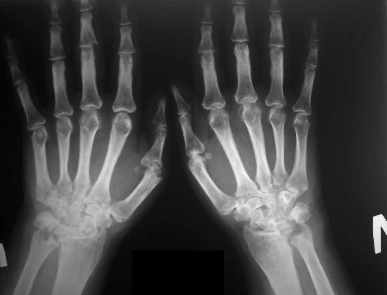
Симметричность по рядам, отсутствие сужения суставных щелей дистальных межфаланговых суставов и сужение суставных щелей проксимальных межфаланговых суставов, ульнарная деформация вторых пальцев, околосуставной остеопороз, кистовидные просветления и узуры в лучезапястных суставах – это классика ревматоидного артрита. Но изменения в костях запястий – это уже ретроклассика.
Классика артрито -артрозов, не факт подагры.
Ревматоидный...узуры...
Болезни ног: виды, симптомы, причины, профилактика и лечение
Слово женщина пишется без ь. Больше данных за ревматоидный. И если уж делаете кисти, почему не захватываете их полностью?
Терпимость - это когда прощают чужие ошибки; такт - когда не замечают их. (Артур Шницлер)
Симметричность по рядам, отсутствие сужения суставных щелей дистальных межфаланговых суставов и сужение суставных щелей проксимальных межфаланговых суставов, ульнарная деформация вторых пальцев, околосуставной остеопороз, кистовидные просветления и узуры в лучезапястных суставах – это классика ревматоидного артрита. Но изменения в костях запястий – это уже ретроклассика.
С Уважением, Дмитрий.
Выкладывать лучше все же полностью. Так картина полноценнее.
Терпимость - это когда прощают чужие ошибки; такт - когда не замечают их. (Артур Шницлер)
Если у вас крепится только сверху - что мешает сфотографировать кверх ногами и перевернуть в любом просмотрщике?