You are here

бедренная кость

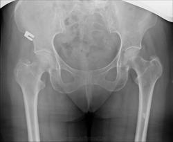
Помогите, пожалуйста, разобраться: что в в/з бедренной кости слева?

ID:47935
ЕЕЮ's picture
Offline
Last seen: 2 years 3 months ago
Joined: 26.08.2013 - 11:22
Posts: 410

Это не ваш артефакт?

Евгений Дорофеев's picture
Offline
Last seen: 11 years 2 months ago
Joined: 06.06.2013 - 17:28
Posts: 1746

Вторую проекцию, please.

Ёлка's picture
Offline
Last seen: 4 years 2 months ago
Joined: 04.12.2013 - 11:49
Posts: 44

пациетн прийдет на следующей неделе. Направлю на  боковую. А что это может быть? 

Евгений Дорофеев's picture
Offline
Last seen: 11 years 2 months ago
Joined: 06.06.2013 - 17:28
Posts: 1746

Судя по http://www.radiologyassistant.nl/en/p4bc9a97980036/sclerotic-bone-tumors-and-tumor-like-lesions.html#i4bc9acec07911 похоже на оссифицирующуюся фиброму.

Ёлка's picture
Offline
Last seen: 4 years 2 months ago
Joined: 04.12.2013 - 11:49
Posts: 44

Может тогда не делать боковой, а сразу направить на МРТ?

Евгений Дорофеев's picture
Offline
Last seen: 11 years 2 months ago
Joined: 06.06.2013 - 17:28
Posts: 1746

Я просто работаю по классике(стандарту) - любая патология должна быть визуализирована в 2х проекциях.

Катенёв Валентин Львович's picture
Offline
Last seen: 7 years 2 months ago
Joined: 22.03.2008 - 22:15
Posts: 54876

dorofey84 wrote:

похоже на оссифицирующуюся фиброму.

Ссылка хорошая, ссылка учебная..., хотя, судя по ссылке, много чего быть может при такой картинке

Катенёв Валентин Львович's picture
Offline
Last seen: 7 years 2 months ago
Joined: 22.03.2008 - 22:15
Posts: 54876

dorofey84 wrote:

любая патология должна быть визуализирована в 2х проекциях.

+1

По крайней мере, известно с 50 годов прошлого столения и даже ранее..., но воз и ныне там...

Евгений Дорофеев's picture
Offline
Last seen: 11 years 2 months ago
Joined: 06.06.2013 - 17:28
Posts: 1746

 

Приветствую, Валентин Львович. А за ссылку Татьяну мне как нибудь при случае поблагодарить надо ( http://www.radiomed.ru/cases/bol-v-oblasti-kolena) А на счёт фибромы это предположение, а не заключение.

Ёлка's picture
Offline
Last seen: 4 years 2 months ago
Joined: 04.12.2013 - 11:49
Posts: 44

Классические рентгенологи "балуют" нас своим вниманием 1раз в неделю, а при нынешней погоде может и через две приехать. Поэтому пытаемся сами ускорить процесс обследования и лечения пациентов. Спасибо пользователям этого сайта за отклики.

Да, кстати, наш рентгенолог, как и многие другие работают (или подрабатывают) на МРТ.

алкс's picture
Offline
Last seen: 10 years 2 months ago
Joined: 24.10.2012 - 22:55
Posts: 2915

Эностоз.

Makcimalist's picture
Offline
Last seen: 11 years 10 months ago
Joined: 08.05.2010 - 14:28
Posts: 1994

алкс wrote:

Эностоз.

И я выскажусь за эностоз. И ещё какой-нибудь остеоме уделю внимание - добавлю в диф. ряд. Для рентгенолога (с учётом МРТ) будет ведь интересно разграничить предложенные варианты. Вы потом скажите, что было в результате на дообследовании у Вас.

--------------

"Просто, по видимости, не видеть логики в очевидных вещах - это тоже одно из свойств некоторых умов, наряду с грустными думами о свойствах ума других."  © Vega 08/10/2011

Dima's picture
Offline
Last seen: 7 years 3 months ago
Joined: 05.08.2012 - 17:39
Posts: 2467

При диагностике образований костей очень важен возраст. Сколько лет пациентке?

Терпимость - это когда прощают чужие ошибки; такт - когда не замечают их. (Артур Шницлер)

schlyapa's picture
Offline
Last seen: 8 years 1 month ago
Joined: 27.09.2013 - 22:15
Posts: 613

А что за тень в проекции медиальных отделов левой вертлужной впадины, наслаивающаяся на головку? Или это нормальное строение кости?

Makcimalist's picture
Offline
Last seen: 11 years 10 months ago
Joined: 08.05.2010 - 14:28
Posts: 1994

schlyapa wrote:

А что за тень в проекции медиальных отделов левой вертлужной впадины, наслаивающаяся на головку? Или это нормальное строение кости?

То может быть неопытной руки олеомка подсвечивает из ягодицы, а может быть, и флеболит. Но он тоже в бедре не болит.)

--------------

"Просто, по видимости, не видеть логики в очевидных вещах - это тоже одно из свойств некоторых умов, наряду с грустными думами о свойствах ума других."  © Vega 08/10/2011

schlyapa's picture
Offline
Last seen: 8 years 1 month ago
Joined: 27.09.2013 - 22:15
Posts: 613

На флеболит не похоже.

Приложения: 
6069bfae55064002ae291279a2b9f44b_1.jpg
Дмитрий Волегов's picture
Offline
Last seen: 3 years 7 months ago
Joined: 22.05.2013 - 00:32
Posts: 1148

Возможно так выглядит субхондральный склероз вертлужной впадины вне ее крыши.

С Уважением, Дмитрий.

Makcimalist's picture
Offline
Last seen: 11 years 10 months ago
Joined: 08.05.2010 - 14:28
Posts: 1994

Наверное, мы смотрели немного на разное. Я "свой" флеболит олеомный обвёл. А насчёт Вашей зоны интереса - если Вы про разрежение кости - присмотритесь, такие участки симметрично можно найти. А левое бедро читается слегка порозным оттого, что имеет место незначительный, но поворот тела на него и чуть бОльшая вовлечённость в процесс просвечивания лучом.)

Приложения: 
a2b9f44b_2.jpga2b9f44b_3.jpg

--------------

"Просто, по видимости, не видеть логики в очевидных вещах - это тоже одно из свойств некоторых умов, наряду с грустными думами о свойствах ума других."  © Vega 08/10/2011

schlyapa's picture
Offline
Last seen: 8 years 1 month ago
Joined: 27.09.2013 - 22:15
Posts: 613

Я про остеосклероз.

Приложения: 
6069bfae55064002ae291279a2b9f44b_1.jpg
ЕЕЮ's picture
Offline
Last seen: 2 years 3 months ago
Joined: 26.08.2013 - 11:22
Posts: 410

И что же в итоге,хотелось бы узнать?

Makcimalist's picture
Offline
Last seen: 11 years 10 months ago
Joined: 08.05.2010 - 14:28
Posts: 1994

schlyapa wrote:

Я про остеосклероз.

Ну, если речь про него - Дмитрий уже Вам ответил. Сорри, если чего.)

--------------

"Просто, по видимости, не видеть логики в очевидных вещах - это тоже одно из свойств некоторых умов, наряду с грустными думами о свойствах ума других."  © Vega 08/10/2011