You are here

Вот такой переломчик...

Пол пациента: 
Тип патологии: 
Область исследования: 
Методы исследования: 

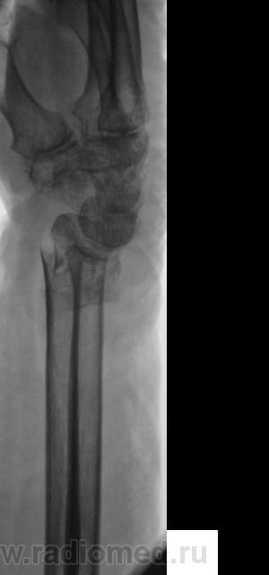
Травма. Пациентка направлена врачом хирургом на рентгенографию лучезапястного сустава.

 

  • https://radiomed.ru/sites/default/files/styles/case_slider_image/public/user/12/52..Perelom.jpg?itok=qn3ki-xf
  • https://radiomed.ru/sites/default/files/styles/case_slider_image/public/user/12/53..Perelom.JPG?itok=KqaSotf8
  • https://radiomed.ru/sites/default/files/styles/case_slider_image/public/user/12/54..Perelom.jpg?itok=Z-xwjUYy
ID:1241
helenmar's picture
Offline
Last seen: 8 years 7 months ago
Joined: 23.03.2008 - 12:27
Posts: 291

На фоне умеренных артрозных изменений в л/з и мелких суставах кисти оскольчатый в/суставной разгибательнуй перелом лучевой кости в т.м. с резко выраженным смещением под углом (около 120 гр), открытым дорзально. Перелом шиловидного отростка локтевой кости. Плохо вижу контур крючковатой кости по ульнарной поверхности.

Делай, что должно, и будь, что будет.

Катенёв Валентин Львович's picture
Offline
Last seen: 7 years 2 months ago
Joined: 22.03.2008 - 22:15
Posts: 54876

 

Пациент направлен на рентгенографию лучезапястного сустава.

 

Приложения: 
1..LZSV_.JPG2..LZSV_.jpg3..LZSV_.JPG4..LZSV_.jpg
helenmar's picture
Offline
Last seen: 8 years 7 months ago
Joined: 23.03.2008 - 12:27
Posts: 291

Вколоченный (или сколоченный) перелом лучевой кости с удовл. стоянием к/фрагментов неясной давности. в дист. отделах костей предплечья и, по-моему, костях запястья умеренный остеопороз. Очаг дестукции в головке 5-й пястной ? (вижу нечетко, погрешность передачи изображения?)

Делай, что должно, и будь, что будет.

Катенёв Валентин Львович's picture
Offline
Last seen: 7 years 2 months ago
Joined: 22.03.2008 - 22:15
Posts: 54876

Заслуживают также внимание 4 и 5 пястные кости, особенно 4 пястная кость.

helenmar's picture
Offline
Last seen: 8 years 7 months ago
Joined: 23.03.2008 - 12:27
Posts: 291

4 пястная грацильна, но структуру ее , к сожалению, рассмотреть не удается.Кроме остеопороза в ее проксим. конце и истончения кортикального слоя ничего не вижу.

Делай, что должно, и будь, что будет.