You are here

Дело темное...

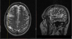
Мужчина 1959 года рождения, неделю назад почувствовал головную боль в правом виске, померил давление 170. Лечится около 5 дней сосудистыми препаратами, сейчас голова не болит, немного подтормаживает. Температура нормальная. Подскажите пожалуйста, о чем можно думать при такой картине?

Дайком 10Мб

   

      

  • https://radiomed.ru/sites/default/files/styles/case_slider_image/public/user/16807/222_1.jpg?itok=giDM5lYy
  • https://radiomed.ru/sites/default/files/styles/case_slider_image/public/user/16807/333_0.jpg?itok=66o5TzS0
  • https://radiomed.ru/sites/default/files/styles/case_slider_image/public/user/16807/444_0.jpg?itok=-beJ3KhT
  • https://radiomed.ru/sites/default/files/styles/case_slider_image/public/user/16807/555_1.jpg?itok=A9hAiMqg
  • https://radiomed.ru/sites/default/files/styles/case_slider_image/public/user/16807/777_0.jpg?itok=FvHKhM6D
  • https://radiomed.ru/sites/default/files/styles/case_slider_image/public/user/16807/888_0.jpg?itok=_Pmomu6_
  • https://radiomed.ru/sites/default/files/styles/case_slider_image/public/user/16807/999_0.jpg?itok=O5ga62iP
  • https://radiomed.ru/sites/default/files/styles/case_slider_image/public/user/16807/2020_0.jpg?itok=NKz9k2PR
  • https://radiomed.ru/sites/default/files/styles/case_slider_image/public/user/16807/3030_0.jpg?itok=0kS_1XFo
  • https://radiomed.ru/sites/default/files/styles/case_slider_image/public/user/16807/4040_0.jpg?itok=5n5gVpN7
ID:48019
Special.K's picture
Offline
Last seen: 9 years 3 months ago
Joined: 09.08.2012 - 23:08
Posts: 479

Я так понимаю, очага два?  Дифференцировать с ишемическим НМК в подострой (судя по DWI) стадии. в клинике кроме головной боли и подтормаживания что-то есть?

Dima's picture
Offline
Last seen: 7 years 7 months ago
Joined: 05.08.2012 - 17:39
Posts: 2467

Special.K wrote:

Я так понимаю, очага два?  Дифференцировать с ишемическим НМК в подострой (судя по DWI) стадии. в клинике кроме головной боли и подтормаживания что-то есть?

Этот под подозрением. НМК в диф ряд принимается, сосуды справа "живее" левых, с чем дифференцировать? Вся известная клиника описана.

Приложения: 
222_21.jpg

Терпимость - это когда прощают чужие ошибки; такт - когда не замечают их. (Артур Шницлер)

Helios's picture
Offline
Last seen: 1 year 2 weeks ago
Joined: 06.08.2010 - 15:16
Posts: 4417

НМК, нейроинфекция?

Ivanaskina's picture
Offline
Last seen: 8 years 5 months ago
Joined: 02.04.2011 - 12:41
Posts: 304

Ишемический инсульт, подостр стадия.