You are here

помогите определиться с заключением

Пол пациента: 
Область исследования: 
Методы исследования: 

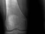
Женщина 1950 г.р.Направлена на рентгенографию по поводу артроза коленных суставов. Предыдущих снимков нет, С 2000 года в карточке нашла записи хирурга(артрит, артроз левого коленного сустава).В рентгенологических протоколах артроз. Мне не понравился правый коленный сустав, а именно дистальный метафиз. Похоже на остеоид-остеому?

  • https://radiomed.ru/sites/default/files/styles/case_slider_image/public/user/2841/20131203_131009_0-.jpg?itok=GEXoxiUP
ID:33898
Юлия's picture
Offline
Last seen: 10 years 6 months ago
Joined: 03.02.2009 - 20:00
Posts: 151

Остеоид-остеома?

Юлия 

алкс's picture
Offline
Last seen: 10 years 3 months ago
Joined: 24.10.2012 - 22:55
Posts: 2915

И не только, м.б. и просто эностоз, и инфаркт, и много кто. А прямого нет?

Юлия's picture
Offline
Last seen: 10 years 6 months ago
Joined: 03.02.2009 - 20:00
Posts: 151

Вы имели наверноее в виду прямой? Есть, только там мало чего видится...

Юлия 

алкс's picture
Offline
Last seen: 10 years 3 months ago
Joined: 24.10.2012 - 22:55
Posts: 2915

Да конечно прямого, извините. Уже поправил.  Похоже, если видеть только какое-то разрежение, вокруг очага уплотнения. Пателла как-то не сильно конгруентна, признаки 2стад. артроза имеются.( м.б. отсюда боли?)

Юлия's picture
Offline
Last seen: 10 years 6 months ago
Joined: 03.02.2009 - 20:00
Posts: 151

Да, артроз бесспорен, но меня больше интересует, что это такое в метафизе?!

 

Юлия 

Dima's picture
Offline
Last seen: 7 years 5 months ago
Joined: 05.08.2012 - 17:39
Posts: 2467

Мой диф ряд такой энхондрома, хондросаркома, инфаркт костного мозга

Терпимость - это когда прощают чужие ошибки; такт - когда не замечают их. (Артур Шницлер)

Андрей Юрьевич's picture
Offline
Last seen: 1 month 1 week ago
Joined: 16.11.2008 - 22:16
Posts: 18101

Да, непростая штука. Посмотрите, может из этого что подойдет http://www.radiologyassistant.nl/en/p4bc9a97980036/sclerotic-bone-tumors-and-tumor-like-lesions.html

Андрей Юрьевич

Dima's picture
Offline
Last seen: 7 years 5 months ago
Joined: 05.08.2012 - 17:39
Posts: 2467

Немного подредактировал изображения:

Приложения: 
bedro.jpgbedro2.jpg

Терпимость - это когда прощают чужие ошибки; такт - когда не замечают их. (Артур Шницлер)

Makcimalist's picture
Offline
Last seen: 11 years 11 months ago
Joined: 08.05.2010 - 14:28
Posts: 1994

Энхондрому напоминает. А остеоид-остеому - нет.

Мы все учились на подобном... Все составляли мы диф.ряд. А кто-то запросто писал образование в кости и для обследования рекомендовал КТ. Кто так писал и сейчас так пишет. Может, не совсем дурак.)
КТ  - в студию!)

--------------

"Просто, по видимости, не видеть логики в очевидных вещах - это тоже одно из свойств некоторых умов, наряду с грустными думами о свойствах ума других."  © Vega 08/10/2011

Юлия's picture
Offline
Last seen: 10 years 6 months ago
Joined: 03.02.2009 - 20:00
Posts: 151

Спасибо огромное, так более четко,особенно в боковой проекции.Никаких нвых предположений?Похоже на остеоид-остеому,но плотная часть какая-то неоднородная,склеротический ободок присутствует.А может это киста старая?

Юлия 

Юлия's picture
Offline
Last seen: 10 years 6 months ago
Joined: 03.02.2009 - 20:00
Posts: 151

Спасибо, видимо так и поступлю, КТ...

Юлия 

Makcimalist's picture
Offline
Last seen: 11 years 11 months ago
Joined: 08.05.2010 - 14:28
Posts: 1994

Юлия wrote:

Спасибо огромное, так более четко,особенно в боковой проекции.Никаких нвых предположений?Похоже на остеоид-остеому,но плотная часть какая-то неоднородная,склеротический ободок присутствует.А может это киста старая?

Может быть, много чего... Кисты версия заинтриговала. Я такого себе бы сейчас не позволил уже.) Насчёт остеоид-остеомы - вместо склеротического ободка здесь ободок локального пороза - то есть нет в гнезде типичного яйца.)

--------------

"Просто, по видимости, не видеть логики в очевидных вещах - это тоже одно из свойств некоторых умов, наряду с грустными думами о свойствах ума других."  © Vega 08/10/2011

Андрей Юрьевич's picture
Offline
Last seen: 1 month 1 week ago
Joined: 16.11.2008 - 22:16
Posts: 18101

Makcimalist wrote:
...КТ  - в студию!)

Юлия wrote:
Спасибо, видимо так и поступлю, КТ...

Коллеги, а почему не МРТ? Мягкотканный компонент (если предполагать опухоль) виден же лучше.

Андрей Юрьевич

Юлия's picture
Offline
Last seen: 10 years 6 months ago
Joined: 03.02.2009 - 20:00
Posts: 151

Согласна,классического плотного центра нет,  но образование имеет достаточно четкие контуры ,периферические отделы намного плотнее, чем центральная часть, как скорлупка, а за ней уже идет зона разряжения костной структуры.Короче говоря, вызвана на дообследование, будем переснимать на цифру...

Юлия 

schlyapa's picture
Offline
Last seen: 8 years 2 months ago
Joined: 27.09.2013 - 22:15
Posts: 613

В м\т на боковой проекции позади бедренной кости тень имеется.

Makcimalist's picture
Offline
Last seen: 11 years 11 months ago
Joined: 08.05.2010 - 14:28
Posts: 1994

Андрей Юрьевич wrote:

Makcimalist wrote:
...КТ  - в студию!)

Юлия wrote:
Спасибо, видимо так и поступлю, КТ...

Коллеги, а почему не МРТ? Мягкотканный компонент (если предполагать опухоль) виден же лучше.

Можно и МРТ, если доступен аппарат и очередь не на месяцы вперёд расписана, тогда да.)

schlyapa wrote:
В м\т на боковой проекции позади бедренной кости тень имеется.

Тень такую мышечный компонент даёт. Это нормально - гомогенная и плотность обычная.

--------------

"Просто, по видимости, не видеть логики в очевидных вещах - это тоже одно из свойств некоторых умов, наряду с грустными думами о свойствах ума других."  © Vega 08/10/2011

schlyapa's picture
Offline
Last seen: 8 years 2 months ago
Joined: 27.09.2013 - 22:15
Posts: 613

[/quote]

Тень такую мышечный компонент даёт. Это нормально - гомогенная и плотность обычная.

[/quote]

Вы про обрезанную тень в верхней части снимка?

Makcimalist's picture
Offline
Last seen: 11 years 11 months ago
Joined: 08.05.2010 - 14:28
Posts: 1994

schlyapa wrote:

 Вы про обрезанную тень в верхней части снимка?

Сорри. Смотрел на сустав, позади него - да, выше - решил, артефакт. Но сам заинтересовался теперь - как-то не совсем типична для артефакта форма такая. Значит, будет ещё одно показание для КТ. Теперь уж точно оно будет! Заключения буду ждать. Интересно, чем эту тень на КТ сотворят.)

--------------

"Просто, по видимости, не видеть логики в очевидных вещах - это тоже одно из свойств некоторых умов, наряду с грустными думами о свойствах ума других."  © Vega 08/10/2011

schlyapa's picture
Offline
Last seen: 8 years 2 months ago
Joined: 27.09.2013 - 22:15
Posts: 613

На артефакт вроде не похоже. Не знаю, будет ли КТ\МРТ, но если "вызвана на дообследование, будем переснимать на цифру", хорошо бы захватить эту зону.

Андрей Юрьевич's picture
Offline
Last seen: 1 month 1 week ago
Joined: 16.11.2008 - 22:16
Posts: 18101

Makcimalist wrote:

Андрей Юрьевич wrote:

Makcimalist wrote:
...КТ  - в студию!)

Юлия wrote:
Спасибо, видимо так и поступлю, КТ...

Коллеги, а почему не МРТ? Мягкотканный компонент (если предполагать опухоль) виден же лучше.

Можно и МРТ, если доступен аппарат и очередь не на месяцы вперёд расписана, тогда да.)

Makcimalist wrote:
...Значит, будет ещё одно показание для КТ. Теперь уж точно оно будет! ...

Далась вам эта КТ.
На 01.01.2013 в  половине районов Московской области КТ-аппаратов не было совсем, в МОНИКИ в прошлом году очредь для амбулаторных больных была 7 мес.

Андрей Юрьевич

Makcimalist's picture
Offline
Last seen: 11 years 11 months ago
Joined: 08.05.2010 - 14:28
Posts: 1994

Андрей Юрьевич, мысль Вашу понял. Зачем же копи-пастить?) Скоро дежавю будет!))

--------------

"Просто, по видимости, не видеть логики в очевидных вещах - это тоже одно из свойств некоторых умов, наряду с грустными думами о свойствах ума других."  © Vega 08/10/2011

Андрей Юрьевич's picture
Offline
Last seen: 1 month 1 week ago
Joined: 16.11.2008 - 22:16
Posts: 18101

Как зачем? Старое правило: "информация должна дублироваться". Вот еще, для закрепления:

Павел Евгеньевич wrote:

...а у нас в Сибири просто ЖОПА...

В три района рядом расположенным со мной поставили новенькие КТ аппараты в августе-сентябре прошлого года.. - и ЧТО? и ни чего в одном он даже не распакованый стоит - тухнет. В двух других установили- и ЧТО? и ни чего. На один приглашали меня ездить работать (без учебы, без ничего) ВЕЖЛИВО отказл. В другой 2 раза в месяц катается врач из Красноярска. Как Вам такая диагностика??? Б....ть ДВА раза в месяц!!!!!!!!!

Андрей Юрьевич

Юлия's picture
Offline
Last seen: 10 years 6 months ago
Joined: 03.02.2009 - 20:00
Posts: 151

В проекции н/3 диафиза по задней поверхности-это артефакт. А по задней поверхности  на уровне суставной щели-мягкие ткани, симметрично с обеих сторон, разве нет?

Приложения: 
20131203_131021-1.jpg

Юлия 

Юлия's picture
Offline
Last seen: 10 years 6 months ago
Joined: 03.02.2009 - 20:00
Posts: 151

В проекции н/3 диафиза по задней поверхности-это артефакт. А по задней поверхности  на уровне суставной щели-мягкие ткани, симметрично с обеих сторон, разве нет?

Приложения: 
20131205_085903.jpg20131203_131021-1.jpg

Юлия 

Dima's picture
Offline
Last seen: 7 years 5 months ago
Joined: 05.08.2012 - 17:39
Posts: 2467

Юлия wrote:

В проекции н/3 диафиза по задней поверхности-это артефакт. А по задней поверхности  на уровне суставной щели-мягкие ткани, симметрично с обеих сторон, разве нет?

Я думаю модераторы вас покарают за раскрытие информации о пациенте...

Терпимость - это когда прощают чужие ошибки; такт - когда не замечают их. (Артур Шницлер)

Makcimalist's picture
Offline
Last seen: 11 years 11 months ago
Joined: 08.05.2010 - 14:28
Posts: 1994

Андрей Юрьевич wrote:

Как зачем? Старое правило: "информация должна дублироваться". Вот еще, для закрепления:

Павел Евгеньевич wrote:

...а у нас в Сибири просто ЖОПА...

В три района рядом расположенным со мной поставили новенькие КТ аппараты в августе-сентябре прошлого года.. - и ЧТО? и ни чего в одном он даже не распакованый стоит - тухнет. В двух других установили- и ЧТО? и ни чего. На один приглашали меня ездить работать (без учебы, без ничего) ВЕЖЛИВО отказл. В другой 2 раза в месяц катается врач из Красноярска. Как Вам такая диагностика??? Б....ть ДВА раза в месяц!!!!!!!!!

Дублироваться, конечно, должна информация. Но ещё должна быть к нужному месту она. Мы говорим, если возможность есть (есть аппарат, специалист на нём есть), то можно и направить на дообследование - нормальная ситуация. А про программу модернизации здравозахоронения речи здесь не было.

--------------

"Просто, по видимости, не видеть логики в очевидных вещах - это тоже одно из свойств некоторых умов, наряду с грустными думами о свойствах ума других."  © Vega 08/10/2011

Makcimalist's picture
Offline
Last seen: 11 years 11 months ago
Joined: 08.05.2010 - 14:28
Posts: 1994

Dima wrote:

Юлия wrote:

В проекции н/3 диафиза по задней поверхности-это артефакт. А по задней поверхности  на уровне суставной щели-мягкие ткани, симметрично с обеих сторон, разве нет?

Я думаю модераторы вас покарают за раскрытие информации о пациенте...

Думаю, пожурят сначала.) А потом, если будет повторяться такое - тоже не сильно похвалят.

Насчёт артефакта - Вам как автору ветки виднее (оригинал у Вас в руках), нам - отсвечивает только тот артефакт. А изображения анонимизируйте. Информацию о пациентах и мы как врачи умеем хранить.)

--------------

"Просто, по видимости, не видеть логики в очевидных вещах - это тоже одно из свойств некоторых умов, наряду с грустными думами о свойствах ума других."  © Vega 08/10/2011

Helios's picture
Offline
Last seen: 10 months 1 week ago
Joined: 06.08.2010 - 15:16
Posts: 4417

Я и журить не буду.Просто попрошу  перезалить снимки без данных пациента и все.Вежливо.

Юлия's picture
Offline
Last seen: 10 years 6 months ago
Joined: 03.02.2009 - 20:00
Posts: 151

Вот такой казус случился, увлеклась...Как это ПЕРЕЗАЛИТЬ?

Юлия 

Юлия's picture
Offline
Last seen: 10 years 6 months ago
Joined: 03.02.2009 - 20:00
Posts: 151

Да, косяк мой, увлеклась...согласна, исправлюсь...А с заключением-то мысли какие-нибудь есть помимо артефактов и теней по задней поверхности ...???

Юлия 

Юлия's picture
Offline
Last seen: 10 years 6 months ago
Joined: 03.02.2009 - 20:00
Posts: 151

Ура!!!!Получилось...Больше так не буду.

Юлия 

Makcimalist's picture
Offline
Last seen: 11 years 11 months ago
Joined: 08.05.2010 - 14:28
Posts: 1994

Юлия wrote:

...А с заключением-то мысли какие-нибудь есть помимо артефактов и теней по задней поверхности ...???

Так мысли высказывались аж в начале ветки. И Вы согласились дообследовать и с нами поделиться информацией новой о пациенте.

--------------

"Просто, по видимости, не видеть логики в очевидных вещах - это тоже одно из свойств некоторых умов, наряду с грустными думами о свойствах ума других."  © Vega 08/10/2011

Юлия's picture
Offline
Last seen: 10 years 6 months ago
Joined: 03.02.2009 - 20:00
Posts: 151

К великому сожалению пациентка на сегодняшний день к нам не явилась...Ждемс...я выставила дифряд: костный инфаркт,энхондрома, хондросаркома и рекомендовала ей КТ.

Юлия