You are here

Архив. Еще один "перл"

Пол пациента: 
Область исследования: 
Методы исследования: 

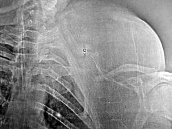
Опухоль над ключицей около 1,5 лет, боли до травмы не было, травма несколько дней назад. Снимок единственный.

ID:1361
lupan's picture
Offline
Last seen: 6 years 10 months ago
Joined: 07.01.2010 - 17:17
Posts: 1406

Отмеченное не патологическое костеобразование?

 

Приложения: 
PICT00842.jpg

Великое преймущество врача заключается в том, что он не обязан следовать собственным советам. ( А. Кристи)

Анатолий Владимирович Шумаков's picture
Offline
Last seen: 7 years 10 months ago
Joined: 16.10.2009 - 21:16
Posts: 1941

К сожалению электрорентгенограммам была свойственна избыточная готовность к артефактам...

stovbav's picture
Offline
Last seen: 2 years 3 months ago
Joined: 20.12.2009 - 17:28
Posts: 7066

Смею предположить больших размеров липому, длительное сдавление ключицы....травма усугубила состояние...перелом как перелом...

Петрович's picture
Offline
Last seen: 7 years 3 months ago
Joined: 22.03.2009 - 01:13
Posts: 3908

А нет ли ещё скорлупообразного обызвествления вдоль наружного контура?

 

Неоднозначно всё

Ольга Дмитриевна's picture
Offline
Last seen: 15 years 10 months ago
Joined: 13.01.2010 - 16:55
Posts: 168

"Пойду воткну в больного иголку".

"Но зачем??"

"Должен же кто-то поставить диагноз"

                                          House.MD

Красота - гормон карьерного роста!

Анатолий Владимирович Шумаков's picture
Offline
Last seen: 7 years 10 months ago
Joined: 16.10.2009 - 21:16
Posts: 1941

Я это наблюдение представил как редкое по гиганским размерам и вызвавшее атрофию ключицы от давления, с последующим ее патологическим переломом. Это был первый год моей работы (1976), мы осваивали ЭРГ и делали подряд снимки на бумаге и пленке. Включений и обызвествлений на пленочном снимке не было. Образование наощупь - горячее, деревянистой плотности, я для себя решил, что это что-то типа фибросаркомы, но диагноз остался неясен. Дело было в областной больнице, после оказания помощи при травме пациентку перевели в онкологический диспансер. Судьба и гистология неизвестны.

Almo's picture
Offline
Last seen: 14 hours 12 min ago
Joined: 28.09.2008 - 18:50
Posts: 8280

Здравствуйте, Анатолий Владимирович! Если вам будет интересно, публиковался случай патологического прелома ключицы от давления при нейрофиброматозе.Вот ссылка: http://radiographia.ru/node/1439

Анатолий Владимирович Шумаков's picture
Offline
Last seen: 7 years 10 months ago
Joined: 16.10.2009 - 21:16
Posts: 1941

Спасибо, еще не смотрел, у меня этот сайт через раз открывается... но обязательно посмотрю.