You are here

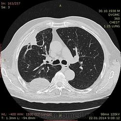
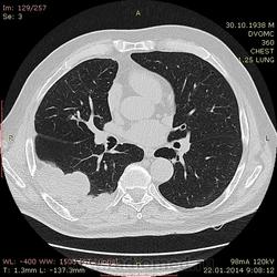
КТ легких...нужна помощь. Осумкованный плеврит? Образования плевры?

Пол пациента: 
Методы исследования: 

75 лет. Нарастающие боли в грудной клетке в течение 3х месяцев - со слов больного. Сейчас боль постоянная. Температуры небыло. Кашля нет. Беспокоит боль и слабость.

DICOM здесь http://files.mail.ru/E35C44DB1B3C482CAD6309D1E8DD4067

Плотность многоузлового образования у задней стенки от жидкостной до мягкотканной. Осумкованный плеврит или образование? Или и то и другое? Или вообще другое? Очень жду Ваших мнений.

  • https://radiomed.ru/sites/default/files/styles/case_slider_image/public/user/17526/img-0001-00001_33.jpg?itok=QOUzbLYl
  • https://radiomed.ru/sites/default/files/styles/case_slider_image/public/user/17526/img-0002-00001_34.jpg?itok=MHLCB6m1
  • https://radiomed.ru/sites/default/files/styles/case_slider_image/public/user/17526/img-0003-00001_32.jpg?itok=MGX43OxH
  • https://radiomed.ru/sites/default/files/styles/case_slider_image/public/user/17526/img-0004-00001_28.jpg?itok=-s9Vk0_9
  • https://radiomed.ru/sites/default/files/styles/case_slider_image/public/user/17526/img-0005-00001_28.jpg?itok=iEN_Vy24
  • https://radiomed.ru/sites/default/files/styles/case_slider_image/public/user/17526/img-0006-00001_27.jpg?itok=0Ik3hFXN
  • https://radiomed.ru/sites/default/files/styles/case_slider_image/public/user/17526/img-0007-00001_20.jpg?itok=7XKDrxLM
  • https://radiomed.ru/sites/default/files/styles/case_slider_image/public/user/17526/img-0008-00001_18.jpg?itok=WMWPBu7L
  • https://radiomed.ru/sites/default/files/styles/case_slider_image/public/user/17526/img-0009-00001_14.jpg?itok=_nPryFjs
  • https://radiomed.ru/sites/default/files/styles/case_slider_image/public/user/17526/img-0010-00001_11.jpg?itok=DEdGDBKR
  • https://radiomed.ru/sites/default/files/styles/case_slider_image/public/user/17526/img-0011-00001_9.jpg?itok=9FSK1rDT
ID:34976
Андрей Юрьевич's picture
Offline
Last seen: 5 days 18 hours ago
Joined: 16.11.2008 - 22:16
Posts: 18101

Вопрос сложный сказать трудно, и без контрастирования трудно, и после контрастирования вопросы (скорее всего) останутся. На мой взгляд,  жидкостно-солидное образования  и осумкованные гидротораксы справа. Это может быть и первичное образование легкого, например Pulmonary Adenoid Cystic Carcinoma http://www.jkscience.org/archive/volume141/Primary%20Pulmonary%20Adenoid%20Cystic%20Carcinoma%20with%20Lumbar%20Vertebral%20Metastasis%20Response%20to%20Gefitinib.pdf но могут быть и  метастазы какой-нибуль кистозной опухоли, например, околоушной железы.

Андрей Юрьевич

Sepsis's picture
Offline
Last seen: 1 year 10 months ago
Joined: 13.12.2012 - 16:48
Posts: 283

Андрей Юрьевич, как вы считаете похожи ли изменения в S3 на инфаркт легкого - треугольная форма, широко прилежит к грудной стенке, не прослеживаются бронхи....и как результат - плевральный выпот вдоль задней стенки осумковался ну и может быть за 3 месяца частично организавался - отсюда и частично солидная плотность. Не похоже на правду?

Makcimalist's picture
Offline
Last seen: 11 years 10 months ago
Joined: 08.05.2010 - 14:28
Posts: 1994

Вы же писали, что солидная плотность многоузлового образования - то есть, сами же говорили не про S3.

--------------

"Просто, по видимости, не видеть логики в очевидных вещах - это тоже одно из свойств некоторых умов, наряду с грустными думами о свойствах ума других."  © Vega 08/10/2011

Sepsis's picture
Offline
Last seen: 1 year 10 months ago
Joined: 13.12.2012 - 16:48
Posts: 283

Makcimalist wrote:

Вы же писали, что солидная плотность многоузлового образования - то есть, сами же говорили не про S3.

У задней стенки - да.

Ткпкрь речь о передней. Усиленно роюсь по литературе и картина инфарткта в S3 показалась мне вероятной. С учетом того, что там(в S3) нет жидкостной плотности. Конечно, без контраста нельзя с высокой долей уверенность говорить об инфаркте.

Андрей Юрьевич's picture
Offline
Last seen: 5 days 18 hours ago
Joined: 16.11.2008 - 22:16
Posts: 18101

Sepsis wrote:

Андрей Юрьевич, как вы считаете похожи ли изменения в S3 на инфаркт легкого - треугольная форма, широко прилежит к грудной стенке, не прослеживаются бронхи


Да, очень похоже (и скорее всего, так и есть), но считаю это дополнением к основному заболеванию

Sepsis wrote:
....и как результат - плевральный выпот вдоль задней стенки осумковался ну и может быть за 3 месяца частично организавался - отсюда и частично солидная плотность. Не похоже на правду?

Я не большой любитель строить такие логические цепочки, тем более, что осумкование есть и по передней плевре. А вдруг, это опухолевый эмбол... Ну, и т.д.

Андрей Юрьевич

ДмитрийД's picture
Offline
Last seen: 7 months 8 hours ago
Joined: 07.10.2011 - 16:38
Posts: 768

А может быть сзади это мезотелиома?

Андрей Юрьевич's picture
Offline
Last seen: 5 days 18 hours ago
Joined: 16.11.2008 - 22:16
Posts: 18101

ДмитрийД wrote:

А может быть сзади это мезотелиома?


Вы в КТ работаете?

Андрей Юрьевич

ДмитрийД's picture
Offline
Last seen: 7 months 8 hours ago
Joined: 07.10.2011 - 16:38
Posts: 768

Андрей Юрьевич wrote:

ДмитрийД wrote:

А может быть сзади это мезотелиома?


Вы в КТ работаете?

Да, я работаю в КТ и МРТ. Но больше - в МРТ. Раньше видел только распространенные формы мезотелиомы. Поясню свой вопрос: может ли это быть начальной стадией злокачественной мезотелиомы. Согласно Прокопа стр. 188 второго тома: "в ранних случаях дифференциальная диагностика может быть трудной". 

С уважением, Д.

Андрей Юрьевич's picture
Offline
Last seen: 5 days 18 hours ago
Joined: 16.11.2008 - 22:16
Posts: 18101

ДмитрийД wrote:

А может быть сзади это мезотелиома?

ДмитрийД wrote:
Поясню свой вопрос: может ли это быть начальной стадией злокачественной мезотелиомы. Согласно Прокопа стр. 188 второго тома: "в ранних случаях дифференциальная диагностика может быть трудной".

Так это был вопрос. Понятно. А я надеялся - предположение и алгоритм дальнейшей  диагностики.

Андрей Юрьевич

ДмитрийД's picture
Offline
Last seen: 7 months 8 hours ago
Joined: 07.10.2011 - 16:38
Posts: 768

Андрей Юрьевич wrote:

ДмитрийД wrote:

А может быть сзади это мезотелиома?

ДмитрийД wrote:
Поясню свой вопрос: может ли это быть начальной стадией злокачественной мезотелиомы. Согласно Прокопа стр. 188 второго тома: "в ранних случаях дифференциальная диагностика может быть трудной".

Так это был вопрос. Понятно. А я надеялся - предположение и алгоритм дальнейшей  диагностики.

Алгоритм - биопсия.

Андрей Юрьевич's picture
Offline
Last seen: 5 days 18 hours ago
Joined: 16.11.2008 - 22:16
Posts: 18101

ДмитрийД wrote:

Андрей Юрьевич wrote:

ДмитрийД wrote:

А может быть сзади это мезотелиома?

ДмитрийД wrote:
Поясню свой вопрос: может ли это быть начальной стадией злокачественной мезотелиомы. Согласно Прокопа стр. 188 второго тома: "в ранних случаях дифференциальная диагностика может быть трудной".

Так это был вопрос. Понятно. А я надеялся - предположение и алгоритм дальнейшей  диагностики.

Алгоритм - биопсия.


Ну, вот, началось. Как и говорилось, любое КТ можно завершить словами "Рек. биопсию". Биопсия ЧЕГО, не подскажете?

Андрей Юрьевич

ДмитрийД's picture
Offline
Last seen: 7 months 8 hours ago
Joined: 07.10.2011 - 16:38
Posts: 768

Андрей Юрьевич wrote:

ДмитрийД wrote:

Андрей Юрьевич wrote:

ДмитрийД wrote:

А может быть сзади это мезотелиома?

ДмитрийД wrote:
Поясню свой вопрос: может ли это быть начальной стадией злокачественной мезотелиомы. Согласно Прокопа стр. 188 второго тома: "в ранних случаях дифференциальная диагностика может быть трудной".

Так это был вопрос. Понятно. А я надеялся - предположение и алгоритм дальнейшей  диагностики.

Алгоритм - биопсия.


Ну, вот, началось. Как и говорилось, любое КТ можно завершить словами "Рек. биопсию". Биопсия ЧЕГО, не подскажете?

Биопсия образований, расположенных дорзально справа. Уж больно Вы огорчаетесь при слове "биопсия". Можно, конечно, ввести контрастное вещество, сделать МРТ и ПЭТ (а лучше ПЭТ-КТ). Многозначительно покачать головой над результатами исследований, и .... предложить торакальному хирургу сделать пункцию с биопсией. :-)

Но моё личное мнение - оставить мужчину в покое (75 лет всё-таки).

Андрей Юрьевич's picture
Offline
Last seen: 5 days 18 hours ago
Joined: 16.11.2008 - 22:16
Posts: 18101

ДмитрийД wrote:

Биопсия образований, расположенных дорзально справа. Уж больно Вы огорчаетесь при слове "биопсия".


Нет, я огорчаюсь при слове "Рек.".

ДмитрийД wrote:
Можно, конечно, ввести контрастное вещество, ... Многозначительно покачать головой над результатами исследований, и .... предложить торакальному хирургу сделать пункцию с биопсией. :-)

А если серьезно, без битвы самолюбий. Вы - врач, я - врач. У вас а руках дайкомы, можете перевести их в картинки и указать стрелкой, что вы предложите пунктировать хирургу?

ДмитрийД wrote:
...Но моё личное мнение - оставить мужчину в покое (75 лет всё-таки).

С каким заключением будем оставлять в покое?

Андрей Юрьевич

ДмитрийД's picture
Offline
Last seen: 7 months 8 hours ago
Joined: 07.10.2011 - 16:38
Posts: 768

Андрей Юрьевич wrote:

ДмитрийД wrote:

Биопсия образований, расположенных дорзально справа. Уж больно Вы огорчаетесь при слове "биопсия".


Нет, я огорчаюсь при слове "Рек.".

ДмитрийД wrote:
Можно, конечно, ввести контрастное вещество, ... Многозначительно покачать головой над результатами исследований, и .... предложить торакальному хирургу сделать пункцию с биопсией. :-)

А если серьезно, без битвы самолюбий. Вы - врач, я - врач. У вас а руках дайкомы, можете перевести их в картинки и указать стрелкой, что вы предложите пунктировать хирургу?

ДмитрийД wrote:
...Но моё личное мнение - оставить мужчину в покое (75 лет всё-таки).

С каким заключением будем оставлять в покое?

К сожалению сейчас нет возможности перевести изображения из дайкома в картинки. На словах скажу, что логично пунктировать центральный отдел образований. Заключение: КТ-признаки пристеночного объемного образования правой половины грудной полости (более вероятно новообразование, исходящее из плевры).

P.S. О самолиюбии речь ни в коем случае не идёт. Я глубоко уважаю лучевых диагностов, участвующих в дискурсиях на сайте. Просто в данном случае можно затратить много сил и денег пациента, и в итоге всё сведётся к двум наиболее вероятным диагнозам: 1. новообразование (более вероятно), 2. осумкованный плеврит. При обоих диагнозах ничего делать хирурги не будут: при новообразовании высокий риск осложнений при операции, при плеврите - тем более.

С уважением, Д. 

Sepsis's picture
Offline
Last seen: 1 year 10 months ago
Joined: 13.12.2012 - 16:48
Posts: 283

Коллеги, спасибо за мнения...и дискуссии

Вячеслав's picture
Offline
Last seen: 5 years 8 months ago
Joined: 01.04.2010 - 19:56
Posts: 209

Интересно, чем же всё-таки дело кончилось? Sepsis, вдруг зайдёте на сайт, может вспомните случай и окончательные результаты. СПС.