Пол пациента:
Тип патологии:
Область исследования:
Методы исследования:
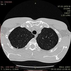
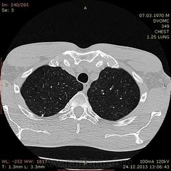
43 года. На флюшке нашли очаг на верхушке. Жалоб нет. Архива нет.
Узелок сязанный с плеврой. Или полость мелкая с толстыми стенками. Наверное, стоит склоняться к туберкулёзу. Хотелось узнать Ваше мнение, коллеги.
DICOM здесь http://files.mail.ru/B940FA35339C487BB68016E402CA37EE
- https://radiomed.ru/sites/default/files/styles/case_slider_image/public/user/17526/img-0002-00001_29.jpg?itok=tpxZWraM
- https://radiomed.ru/sites/default/files/styles/case_slider_image/public/user/17526/img-0003-00001_27.jpg?itok=aVw8OXyz
- https://radiomed.ru/sites/default/files/styles/case_slider_image/public/user/17526/img-0004-00001_23.jpg?itok=08MjUECL
- https://radiomed.ru/sites/default/files/styles/case_slider_image/public/user/17526/img-0005-00001_23.jpg?itok=d48lLKff
- https://radiomed.ru/sites/default/files/styles/case_slider_image/public/user/17526/img-0006-00001_23.jpg?itok=0V1KUqrD
- https://radiomed.ru/sites/default/files/styles/case_slider_image/public/user/17526/img-0007-00001_16.jpg?itok=HnoonZRV
- https://radiomed.ru/sites/default/files/styles/case_slider_image/public/user/17526/img-0008-00001_14.jpg?itok=TxWWwGFi
- https://radiomed.ru/sites/default/files/styles/case_slider_image/public/user/17526/img-0009-00001_10.jpg?itok=jneNNfQJ
- https://radiomed.ru/sites/default/files/styles/case_slider_image/public/user/17526/img-0010-00001_9.jpg?itok=k1Fvkhok
- https://radiomed.ru/sites/default/files/styles/case_slider_image/public/user/17526/img-0011-00001_7.jpg?itok=Ym88-Uqh
- https://radiomed.ru/sites/default/files/styles/case_slider_image/public/user/17526/img-0012-00001_4.jpg?itok=9uCmCe_Y
- https://radiomed.ru/sites/default/files/styles/case_slider_image/public/user/17526/img-0013-00001_4.jpg?itok=_OxZTp1O
- https://radiomed.ru/sites/default/files/styles/case_slider_image/public/user/17526/img-0014-00001_3.jpg?itok=JSqsz36C
- https://radiomed.ru/sites/default/files/styles/case_slider_image/public/user/17526/img-0015-00001_3.jpg?itok=iO4W-2Eq
- https://radiomed.ru/sites/default/files/styles/case_slider_image/public/user/17526/img-0016-00001_3.jpg?itok=hioqeKNC
- https://radiomed.ru/sites/default/files/styles/case_slider_image/public/user/17526/img-0017-00001_3.jpg?itok=8MxKx5Tx
ID:34479
Да, действительно, малая полость распада есть. Вероятнее всего, туб этиологии. В настоящий момент, скорее всго, в фазе уплотнения. Желательно обследовать на активность туб. процесса, да оставить на динамическое наблюдение.
Андрей Юрьевич
Посчитала бы за старые очаги, как последствие перенесенного процесса. На фоне парасептальной и центролобулярной эмфиземы в верхушках есть несколько таких очагов, кавитация кажущаяся, из-за близости участка эмфиземы (ИМХО). Рекомендовала бы туб.пробы и КТ-контроль через пару месяцев с записью: на данный момент признаков активности процесса нет.
https://www.youtube.com/channel/UCBGxoBUOqUT_bFhSeUgtWEw
В саггитале полостюшка смотрится несколько интересно. Создается впечатление буллезной полости с участком уплотненной и частично кальцинированной стенкой. А если исходить из этого, то и дренирующего бронха не будет. Очаги приведенные коллегой ЛГ очень плотные даже на взгляд. Т.е. ТБ если и был, то эта полость не его
Спасибо за мнения, коллеги.
Да это туберкулез.
https://www.youtube.com/channel/UCBGxoBUOqUT_bFhSeUgtWEw
Рентгенологически: очаговый туберкулез в/д об/легких,ф.уплотнения
Почему в фазе уплотнения, а не старые дела? Чем картина противоречит последствию перенесенного туб.процесса? На мой взгляд, данных за активность, свежесть процесса нет. Если у Вас есть другие данные, можете их предоставить? Дело в том, что руководствуюсь в работе именно ниже перечисленными критериями. Может быть, я не права, и пропускаю патологию??? Тема для меня очень важна и актуальна.
Перельман М.И., "Спиральная компьютерная томография в диагностике туберкулеза легких", 1998:
Очаговый туберкулез легких характеризуется наличием немногочисленных очагов, преимущественно продуктивных, локализующихся в ограниченном участке одного или обоих легких и занимающих 1-2 сегмента, и малосимптомным клиническим течением. К очаговым формам туберкулеза относятся как недавно возникшие, свежие (мягкоочаговые) процессы с размером очагов менее 10 мм, так и более давние (фиброзно-очаговые) образования с явно выраженными признаками активности процесса.
12.1. КТсемиотика
Применение КТ позволяет детально оценить характер изменений в легочной ткани у больных очаговым туберкулезом. Это необходимо в тех случаях, когда при обычном рентгено-томографическом исследовании наличие очагов вызывает сомнение или не удается детально оценить их характер.
По данным КТ очаговый туберкулез в первые недели развития заболевания, до начала антибактериального лечения, характеризуется наличием в легочной ткани множественных очагов в пределах одного или двух бронхолегочных сегментов. Изменения могут быть односторонними или двухсторонними. Типичная их локализация — верхушечный и задний сегменты верхней доли. Реже очаги выявляются в верхушечном сегменте нижней доли.
Очаги располагаются в глубине легочной ткани, перибронхиально, размеры их составляют от 1 до 10 мм. Чаще очаги имеют полиморфный характер. Наиболее типичным является сочетание одного или двух крупных очагов с большим количеством мелких и средних. Крупные очаги обычно имеют однородную структуру, в центре некоторых из них может быть виден просвет бронха в поперечном сечении. Эту картину не следует расценивать как наличие полости деструкции. Истинные полости в очагах имеют более крупные размеры, в результате чего изображение очага представляет собой тонкостенную полость. Такие полости, как правило, не видны при обычном рентгено-томографическом исследовании и обнаруживаются только при высокоразрешающей КТ. Контуры наиболее крупных очагов на этом этапе развития процесса нечеткие и неровные, особенно при наличии выраженного экссудативного компонента. Плотность легочной ткани в зоне расположения очагов может быть незначительно повышена за счет перифокального отека и наличия множественных мелких очагов.
Мелкие очаги диаметром 1-3 мм располагаются в окружающей крупные очаги легочной ткани на протяжении сегмента или его части. Они локализуются преимущественно в стенках вторичных легочных долек и внутридольковых перегородках. Развитие лимфостаза приводит к утолщению и уплотнению этих интерстициальных структур.
Длительное течение очагового туберкулеза, особенно на фоне антибактериального лечения, приводит к существенному изменению компьютерно-томографической картины. Наряду с очаговыми изменениями в легочной ткани появляются участки панлобулярной и парасептальной эмфиземы, мелкие эмфизематозные буллы, атакже линейные мягкотканые тяжи, направленные из зоны патологических изменений к плевре. Объем пораженных сегментов постепенно уменьшается за счет развития локального пневмосклероза. Именно наличие эмфиземы в окружающей очаги легочной ткани позволяет достоверно разграничить при КТ ранние, начальные туберкулезные изменения от длительно существующих.
В решении этого вопроса высокразрешающая КТ имеет значительные преимущества по сравнению с обычным рентгено-томографическим исследованием. Уменьшение размеров крупных очагов и исчезновение или уменьшение количества мелких очагов в процессе динамического наблюдения свидетельствует о положительной динамике патологического процесса.
Исходом очагового туберкулезау большинства больных является образование мелких рубцов линейной формы, расположенных в глубине легочной ткани. Здесь же обнаруживали единичные альвеолярные очаги с включениями извести, локальное утолщение реберной плевры. В окружающей очаги легочной ткани видны мелкие воздушные полости, обусловленные эмфиземой. В отличие от начальных изменений в фазе инфильтрации мелкие интерстициальные очаги в стенках долек на этом этапе заболевания отсутствуют. Эти особенностиимеют важное клиническое значение в определении активности туберкулезного процесса.
Активность туб.процесса оценивается по критериям: http://vestnik.rncrr.ru/vestnik/v6/papers/arelna_v6.htm#Результатыисследования
Сочетание КТВР-признаков: внутридольковых узелков, консолидации легочной ткани, «матовое стекло» вокруг зон консолидации или узловых образований, «дерево в почках», деструкции в узелках или в участках консолидации легочной ткани, утолщения стенок бронхов с чувствительностью 95 %±4,5 % и специфичностью 89 %±6,7% подтверждает активность туберкулезного процесса в легких.
https://www.youtube.com/channel/UCBGxoBUOqUT_bFhSeUgtWEw
А "старые дела" - разве не "фаза уплотнения"?
Андрей Юрьевич
Здравствуйте,коллеги!Начну со "старых"дел:таковыми обычно считают неактивный туберкулез(остаточные изменения в виде,например,кальцинатов или плотных очагов).Если мы говорим о фазе кальцинации,то это-процесс еще активный,т.е.еще идет отложение извести .Например,пришел ребенок на консультацию,а у него на R-тмг определяются отложения извести в л/у средостения.Вы ведь не будете писать,что это "старые" дела-хотя видите кальций.Так ведь?И не можете однозначно сказать,что процесс не активный .Нужна ДИНАМИКА.Если ее нет-значит,неактивный,если есть(увеличиваются отложения извести),-это активный,но ф.уплотнения или кальцинации.То же и в этом случае,пациент без архива,уверенности в том,что нет активности,здесь нет(вдруг потом будут кальцинаты вместо плотных очагов,-значит ,мы упустили активный процесс.Хорошо,если организм справился,а если нет?)Рентгенолог работает совместно с фтизиатром,т.к.нужен еще диаскин-тест,КУМы,бронхоскопия.Вот тогда мы можем перевести больного в др.группу учета,писать,что данных за активност тбс нет.Перельман(замечательный человек и,крупнейший авторитет,у которого учились все(очно или заочно))пишет ведь тоже самое:"при уменьшении...","дальнейшем наблюдении...",т.е.ДИНАМИКИ.Поэтому,в данном случае,я написала-рентгенологически:ф.уплотнения.Конечно,это м.б.уже остаточные изменения,но чтобы точно написать об этом,а здесь (на сайте)нет возможности убедиться в этом,нужно все то, о чем я говорила выше.Конечно,если я вижу на КТ плотные очаги,кальцинаты,и есть мед.документация,что больной состоит на учете в III гр.,то могу с уверенностью писать об отсутствии активности.И еще,в последней цитате Перельмана указаны прямые признаки активности,которых может и не быть.Буду рада,если ответила на Ваши вопросы.С уважением,Миргалина.
Добавлю, что пациент пришел ИЗ туб. диспансера от фтизиатра. Там в мокроте палок не нашли.
И слава Богу! отсутствие палок не означает отсутствие туберкулеза.Здесь то откуда палкам взяться?Их не всегда находят даже при наличии полости распада.
Миргалина, большое спасибо за пояснения!
https://www.youtube.com/channel/UCBGxoBUOqUT_bFhSeUgtWEw