You are here

Новорожденный по ургенции

Пол пациента: 
Тип патологии: 
Методы исследования: 

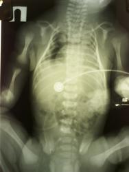
Свежий случай, 3 часа назад. Новорожденный 38-39 недель гестации. Из анамнеза известно, что антенатально виявили аплазию легких и порок серца. Прошу, коллеги, ваши мнения. Особенно меня интересует интерпритация воздуха в грудной полости, так как мнения по этому вопросу разошлись.

.

  • https://radiomed.ru/sites/default/files/styles/case_slider_image/public/user/16827/dsc_0709-2.jpg?itok=y9cua_6l
ID:33895
Makcimalist's picture
Offline
Last seen: 12 years 2 months ago
Joined: 08.05.2010 - 14:28
Posts: 1994

Вы говорите про наличие воздуха в плевральной полости?.. Что-то не вижу оного.

Но нужно дождаться мнения нашего сайтовского неонатолога.)

--------------

"Просто, по видимости, не видеть логики в очевидных вещах - это тоже одно из свойств некоторых умов, наряду с грустными думами о свойствах ума других."  © Vega 08/10/2011

Алексей Игоревич Чернявский's picture
Offline
Last seen: 7 years 3 months ago
Joined: 08.08.2012 - 21:52
Posts: 786

Справа возле сердца, дальше выше горизонтальная полоска. Это ткань гипоплазированная, эмфизема или свободный воздух? Бронхограммы никакой тоже не видно... Дыхание прослушивается только в верхних отделах, паратрахеально скажем так. Остальная большая часть легких немая.

"Обучая других - учишься сам". Н.И.Пирогов
 

Makcimalist's picture
Offline
Last seen: 12 years 2 months ago
Joined: 08.05.2010 - 14:28
Posts: 1994

Хорошо бы его (ребёнка этого) как-нибудь сидя отснять... Если невозможно стоя - жидкость справа в плевральной полости подсказала бы пневмоторакс. А так ...(

--------------

"Просто, по видимости, не видеть логики в очевидных вещах - это тоже одно из свойств некоторых умов, наряду с грустными думами о свойствах ума других."  © Vega 08/10/2011

Андрей Юрьевич's picture
Offline
Last seen: 3 weeks 6 days ago
Joined: 16.11.2008 - 22:16
Posts: 18106

Работаете с CR-ом? Диафрагмировать надо по грудной клетке, изображение будет крупнее. Ну, и них, конечно, прикрывать защитой надо, а то можете огрести за несоблюдение радиационной безопасности. Воздух, конечно есть, но где он? Анамнез - это не только антенатальный период, но и неонатальный тоже. Может его эндотрахеально поддули "мама не горюй"? Написал бы - возможны левосторонний пневмоторакс, интерстициальная эмфизема в верхней доле, пневмомедиастинум.

Makcimalist wrote:

Но нужно дождаться мнения нашего сайтовского неонатолога.)


Я бы тоже его подождал, но кто это? Ola-la? Вы же тоже, Максималист, неонаталогию описываете?

Андрей Юрьевич

ЕЕЮ's picture
Offline
Last seen: 2 years 7 months ago
Joined: 26.08.2013 - 11:22
Posts: 410

cниок сделан лежа, правильно? Надо правый бок снять и прямой - вертикально!

Алексей Игоревич Чернявский's picture
Offline
Last seen: 7 years 3 months ago
Joined: 08.08.2012 - 21:52
Posts: 786

Андрей Юрьевич wrote:

Работаете с CR-ом? Диафрагмировать надо по грудной клетке, изображение будет крупнее. Ну, и них, конечно, прикрывать защитой надо, а то можете огрести за несоблюдение радиационной безопасности. Воздух, конечно есть, но где он? Анамнез - это не только антенатальный период, но и неонатальный тоже. Может его эндотрахеально поддули "мама не горюй"? Написал бы - возможны левосторонний пневмоторакс, интерстициальная эмфизема в верхней доле, пневмомедиастинум.

Нет, CR-а нету) Обычный древний АРМАН. Тут еще интересовала брюшная полость, по-этому отсняли целяком. Также примерно и думал. Также примерно и написал. Только вот никто со мной не соглашается насчет пневмоторакса и пневмомедиастинума.
 

Отснять стоя или сидя противопоказано, пациент терминальный. Бок если повезет сегодня доделаю.

"Обучая других - учишься сам". Н.И.Пирогов
 

nbb's picture
nbb
Offline
Last seen: 5 months 1 week ago
Joined: 02.06.2012 - 22:18
Posts: 476

ЕЕЮ wrote:

cниок сделан лежа, правильно? Надо правый бок снять и прямой - вертикально!

+1

nbb's picture
nbb
Offline
Last seen: 5 months 1 week ago
Joined: 02.06.2012 - 22:18
Posts: 476

А если брюшная полость, то почему лежа?

Ola-la's picture
Offline
Last seen: 1 year 3 months ago
Joined: 06.12.2008 - 09:33
Posts: 1786

Андрей Юрьевич wrote:

 

 

Я бы тоже его подождал, но кто это? Ola-la? Вы же тоже, Максималист, неонаталогию описываете?

Это не я, я с новорожденными не работаю, у нас их нет, 10 лет назад работала, уже забыла )))))

А здесь, думаю, пневмоторакс справа. 

Makcimalist's picture
Offline
Last seen: 12 years 2 months ago
Joined: 08.05.2010 - 14:28
Posts: 1994

Андрей Юрьевич wrote:

Работаете с CR-ом? Диафрагмировать надо по грудной клетке, изображение будет крупнее. Ну, и них, конечно, прикрывать защитой надо, а то можете огрести за несоблюдение радиационной безопасности. Воздух, конечно есть, но где он? Анамнез - это не только антенатальный период, но и неонатальный тоже. Может его эндотрахеально поддули "мама не горюй"? Написал бы - возможны левосторонний пневмоторакс, интерстициальная эмфизема в верхней доле, пневмомедиастинум.

Makcimalist wrote:

Но нужно дождаться мнения нашего сайтовского неонатолога.)


Я бы тоже его подождал, но кто это? Ola-la? Вы же тоже, Максималист, неонаталогию описываете?

Андрей Юрьевич, я про Вас говорил. Описываю, но так часто как Вы.) Насчёт пневмоторакса - наверное, всё-таки справа, Вы считаете?..

Насчёт аплазии лёгких. Вопрос к автору - аплазия обоих лёгких? Каким методом была установлена - на УЗИ что ли?

И что насчёт брюшной полости - какие изменения исключали и чего решили?..

--------------

"Просто, по видимости, не видеть логики в очевидных вещах - это тоже одно из свойств некоторых умов, наряду с грустными думами о свойствах ума других."  © Vega 08/10/2011

Dr. Grey's picture
Offline
Last seen: 3 years 11 months ago
Joined: 26.01.2012 - 21:54
Posts: 83

     Высказываю свои предположения очень осторожно. Нельзя ли считать пневматизированные отделы правого легкого участками сегментарной эмфиземы? Учитывая,что у ребенка порок сердца,может быть тень, расположенная паракардиально справа является увеличенной v.cava? и тогда субстратом левого гемиторакса может быть увеличенное сердце и аплазированное легкое.

Андрей Юрьевич's picture
Offline
Last seen: 3 weeks 6 days ago
Joined: 16.11.2008 - 22:16
Posts: 18106

Да, все правы, описка (утро, торопился): пневмоторакс правосторонний.

Андрей Юрьевич

Бородулин М.А.'s picture
Offline
Last seen: 1 year 2 months ago
Joined: 17.02.2011 - 01:10
Posts: 1409

 

Снимок не диагностический.

 

 

Makcimalist's picture
Offline
Last seen: 12 years 2 months ago
Joined: 08.05.2010 - 14:28
Posts: 1994

Dr. Grey wrote:

     Высказываю свои предположения очень осторожно. Нельзя ли считать пневматизированные отделы правого легкого участками сегментарной эмфиземы? Учитывая,что у ребенка порок сердца,может быть тень, расположенная паракардиально справа является увеличенной v.cava? и тогда субстратом левого гемиторакса может быть увеличенное сердце и аплазированное легкое.

Была мысль за кистозную трансформацию правого лёгкого. Насчёт полой вены - наверное, многовато для неё. Слева - также многовато для аорты тогда будет. Лёгочная ткань уплотнённая, местами недорасправленная, быть может, такая. А ещё тимус как же - не забываем...

Бородулин М.А. wrote:

Снимок не диагностический.

Сразу хотел так написать. Проще всего. Но вряд ли контроль лучшим будет. Главное - в режиме снимок, с вполне приличной укладкой. Контроль буду ждать - сомнения интерпретировать лучше на двух снимках, чем на одном - это правило пока работает. А ещё лучше на трёх.( Но надеюсь, прояснится многое скорее всё же.

--------------

"Просто, по видимости, не видеть логики в очевидных вещах - это тоже одно из свойств некоторых умов, наряду с грустными думами о свойствах ума других."  © Vega 08/10/2011

Алексей Игоревич Чернявский's picture
Offline
Last seen: 7 years 3 months ago
Joined: 08.08.2012 - 21:52
Posts: 786

Makcimalist wrote:

Насчёт аплазии лёгких. Вопрос к автору - аплазия обоих лёгких? Каким методом была установлена - на УЗИ что ли?

И что насчёт брюшной полости - какие изменения исключали и чего решили?..

Да, обоих легких. Опредилили на УЗИ в сроке 34 недели, не у нас, во Львове в перинатальном центре. В животе хирурги искали любую зацепку (патология сочетаная).

"Обучая других - учишься сам". Н.И.Пирогов
 

Алексей Игоревич Чернявский's picture
Offline
Last seen: 7 years 3 months ago
Joined: 08.08.2012 - 21:52
Posts: 786

И так, ничего хорошего не дождались. Патанатомия. По предварительной справке - множественные врожденные пороки развития (легкие, почки, мозг; сердце оценили нормальным). Конкретно по грудной полости - гипоплазия обоих легких, кистозное поражение правого легкого и средостения (вот и наш воздух). Насчет других органов распрашивать детали было не уместно. Подожду офицального документа. К рентгенологу пока претензий нету.

Коллега Makcimalist подобрался ближе всех)

"Обучая других - учишься сам". Н.И.Пирогов
 

Андрей Юрьевич's picture
Offline
Last seen: 3 weeks 6 days ago
Joined: 16.11.2008 - 22:16
Posts: 18106

Алексей Игоревич Чернявский wrote:
... Коллега Makcimalist подобрался ближе всех)

Так что, коллега Максималист это не я, а вы - наш сайтовский неонатолог.

Алексей Игоревич Чернявский wrote:
... к рентгенологу пока претензий нету....

А что написал рентгенолог?

Алексей Игоревич Чернявский wrote:
... кистозное поражение ... средостения (вот и наш воздух). ...

Т.е. воздушная киста средостения? Такое бывает?

Андрей Юрьевич

Алексей Игоревич Чернявский's picture
Offline
Last seen: 7 years 3 months ago
Joined: 08.08.2012 - 21:52
Posts: 786

Ренгенолог написал гипоплазию легких, врожденный порок сердца; не исключено правосторонний пневмоторакс, пневмомедиастинум. Насчет воздушных кист средостения сам не знаю, надо покапаться в литературе. Наверное какие-то кистозные мальформации могут быть. Но мое мнение, что свободный воздух всетаки был. Как его доказать на секции? Только вскрыли, он вышел и все.

"Обучая других - учишься сам". Н.И.Пирогов
 

Dr.Yllich's picture
Offline
Last seen: 1 year 9 months ago
Joined: 01.05.2011 - 22:52
Posts: 1196

В подобных случаях произвожу латерограмму на спине - для пациента необременительно (даже находящегося на ИВЛ).

С уважением. Ильич.

Makcimalist's picture
Offline
Last seen: 12 years 2 months ago
Joined: 08.05.2010 - 14:28
Posts: 1994

Андрей Юрьевич wrote:

Алексей Игоревич Чернявский wrote:
... Коллега Makcimalist подобрался ближе всех)

Так что, коллега Максималист это не я, а вы - наш сайтовский неонатолог.

Не, точно не я. Про кисты средостения даже и мысли не было близко такой. Бронхи видел на обзорной, трахею - тоже, но до кисты не дошёл бы, даже при наличии боковой!

Насчёт латерограммы - хорошая мысль. Тоже была. Если руки зафиксировать/подержать сверху/спереди и, главное, режим нужный/лёгочный подобрать, то, быть может, увидели бы пневмоторакс тот, если он был. Но я бы ребёнка чуть косо уложил - на 10* приподнял бы правый бок... А пока (насчёт воздуха всё в плевральной полости) нужно оценивать по косвенным признакам - лежит, но сверху ни капельки свободной жидкости не видно. Только прозрачность правого поля... слегка снижена для пневмоторакса - либо ткань лёгочная такая, либо вместо неё жидкость так капиллярно вся растеклась... В общем, у меня осталось больше вопросов. Сожалею, но ответы не смогу я Вам дать. Хоть каждый день смотреть снимок - вряд ли пользы будет больше, чем новый контроль мог добавить. В сравнении сила, но этого и нема, история уже была предрешена.(

--------------

"Просто, по видимости, не видеть логики в очевидных вещах - это тоже одно из свойств некоторых умов, наряду с грустными думами о свойствах ума других."  © Vega 08/10/2011

Андрей Юрьевич's picture
Offline
Last seen: 3 weeks 6 days ago
Joined: 16.11.2008 - 22:16
Posts: 18106

Алексей Игоревич Чернявский wrote:

Ренгенолог написал гипоплазию легких, врожденный порок сердца; не исключено правосторонний пневмоторакс, пневмомедиастинум...


А может, попросили аналогопатама прикрыть ятерогению.

Андрей Юрьевич

Dr. Grey's picture
Offline
Last seen: 3 years 11 months ago
Joined: 26.01.2012 - 21:54
Posts: 83

     При подозрении на пневмоторакс или другие скопления свободного газа производят прокол плевральной полости или др. под водой.(Правила судебно-медицинской экспертизы)

Алексей Игоревич Чернявский's picture
Offline
Last seen: 7 years 3 months ago
Joined: 08.08.2012 - 21:52
Posts: 786

Все может быть. Не буду обсуждать действия патологов, это темный лес. Всем спасибо за участие.

"Обучая других - учишься сам". Н.И.Пирогов
 

ЕЕЮ's picture
Offline
Last seen: 2 years 7 months ago
Joined: 26.08.2013 - 11:22
Posts: 410

Ребенок умер, я правильно поняла?

Алексей Игоревич Чернявский's picture
Offline
Last seen: 7 years 3 months ago
Joined: 08.08.2012 - 21:52
Posts: 786

Умер.

"Обучая других - учишься сам". Н.И.Пирогов