You are here

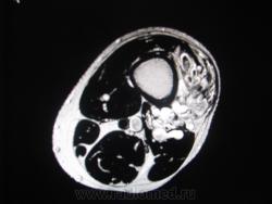
МРТ мягких тканей нижней трети левого бедра мужчна 46 лет.

Методы исследования: 

Много лет беспокоит припухлость в задне-наружных отделах нижней трети левого бера, в последннее время выраженный болевой с-м, с диагнозом хронический гематогенный остеомиелит направлен на МРТ.При осмотре пальпируется образование вышеуказанных отделов, кожные покровы интактны. 

  • https://radiomed.ru/sites/default/files/styles/case_slider_image/public/user/1808/radiografiya_123.jpg?itok=hu849nFw
  • https://radiomed.ru/sites/default/files/styles/case_slider_image/public/user/1808/radiografiya_124.jpg?itok=3ZBAU_Tv
  • https://radiomed.ru/sites/default/files/styles/case_slider_image/public/user/1808/radiografiya_125.jpg?itok=tf1DBjNN
  • https://radiomed.ru/sites/default/files/styles/case_slider_image/public/user/1808/radiografiya_126.jpg?itok=GdHgjRNI
  • https://radiomed.ru/sites/default/files/styles/case_slider_image/public/user/1808/radiografiya_127.jpg?itok=3JSxBa51
  • https://radiomed.ru/sites/default/files/styles/case_slider_image/public/user/1808/radiografiya_128.jpg?itok=v6DDZSHV
  • https://radiomed.ru/sites/default/files/styles/case_slider_image/public/user/1808/radiografiya_131.jpg?itok=bcCnXrTJ
  • https://radiomed.ru/sites/default/files/styles/case_slider_image/public/user/1808/radiografiya_130.jpg?itok=NW9_BYKy
  • https://radiomed.ru/sites/default/files/styles/case_slider_image/public/user/1808/radiografiya_132.jpg?itok=IARLvpzX
  • https://radiomed.ru/sites/default/files/styles/case_slider_image/public/user/1808/radiografiya_133.jpg?itok=rpfv2xdc
  • https://radiomed.ru/sites/default/files/styles/case_slider_image/public/user/1808/radiografiya_134.jpg?itok=QLAYRxVP
  • https://radiomed.ru/sites/default/files/styles/case_slider_image/public/user/1808/radiografiya_135.jpg?itok=HS5tKO1i
  • https://radiomed.ru/sites/default/files/styles/case_slider_image/public/user/1808/radiografiya_136.jpg?itok=AIK_C4TA
  • https://radiomed.ru/sites/default/files/styles/case_slider_image/public/user/1808/radiografiya_138.jpg?itok=6OHDb2g0
  • https://radiomed.ru/sites/default/files/styles/case_slider_image/public/user/1808/radiografiya_139.jpg?itok=D1xHT7Zx
  • https://radiomed.ru/sites/default/files/styles/case_slider_image/public/user/1808/radiografiya_142.jpg?itok=eXcUETxZ
  • https://radiomed.ru/sites/default/files/styles/case_slider_image/public/user/1808/radiografiya_143.jpg?itok=ALZJQXqN
ID:44804
Евгений Магонов's picture
Offline
Last seen: 2 weeks 1 day ago
Joined: 07.03.2008 - 15:28
Posts: 1269

Я бы заподозрил гемангиому с необходимостью дифференциальной диагностики с гемангиоперицитомой.

Добрый админ

Андрей Попов's picture
Offline
Last seen: 14 years 5 months ago
Joined: 24.11.2009 - 15:32
Posts: 67

Остеомиелит - почему?? Кость, насколько можно судить по представленным изображениям, вообще интактна. Мы видим в мягких тканях образование "петлистой" структуры, скаладывается впечатление, что имеется его связь с сосудами. Смахивает на гемангиому. Исследование с контрастным усилением не делали?

irena's picture
Offline
Last seen: 9 years 8 months ago
Joined: 28.09.2009 - 13:00
Posts: 289

Совершенного верно , это гемангиома. А почему остеомиелит,  для меня тоже загадка. Пациент что-то толковал насчет неровгогго контура кости на ренгене ( с собой не принес), может, на фоне этой штуки действительно неотчетливо визуализировалась кость? Хотя кроме лучевой картины для остемиелита есть масса других с-мов! Контрастировали, представлен один постконтрастный корональный  скан( последний  кадр) .Я думаю, здесь нужна селективная ангиография, для детального выявления питающего и дренирующего сосуда и работа ангиохирургов.