Пол пациента:
Тип патологии:
Область исследования:
Методы исследования:
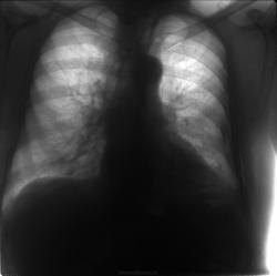
Вот такой случай попался сегодня от коллег из районного центра.
![]()
Вчера упал, поломал ребра, пошел домой. Сегодня шею эмфиземой раздуло до удушья. Вопрос поставили есть ли тут пневмомедиастинум? И может ли воздух проникать в ткани шеи только из средостения или есть и другие пути? Ответил что пневмомедиастинум есть. В какой-то статье по КТ читал, что воздух в шее может появится только из средостения. Обсуждаем
Что-то пневмомедиастинума не рассмотрел. В прямой. Боковую косую бы - было бы дело. А так - можно и на КТ!) Я тут, често признаюсь, даже пневмоторакса толком не разглядел. А он же должен быть... где-то. Отчего же в грудной полости у пациента такой беспредел?.. Насчёт распространения - отчего же не может. Подкожная эмфизема хорошо распространяется. И на шею под кожей быстро залазит. Бывало. Медиастинум был не затронут - точно, делали и КТ - но эмфиземой шея была затронута. Доказательств, то бишь снимков у меня, к сожеланию, с собой нет.(
--------------
"Просто, по видимости, не видеть логики в очевидных вещах - это тоже одно из свойств некоторых умов, наряду с грустными думами о свойствах ума других." © Vega 08/10/2011
Не могу сказать. Оригинала нет. Насчёт верхов - там тёмный лес. Слева у тени сердца что-то брезжит... в предрассветной тишине. Но подкожная - опять всё портит... И снова не заключить по снимку воздух мне.(
--------------
"Просто, по видимости, не видеть логики в очевидных вещах - это тоже одно из свойств некоторых умов, наряду с грустными думами о свойствах ума других." © Vega 08/10/2011
ещё до появления подкожной эмфиземы, на первом снимке, парамедиастинально) по-моему - вполне...
Я и на первый снимок долго так периодически смотрел. И как учил Mitkampfer глаз прищурил, и отходил от монитора издали смотрел - но воздуха патологически свободного в плевральной полости так и не увидел... Может, снова не туда смотрел.)
--------------
"Просто, по видимости, не видеть логики в очевидных вещах - это тоже одно из свойств некоторых умов, наряду с грустными думами о свойствах ума других." © Vega 08/10/2011
Перелом 4-5-6-7-8 рёбер слева с малым гидротораксом, дренаж в 6 межреберье. Всё остальное на фоне выраженной подкожной и межмышечной эмфиземы - эфемерно и неубедительно.
... может ли воздух проникать в ткани шеи только из средостения или есть и другие пути?...
Ну если мы о травме, то 2 пути: 1) проникновение в плевральную полость атмосферного воздуха при повреждении париетальной плевры или из поврежденного лёгкого при повреждении висцеральной плевры, и далее по грудной стенке в межмышечных пространствах и подкожно, подкожная эмфизема может распространяться от поясничной области до лица и обратно.; 2) из плевральной полости к воротам легких, далее в средостение и по внутригрудной фасции - на шею по предпозвоночной фасции, или вдоль трахеи, например.
При повреждении органов средостения (трахея, пищевод, бронх) возможен обратный путь от пневмомедиастинума к пожкожной эмфиземе.
К теме вообще: при повреждении мочевого пузыря возможна подкожная эмфизема шеи и пневмомедиастинум: http://synapse.koreamed.org/DOIx.php?id=10.4097/kjae.2009.56.5.597&vmode=PUBREADER А при сильной рвоте - спонтанный пневмоторакс, пневмомедиастинум и даже эпидуральная интраспинальная эмфизема: http://www.eurorad.org/eurorad/case.php?id=3375 . Так что пути воздуха неисповедимы)).
"Предоставляя весь смысл и совершенство в распоряжение одного только Бога, вы избавляете себя от бездны хлопот." Джон Уитборн.
Отчего же? Дороги разные у него, но чаще вверх всегда стремиться он.) Пытается всегда распространиться туда, где нет его ещё.
--------------
"Просто, по видимости, не видеть логики в очевидных вещах - это тоже одно из свойств некоторых умов, наряду с грустными думами о свойствах ума других." © Vega 08/10/2011
Обратил внимание на воздух справа (синие стрелки). Ну и слева парамедиастенально (красные стрелки) расценил как смещенную воздухом плевру. Пневмоторакса слева, по крайней мере, просто не видно, возможно какой-то минимальный есть. Предположу, что воздух распостраняется по обеим путям, которое описаны коллегой Любовь С. ) Пациент после второго снимка отправлен сразу в торакальную хирургию, на месте больше ничего не делали. Постараюсь узнать дальнейший ход событий.
"Обучая других - учишься сам". Н.И.Пирогов
Согласен с Любовью, распространение воздуха хорошо описала. От себя добавлю: месяц назад госпитализировали больного после ДТП, перелом 1 ребра, а подкожная эмфизема была от шеи до мошонки, все по левой половине. По второй рентгеногамме кажется, что тень которую модно принять за пневмомедиастинум, является частичным ателектазом нижней доли.
Спасибо автору за случай, такой эмфиземы еще не встречал. Спасибо всем коллегам за комментарии, теперь, если увижу - меньше будет проблем.
С Уважением, Дмитрий.
Алексей Игоревич, сколько времени между 1 и 2 снимками?
Оба выполнены в вертикальном положении?
Подозреваю пневмоторакс справа, было бы интересно знать аускультативные данные.
Интервал 1 день. Оба вертикально. Кроме снимка и анамнеза, данных больше нет. Это с другой больницы в он-лайн режиме. Кстати пациент в торакальную так и не доехал. Куда делся, пока неизвестно
. Или домой ушел по-своему желанию, или не успели довести. Завтра проведу расследование
.
"Обучая других - учишься сам". Н.И.Пирогов
Пациента решили оставить в общей хирургии в ЦРЛ)
Вот контроль от 20.12.2013
"Обучая других - учишься сам". Н.И.Пирогов
Подкожная эмфизема уменьшается. Что-то дренажа как не стояло, так и сейчас не стоит. Лечат временем пациента или чем-то другим?..
Боковая проекция выполнена на мягкие ткани руки?))
--------------
"Просто, по видимости, не видеть логики в очевидных вещах - это тоже одно из свойств некоторых умов, наряду с грустными думами о свойствах ума других." © Vega 08/10/2011
Что Вам сказать... Снимали на цифровом флюорографе на автоматике, без присутсвия врача... По рассказам, попытка поставить дренаж не удалась, стало хуже, забрали... делали еще на пленку снимок с дренажем, лаборанты спалили его в проявителе... Делают подкожные проколы) Вот такие реалии западно-украинской медицины в ЦРЛ) Но пациенту намного лучше.
"Обучая других - учишься сам". Н.И.Пирогов
Спасибо за информацию. Интересно было, пневмоторакс как лечат у Вас. Оказалось, так же как и везде.) И, выходит, всё-таки был и сам не рассосался. Жаль, что скрылся от нас.( Но хорошо, что хирургам попался.)
--------------
"Просто, по видимости, не видеть логики в очевидных вещах - это тоже одно из свойств некоторых умов, наряду с грустными думами о свойствах ума других." © Vega 08/10/2011