You are here

заболевание правого легкого? помогите определиться с заключением

Пол пациента: 
Методы исследования: 

Жалобы на непродуктивный кашель, одышка при нагрузке. Дыхание везикулярное, ослабленное,пневмосклеротические хрипы с обеих сторон, темп. Норма.

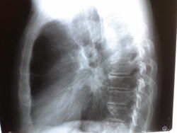
в проекции н/долевого бронха тень доп. Образования, сгущение лег. Рисунка нижней доли. Cr?..лаборант зачем-то снял левый бок...ему видимо все равно, какой было снимать.( карте терапевт назначил в 2-х проекциях)

  • https://radiomed.ru/sites/default/files/styles/case_slider_image/public/user/816/20131218_133658.jpg?itok=EIr9e5ON
  • https://radiomed.ru/sites/default/files/styles/case_slider_image/public/user/816/screenshot_2013-12-18-13-45-53-1.png?itok=INhiE19w
  • https://radiomed.ru/sites/default/files/styles/case_slider_image/public/user/816/screenshot_2013-12-18-13-38-33.png?itok=crw6nHFO
ID:34510
Юлия's picture
Offline
Last seen: 10 years 9 months ago
Joined: 03.02.2009 - 20:00
Posts: 151

А в переднем средостении парастернально-это буллы?

Юлия 

Андрей Юрьевич's picture
Offline
Last seen: 2 weeks 4 days ago
Joined: 16.11.2008 - 22:16
Posts: 18106

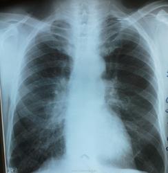
Правый корень, действительно, несколько расширен, внешние контуры - неровные, нечеткие, сгущение легочного рисунка внижне-медиальном отделе правого легочного поля. С-r, конечно, написать можно, но это надо доказывать.

А снимок, если он цифровой, может быть и правый. На цифре боковые наоборот выглядят.

Андрей Юрьевич

И.Бондаренко's picture
Offline
Last seen: 7 hours 10 min ago
Joined: 13.09.2011 - 22:55
Posts: 9213

Юлия wrote:

А в переднем средостении парастернально-это буллы?

Наверное, буллы. Написал бы, что данные изменения более характерны для сердечных дел. 

Mila85's picture
Offline
Last seen: 3 years 6 months ago
Joined: 15.03.2012 - 16:59
Posts: 1790

Правый корень совсем плох, дообследовать нужно однозначно

Сан Саныч1's picture
Offline
Last seen: 1 year 4 months ago
Joined: 07.06.2010 - 21:17
Posts: 2114

Данных за образование нет.

Обычная эмфизема легких.

Хочешь сделать что-то нормально - сделай это сам!

Дмитрий Волегов's picture
Offline
Last seen: 3 years 11 months ago
Joined: 22.05.2013 - 00:32
Posts: 1148

Возраст не указан. Если за 80, то с заключением можно определиться как - возрастные изменения. Темп - норма, но лучше бы узнать динамику заболевания.

С Уважением, Дмитрий.

алкс's picture
Offline
Last seen: 10 years 5 months ago
Joined: 24.10.2012 - 22:55
Posts: 2915

Андрей Юрьевич wrote:

Правый корень, действительно, несколько расширен, внешние контуры - неровные, нечеткие, сгущение легочного рисунка внижне-медиальном отделе правого легочного поля. С-r, конечно, написать можно, но это надо доказывать.

А снимок, если он цифровой, может быть и правый. На цифре боковые наоборот выглядят.

По-моему доп. образование в проекции корня, ближе к центральному раку, +гипо средней доли. И лево-право при боковом не сильно влияет. Сначала бы просто пневмонию написать, с контролем для искл. объемного образования. Неделя для онко - не экстренно, (а м.б. боже поможе - и пневмония)

Приложения: 
11.jpg22.jpg
Сольвейг's picture
Offline
Last seen: 3 years 10 months ago
Joined: 05.02.2013 - 20:25
Posts: 2239

А чего ждать? Если уж с КТ-трудности,то тмг ч/корни,-много вопросов снимают(или ставят)

Сан Саныч1's picture
Offline
Last seen: 1 year 4 months ago
Joined: 07.06.2010 - 21:17
Posts: 2114

алкс wrote:

По-моему доп. образование в проекции корня, 

Это сосуды.

Хочешь сделать что-то нормально - сделай это сам!

Юлия's picture
Offline
Last seen: 10 years 9 months ago
Joined: 03.02.2009 - 20:00
Posts: 151

Клиника: темп.- норма. Анемия. Непродуктивный кашель. Направлен на КТ.

Юлия 

Юлия's picture
Offline
Last seen: 10 years 9 months ago
Joined: 03.02.2009 - 20:00
Posts: 151

Вот и мой взгляд притянулся туда. Только средне-долевой или нижнедолевой?Но тень доп. Образования явно просматривается.Спасибо.

Юлия 

Mila85's picture
Offline
Last seen: 3 years 6 months ago
Joined: 15.03.2012 - 16:59
Posts: 1790

Судя по прямому снимку, нижнедолевой задействован

Дмитрий Волегов's picture
Offline
Last seen: 3 years 11 months ago
Joined: 22.05.2013 - 00:32
Posts: 1148

Юлия wrote:

Клиника: темп.- норма. Анемия. Непродуктивный кашель. Направлен на КТ.

Всё же интересна (до результатов КТ) динамика: в течение месяца эта клиника или последние годы на одном уровне?

С Уважением, Дмитрий.