Пол пациента:
Тип патологии:
Область исследования:
Методы исследования:
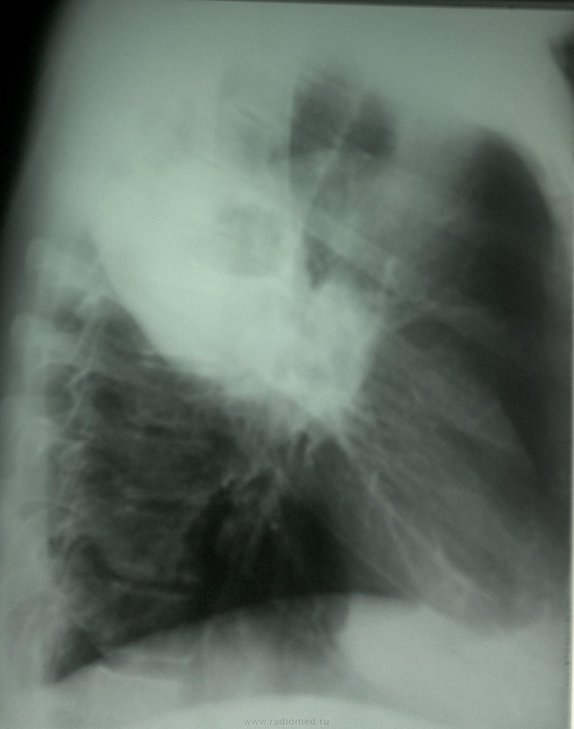
Обратился с жалобами на подкошливание, слабость. Р-гр. от 06.12.13
от стац. лечения отказался. Лечился на дому.
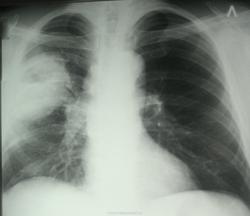
Контроль от 18.12.13
Заложили в т\о. Клиники особенной нет. (кашель с небольшим количеством мокроты).
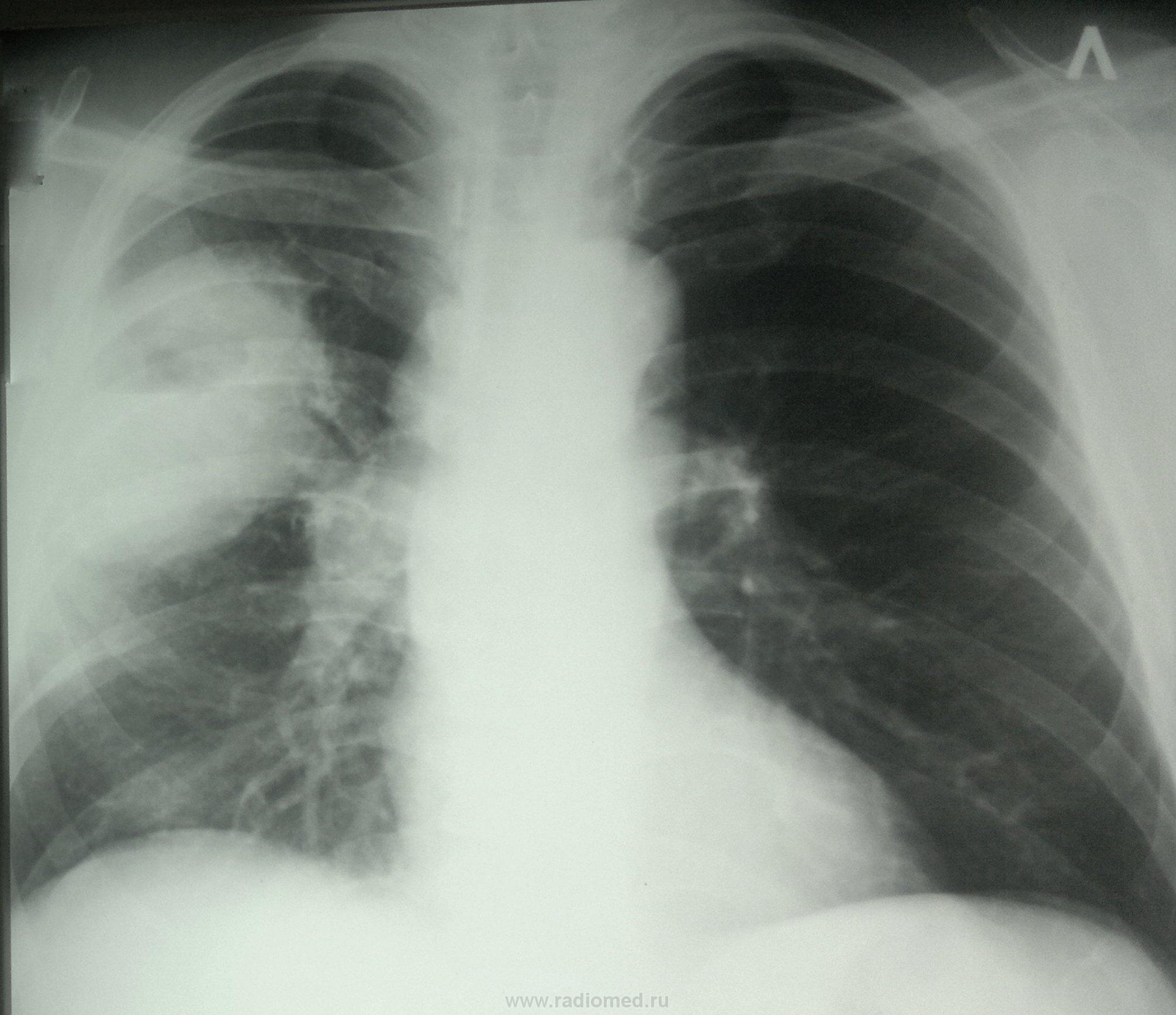
Контроль от 27.12.13
Выставил: Абсцедирующая пневмония в\доли правого легкого. Смущает отсутствие динамики.
Коллеги Ваше мнение пожалуйста!
Архива нет? Если нет - возможен периферический рачина с мтс в л/у корня. КТ, онколог... Если есть архив и там все хорошо: КТ, фтизиатр...) Если есть время и интерес: линейка на дулю и корни.
С уважением,
Я тоже за рак с распадом.
"Обучая других - учишься сам". Н.И.Пирогов
Считаю, что у больного периферический рак, полостная форма, с mtc в л/узлы корня
Михай
Ой, погодите с раком.Недавно Катенёв В.Л.похожее показывал.Пока бы сказал,что затянулась пневмония.Все возможные дообследования лишними не будут.
Интересно, клиника записана со слов пациента или из карточки - то есть тоже с его слов? Хотелось бы на кашель такой небольшой посмотреть, поприсутствовать самому, если у терапевтов нет сомнения в доверии полном к нему.
--------------
"Просто, по видимости, не видеть логики в очевидных вещах - это тоже одно из свойств некоторых умов, наряду с грустными думами о свойствах ума других." © Vega 08/10/2011
имхо: скорее всего, имеем дело с абссцедирующей пневмонией, с прогрессированием инфильтрации, появлением лимфоаденопатии в правом корне.Против рака говорит отсутствие контуров затенения в верхнем отделе( это не узловое образование, а инфильтрация; нижний контур затения чёткий , за счёт того, что инфильтрат ограничен междолевой плеврой),отсутствие признаков бугристости и лучистости контуров затенения. Для уточнения показана КТ лёгких, как компромиссный вариант, линейная томография на структуру образования и корень правого лёгкого.Может быть, что-то даст если датчик аппарата УЗИ поставить в межрёберные промежутки на уровне затения справа (если есть практический опыт работы в этой области).
Вначале полечим абсцесс.
При абсцессе он загибаться должен и полным ртом откашливать - здесь за много дней динамики совсем нет, в правом корне что-то подозрительно круглит.. Я за версию периферического рака с распадом и мтс в лимфатические узлы корня. В любом случае, просто лечить уже хватит, нужно подключать другие методы диагностики
Представлена динамика за 21 день. Наверное, для констатации динамики абсцесса придется подождать еще пару месяцев.
С Уважением, Дмитрий.
Загибаться - это по классической картине, которую описвали лет эдак 40-50 назад. Теперь картина клиники совсем другая встречается. На практике было случаев 10, ни один не подходил. Не было ни вони при дыхании, ни тяжёлого состояния. Обычно пунктировали через грудную стенку и промывали.
Откашливание полным ртом, достаточно редкий симптом.
Количество отделяемой мокроты зависит от диаметра дренирующего бронха.
Делай так, как сделал бы себе, либо - близким людям! В данном случае, КТ может разрешить многие ВАШИ предположния!
Анатолий Петрович
Даже если пренебречь отсутсвием яркой клиники, 21 день это срок. Гнойный процесс в легком должен дать динамику, хоть положительную, хоть отрицательную
К слову об атипичной клинике абсцессов. Динамика за 2,5 мес. Фотки не мои, коллега прислал.
https://www.youtube.com/channel/UCBGxoBUOqUT_bFhSeUgtWEw
По представленному случаю: в пользу обычного абсцесса объёмное увеличение верхней доли с провисанием междолевой плевры. В таких случаях пишу динамика "-", конс.торакального хирурга.
https://www.youtube.com/channel/UCBGxoBUOqUT_bFhSeUgtWEw
Если есть хотя бы малейшее подозрение на онкологию, непозволительно терять время на "догадки", динамику процесса, а выполнять и рекомендовать кратчайший и оптимальный диагностический алгоритм.
Ранняя диагностика рака легкого должна строиться на основе выполнения стандартизованной программы комплекса диагностических средств, включающего рентгенологическое исследование, компьютерную томографию, бронхоскопию, трансторакальную пункцию. Отказ от своевременного использования указанных средств является нарушением диагностической технологии и ведет к запущенности рака легкого. При подозрении на периферический рак средством верификации диагноза является трансторакальная пункция.
Павел ВЛАСОВ,
профессор кафедры
лучевой диагностики
Института
повышения квалификации Федерального медико-биологического агентства.
Анатолий Петрович
При всем уважении: если здесь рак, сложно будет назвать ранней диагностику даже с минимальными временными затратами. Даже если КТ и трансторакальная биопсия будет завтра, а результат - послезавтра.
С уважением,
Еще один сильный аргумент в пользу рака - толстая стенка вокруг полости
Previous studies with plain chest radiography showed that the measurement of the cavity wall thickness at its thickest section was most useful in predicting whether the cavity was malignant or benign.In these studies, 30 of 32 cavities (94%) with a maximum wall thickness of ≤4 mm were caused by a benign process. Cavities with a maximum wall thickness of 5 mm to 15 mm were mixed, with 33 of 55 (60%) benign and 22 of 55 (40%) malignant. Similarly, 35 of 39 cavities (90%) with a maximum wall thickness >15 mm were usually malignant.
На всех снимках хорошо виден дренирующий бронх, если бы был абсцесс с жидким содержимым, то давно бы уже продренировался до тонкой стеночки..
Какие? Увеличенные узлы в средостении и корне? И что? А все остальное не хуже чем на КТ видно. И ничего оно не решит при таких размерах. Только кусок под микроскоп...
процитировал П.Власова, что при "малейшем подозрении на онкологию, непозволительно терять время на "догадки", динамику процесса, а выполнять и рекомендовать кратчайший и оптимальный диагностический алгоритм". Написано правильно. Если бы клиницисты и рентгенологи совместно предположили у пациента рак и абсцесс, мы не стали бы свидетелями клинического наблюдения в 21 день. Быстрая диагностика рака, пусть даже запущенного, могла избавить больного от огромного количества антибиотиков, которыми можно было бы вылечить нескольких больных септическим эндокардитом. Считаю, что автору необходимо добавить в диагностический ряд рак легкого, что заставит врачей задуматься и по новому осмыслить тактику обследования.
А не пробовали АБ поменять с учетом чувствительности к ним?Динамика есть ,хоть и маловыраженная.Вроде на абсцесс больше похоже
Понятно, что тактика лечения и обследования на дому - неудачная тактика. Тактика в т/о, на мой взгляд, - тоже. Похоже, пациент подлежит переводу в хирургическое отделение, лучше в торакальную хирургию. Дальнейшая диагностическая и лечебная тактика будет зависеть от возможностей отделения. Существует еще чудесная тактика стандартов ОМС, согласно которой больной не может, например, занять место в онкологическом отделении без подтверждающих результатов гистологии. Путь же амбулаторного пациента от первого рентгеновского снимка до результата занимает месяцы с учетом полуторомесячной очереди на запись в Областной ОД и возможностей самого пациента пройти платную СКТ в другой области. Или я "загнул" немного?
С Уважением, Дмитрий.
Только на днях об этом думала. Когда в большинстве стационаров в Спб диагноз при экстренной госпитализации ставят очень быстро, а амбулаторно без нужных связей и денег пациенты месяцами ходят по замкнутому кругу.. И вроде как для подобных ситуаций существуют ДЦ, но чем они заняты - не понятно. Неудивительно, что некоторые пациенты аггравируют, чтобы их свезли в больницу и сделали хотя бы что-нибудь
На 100% согласен с постами 20,22,23. В целом - с постом 16 (за исключением понятия "ранняя диагностика" в отношении представленного случая).
С уважением,
Всем большое спасибо за высказанные мнения. Конс. торокального хирурга рекомендовал после первого контроля, но у терапевтом свои "тараканы", да и пациент слишком "умный". После второго контроля добавил - переферический c-r.
ТМГ сделать не удалось (Подломался томограф). Если больной не потеряется, то постараюсь держать в курсе.
При подозрение на рак лёгкого, а также при высоком риске рака лёгкого, выполняется КТ и бронхоскопия.
Рак лёгкого - bgmustudents.narod.ru
Анатолий Петрович
Давайте не будем работать в рентген кабинете! Перейдем все на КТ!:)))
Зачем мучить пациента на флюшке, потом на рентгене нууу а потооом уже на КТ:))
Но мы не скоро дойдем до Европейского уровня:) у них рентген-аппрат в музее стоит:))
Вы задумывались почему "не скоро"?
Уважаемый, Коллега! Не надо так далеко "ходить". Для начала внимательно прочитать и своевременно, и в полном объеме выполнять функциональные обязанности врача-рентгенолога.
" Врач-рентгенолог проводит диагностические рентгенологические исследования, разрешенные для применения в медицинской практике. При необходимости участвует в разработке плана обследования больного, уточняет объем и рациональные методы обследования пациента с целью получения в минимально короткие сроки полной и достоверной диагностической информации. Участвует в постановке диагноза. Организует или самостоятельно проводит необходимые рентгенологические исследования, в зависимости от состояния пациента определяет необходимость дополнительных методов обследования". Должностная инструкция врача-рентгенолога
Анатолий Петрович
у пациента верифицирован?
Формально, скиалогическая картина абсцесса
Отправлен в грудную хирургию. Пока не появлялся.