- https://radiomed.ru/sites/default/files/styles/case_slider_image/public/user/16807/2_46.jpg?itok=SyuCpvCr
- https://radiomed.ru/sites/default/files/styles/case_slider_image/public/user/16807/3_26.jpg?itok=SdUetsHZ
- https://radiomed.ru/sites/default/files/styles/case_slider_image/public/user/16807/4_15.jpg?itok=r9G48osD
- https://radiomed.ru/sites/default/files/styles/case_slider_image/public/user/16807/5_11.jpg?itok=xBp9ytLo
- https://radiomed.ru/sites/default/files/styles/case_slider_image/public/user/16807/6_7.jpg?itok=1Dyt69s2
- https://radiomed.ru/sites/default/files/styles/case_slider_image/public/user/16807/7_4.jpg?itok=BaK8HT2V
- https://radiomed.ru/sites/default/files/styles/case_slider_image/public/user/16807/8_4.jpg?itok=dYA_YoHK
- https://radiomed.ru/sites/default/files/styles/case_slider_image/public/user/16807/9_3.jpg?itok=OOiR0BdH
- https://radiomed.ru/sites/default/files/styles/case_slider_image/public/user/16807/10_1.jpg?itok=3et8yx7H
ID:47635
А эпи есть?
Терпимость - это когда прощают чужие ошибки; такт - когда не замечают их. (Артур Шницлер)
Тогда согласен с Вашими предположениями.
Терпимость - это когда прощают чужие ошибки; такт - когда не замечают их. (Артур Шницлер)
Лимфо.
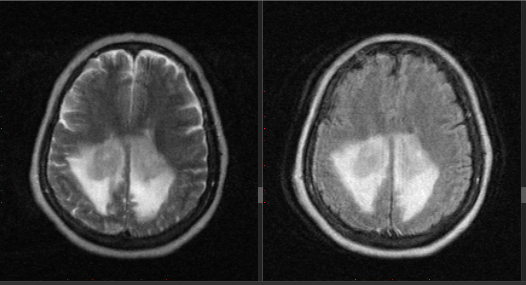
Я бы на 1-е место поставил первичную лимфому ЦНС (надо СПИД исключить). В дифряде - глиобластома, лимфома. Теоретически еще центральная нейроцитома поражает мозолистое тело, но кажется это не тот случай.
Контрастировали?
Терпимость - это когда прощают чужие ошибки; такт - когда не замечают их. (Артур Шницлер)
Дмитрий, почему не контрастируете?У нас обязательно проводится.
Терпимость - это когда прощают чужие ошибки; такт - когда не замечают их. (Артур Шницлер)
У меня тубдиспансер с ВИЧ отделением рядом, как я хочу видеть их мозг, но сами понимаете без контраста всё это мечты.
Терпимость - это когда прощают чужие ошибки; такт - когда не замечают их. (Артур Шницлер)
Терпимость - это когда прощают чужие ошибки; такт - когда не замечают их. (Артур Шницлер)
глиоматоз с вазогенным отеком не тянет,да и лимфома тоже редкость high-grade глиома это(cbf map)
Ни контраста, ни диффузии, ни перфузии...
И зачем они нужны?
Не глиоматоз и не нейроцитома уж точно.
С уважением, С.Н. Нагорный
Терпимость - это когда прощают чужие ошибки; такт - когда не замечают их. (Артур Шницлер)
Не совсем одно, DTWI - диффузионно-тензорная, принцип-то один используется, только векторы разные. Посчитать ADC можно и прикинуть что это за ткань.
С уважением, С.Н. Нагорный
Терпимость - это когда прощают чужие ошибки; такт - когда не замечают их. (Артур Шницлер)
Конечно. И список, чем это НЕ является на самом деле можно продолжить... Но всё же. Гораздо интереснее Ваша мысль в противоположном направлении
В product data Magfinder II нашел следующую информацию (без расшифровки характеристик пакета):
Терпимость - это когда прощают чужие ошибки; такт - когда не замечают их. (Артур Шницлер)
Что тут думать-то, если недостаточно данных?:)
Надо делать перфузию и диффузию и уже после этого делать выводы что это. Как без контрастирования и всего прочего можно судить об образовании? Если только на интуиции, но это не аргумент.
CBV и скорректированный CBV, K2 очень координально отличаются у лимфомы и глиобластомы, различить можно без труда, а наши фантазии - что же это на стандартной неусилинной МРТ, думаю, мало кому интересны :)
С уважением, С.Н. Нагорный
Немного не так по поводу ишемического инсульта. Сигнал на DWI будет ввысокий далеко не только в острую стадию, нужно сопоставлять с другими последовательностями и ADC . Минимальный эффект Т2-просвечивания несколько часов после начала инсульта, в этот период повышение сигнала на DWI в основном за счет снижения ИКД, далее идет нарастание эффекта Т2-просвечивания, пока сигнал на DWI высок.
С уважением, С.Н. Нагорный
Касательно ньюансов оценки тканей на DWI авторитетно высказался Сергей Николаевич. Я с ним согласен - нужно строить ADC, и анализировать весь объем информации, а если проведете и динамическое контрастное усиление возможности дифдиагностике возрастут...
Большое спасибо коллеги! Пересмотрю мануал, возможно что-то упустил по незнанию дела и следующее исследование будет более иеформативным.
Терпимость - это когда прощают чужие ошибки; такт - когда не замечают их. (Артур Шницлер)
Скажите пожалуйста, где можно почитать за DWI DTWI ,CBVи прочее .Дайте ссылочку, если можно .Буду благодарен
http://www.radiomed.ru/forum/interpretatsiya-rezhima-mip-v-mrt-gm
Можно рекомендовать...
Спасибо за хорошую книжку
Правильно ли я понял Вашу мысль, что здесь более вероятны лимфома либо ГБ? И автору в принципе, использовав DTWI, можно более менее определиться: лимфома (сама строма опухоли) поярче будет? Хотя конечно, я понимаю, что аппаратные ограничения не раполагают к определенности в формулировках...