На нэт - и суда нэт"?

Makcimalist's picture
Offline
Last seen: 11 years 10 months ago
Joined: 08.05.2010 - 14:28
Posts: 1994

алкс wrote:

Nikolas wrote:

Поддержу коллегу Максималиста. Подобные изменения мне известны давно. Они встречаются не только у детей, но и взрослых при воспалении носоглотки. Кто описал не знаю, он в ординатуре учителя мои обращали на это внимание. Makcimalist пришёл к этому самостоятельно, что делает ему честь. Другим врачам целесообразно обратить внимание на эту взаимосвязь.

..." при наличии клиники- рентгенпризнаки - ОРВИ"  А без наличия?

Без наличия клиники с такими же снимками не работал пока. В наблюдениях моих собственных клиника вирусная была. НО вирусов много, поражают они немного по-разному - каждый (и) что-то своё. Так что либо отражены изменения на снимке, либо вирус пока ещё высоко.)

--------------

"Просто, по видимости, не видеть логики в очевидных вещах - это тоже одно из свойств некоторых умов, наряду с грустными думами о свойствах ума других."  © Vega 08/10/2011