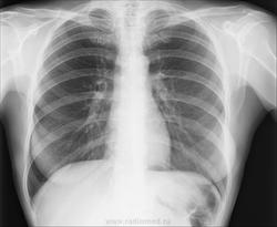
Женщина, 58лет. Жалобы на боли в грудной клетке справа. Анамнеза нет (психиатрический диагноз, неадекватна). Рентгенолога сейчас нет, а решить надо срочно. https://radiomed.ru/sites/default/files/styles/case_slider_image/public/user/19361/206c95351ccb4e9b82361bb74fa6c44a_1.jpg?itok=ZcCSYF5u ID:48039 Mon, 23/12/2013 - 09:40 #1 vadim losevichev Offline Last seen: 7 years 7 months ago Joined: 27.01.2013 - 09:45 Posts: 679 Нормальная картина. Non progrĕdi est regrĕdi. Mon, 23/12/2013 - 10:49 #2 Андрей Юрьевич Offline Last seen: 3 weeks 2 days ago Joined: 16.11.2008 - 22:16 Posts: 18106 Солидарен. Андрей Юрьевич Mon, 23/12/2013 - 11:02 #3 maker4ik Offline Last seen: 9 years 1 week ago Joined: 19.10.2011 - 17:49 Posts: 2682 Ничего плохого не заметила. Mon, 23/12/2013 - 11:07 #4 Ёлка Offline Last seen: 4 years 5 months ago Joined: 04.12.2013 - 11:49 Posts: 44 Спасибо. Mon, 23/12/2013 - 11:18 #5 EvgeniusX-ray Offline Last seen: 12 years 4 months ago Joined: 12.10.2009 - 16:05 Posts: 5 Без видимой патологии ОГК Mon, 23/12/2013 - 11:26 #6 ЕЕЮ Offline Last seen: 2 years 7 months ago Joined: 26.08.2013 - 11:22 Posts: 410 Картина нормы. Mon, 23/12/2013 - 15:08 #7 Сергей Кузьминов Offline Last seen: 1 year 5 months ago Joined: 06.10.2012 - 15:51 Posts: 11813 Норма. Wed, 25/12/2013 - 00:00 #8 Дмитрий Волегов Offline Last seen: 3 years 11 months ago Joined: 22.05.2013 - 00:32 Posts: 1148 Не пропустить быПриложения: С Уважением, Дмитрий. Wed, 25/12/2013 - 00:51 #9 А. Горюнов Offline Last seen: 6 months 1 week ago Joined: 07.10.2012 - 12:12 Posts: 2744 Дмитрий Волегов wrote: Не пропустить бы Исключить пневмоторакс. Анатолий Петрович Wed, 25/12/2013 - 06:51 #10 vadim losevichev Offline Last seen: 7 years 7 months ago Joined: 27.01.2013 - 09:45 Posts: 679 Не вижу разницы.Приложения: Non progrĕdi est regrĕdi. Wed, 25/12/2013 - 10:06 #11 Катенёв Валенти... Offline Last seen: 7 years 5 months ago Joined: 22.03.2008 - 22:15 Posts: 54876 vadim losevichev wrote: Нормальная картина. +1 Wed, 25/12/2013 - 17:45 #12 Ivanaskina Offline Last seen: 8 years 6 months ago Joined: 02.04.2011 - 12:41 Posts: 304 vadim losevichev wrote: Не вижу разницы. Это из-за небольшой асимметрии молочных желез, или укладки. Тоже считаю , что тут норма.
Нормальная картина.
Non progrĕdi est regrĕdi.
Солидарен.
Андрей Юрьевич
Ничего плохого не заметила.
Спасибо.
Без видимой патологии ОГК
Картина нормы.
Норма.
Не пропустить бы
С Уважением, Дмитрий.
Исключить пневмоторакс.
Анатолий Петрович
Не вижу разницы.
Non progrĕdi est regrĕdi.
+1